Hemodialysis Treatment for High-Dose Quetiapine Fumarate Poisoning: A Case Report.

IF 0.9 Q4 UROLOGY & NEPHROLOGY
Case Reports in Nephrology and Dialysis Pub Date : 2025-03-05 eCollection Date: 2025-01-01 DOI:10.1159/000545048
Jiaoyang Li, Zhiqin Chen, Shuran Qian, Xuemei Liu
{"title":"Hemodialysis Treatment for High-Dose Quetiapine Fumarate Poisoning: A Case Report.","authors":"Jiaoyang Li, Zhiqin Chen, Shuran Qian, Xuemei Liu","doi":"10.1159/000545048","DOIUrl":null,"url":null,"abstract":"<p><strong>Introduction: </strong>Quetiapine is a new atypical antipsychotic with minor side effects. There have been few reports of rhabdomyolysis and acute kidney injury associated with quetiapine overdose.</p><p><strong>Case presentation: </strong>This article presents a rare case of high-dose quetiapine poisoning that improved after treatment. The patient experienced rhabdomyolysis, acute kidney injury, long QT syndrome, and peripheral neuropathy, all of which are typical complications of quetiapine poisoning. Moreover, a kidney biopsy verified the patient's acute tubulointerstitial injury, and immunohistochemical staining demonstrated that myoglobin cast nephropathy was the cause of the injury. This patient's kidney function and associated complications recovered after receiving hemodialysis, rehabilitation, heart rate regulation, and further symptomatic interventions. Consequently, hemodialysis was discontinued.</p><p><strong>Conclusion: </strong>Our case showed that myoglobin cast nephropathy was the cause of the acute kidney injury associated with quetiapine poisoning. The kidney biopsy is essential for accurate diagnosis and treatment.</p>","PeriodicalId":9599,"journal":{"name":"Case Reports in Nephrology and Dialysis","volume":"15 1","pages":"41-46"},"PeriodicalIF":0.9000,"publicationDate":"2025-03-05","publicationTypes":"Journal Article","fieldsOfStudy":null,"isOpenAccess":false,"openAccessPdf":"https://www.ncbi.nlm.nih.gov/pmc/articles/PMC11981583/pdf/","citationCount":"0","resultStr":null,"platform":"Semanticscholar","paperid":null,"PeriodicalName":"Case Reports in Nephrology and Dialysis","FirstCategoryId":"1085","ListUrlMain":"https://doi.org/10.1159/000545048","RegionNum":0,"RegionCategory":null,"ArticlePicture":[],"TitleCN":null,"AbstractTextCN":null,"PMCID":null,"EPubDate":"2025/1/1 0:00:00","PubModel":"eCollection","JCR":"Q4","JCRName":"UROLOGY & NEPHROLOGY","Score":null,"Total":0}
引用次数: 0

Abstract

Introduction: Quetiapine is a new atypical antipsychotic with minor side effects. There have been few reports of rhabdomyolysis and acute kidney injury associated with quetiapine overdose.

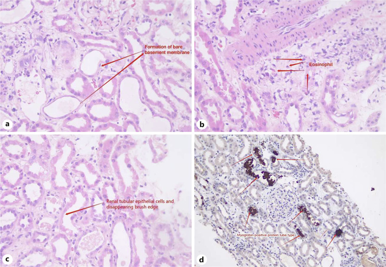
Case presentation: This article presents a rare case of high-dose quetiapine poisoning that improved after treatment. The patient experienced rhabdomyolysis, acute kidney injury, long QT syndrome, and peripheral neuropathy, all of which are typical complications of quetiapine poisoning. Moreover, a kidney biopsy verified the patient's acute tubulointerstitial injury, and immunohistochemical staining demonstrated that myoglobin cast nephropathy was the cause of the injury. This patient's kidney function and associated complications recovered after receiving hemodialysis, rehabilitation, heart rate regulation, and further symptomatic interventions. Consequently, hemodialysis was discontinued.

Conclusion: Our case showed that myoglobin cast nephropathy was the cause of the acute kidney injury associated with quetiapine poisoning. The kidney biopsy is essential for accurate diagnosis and treatment.

Abstract Image

高剂量富马酸奎硫平中毒的血液透析治疗1例。
奎硫平是一种副作用较小的新型非典型抗精神病药。喹硫平过量引起横纹肌溶解和急性肾损伤的报道很少。病例介绍:本文报道一例罕见的高剂量喹硫平中毒,经治疗后病情好转。患者出现横纹肌溶解、急性肾损伤、长QT综合征、周围神经病变,均为喹硫平中毒的典型并发症。此外,肾活检证实了患者的急性小管间质损伤,免疫组织化学染色表明肌红蛋白铸造肾病是损伤的原因。该患者在接受血液透析、康复、心率调节和进一步的对症干预后,肾功能及相关并发症恢复。因此,血液透析停止。结论:本病例显示肌红蛋白铸造肾病是喹硫平中毒急性肾损伤的病因。肾活检对于准确诊断和治疗至关重要。
本文章由计算机程序翻译,如有差异,请以英文原文为准。
求助全文
约1分钟内获得全文 求助全文
来源期刊
CiteScore
1.20
自引率
0.00%
发文量
36
审稿时长
10 weeks
期刊介绍: This peer-reviewed online-only journal publishes original case reports covering the entire spectrum of nephrology and dialysis, including genetic susceptibility, clinical presentation, diagnosis, treatment or prevention, toxicities of therapy, critical care, supportive care, quality-of-life and survival issues. The journal will also accept case reports dealing with the use of novel technologies, both in the arena of diagnosis and treatment. Supplementary material is welcomed.
×
引用
GB/T 7714-2015
复制
MLA
复制
APA
复制
导出至
BibTeX EndNote RefMan NoteFirst NoteExpress
×
提示
您的信息不完整,为了账户安全,请先补充。
现在去补充
×
提示
您因"违规操作"
具体请查看互助需知
我知道了
×
提示
确定
请完成安全验证×
copy
已复制链接
快去分享给好友吧!
我知道了
右上角分享
点击右上角分享
0
联系我们:info@booksci.cn Book学术提供免费学术资源搜索服务,方便国内外学者检索中英文文献。致力于提供最便捷和优质的服务体验。 Copyright © 2023 布克学术 All rights reserved.
京ICP备2023020795号-1
ghs 京公网安备 11010802042870号
Book学术文献互助
Book学术文献互助群
群 号:604180095
Book学术官方微信