Unveiling the Hidden Risks: Herbal Medicine-Induced Renal Damage - A Case Series Analysis.

IF 0.9 Q4 UROLOGY & NEPHROLOGY
Case Reports in Nephrology and Dialysis Pub Date : 2025-03-21 eCollection Date: 2025-01-01 DOI:10.1159/000545186
Ashok Bhat, Rohan Desai, Mahesha Vankalakunti
{"title":"Unveiling the Hidden Risks: Herbal Medicine-Induced Renal Damage - A Case Series Analysis.","authors":"Ashok Bhat, Rohan Desai, Mahesha Vankalakunti","doi":"10.1159/000545186","DOIUrl":null,"url":null,"abstract":"<p><strong>Introduction: </strong>Herbal medications have been utilized for centuries to treat various ailments, yet their potential to induce renal damage is often underestimated. The popularity of herbal remedies, especially in rural India, stems from cultural beliefs in their holistic healing properties.</p><p><strong>Case presentations: </strong>This case series comprises 4 patients exhibiting varied renal presentations linked to herbal medication usage. Notably, oxalate nephropathy emerged as a predominant finding. Through comprehensive clinical assessments and renal biopsies, we elucidated the pathophysiological mechanisms underlying herbal nephrotoxicity. Timely recognition and discontinuation of the offending herb, alongside tailored therapeutic interventions like corticosteroid administration, facilitated favourable patient outcomes.</p><p><strong>Conclusion: </strong>These cases underscore the importance of considering herbal remedies as potential culprits in renal dysfunction, particularly in regions where their usage is prevalent. Our findings emphasize the imperative for healthcare practitioners to proactively inquire about herbal medication use in patients with renal failure. Heightened awareness and further research into the safety and mechanisms of herbal nephrotoxicity are essential for optimizing patient care and preventing herb-induced kidney injury.</p>","PeriodicalId":9599,"journal":{"name":"Case Reports in Nephrology and Dialysis","volume":"15 1","pages":"60-69"},"PeriodicalIF":0.9000,"publicationDate":"2025-03-21","publicationTypes":"Journal Article","fieldsOfStudy":null,"isOpenAccess":false,"openAccessPdf":"https://www.ncbi.nlm.nih.gov/pmc/articles/PMC12021384/pdf/","citationCount":"0","resultStr":null,"platform":"Semanticscholar","paperid":null,"PeriodicalName":"Case Reports in Nephrology and Dialysis","FirstCategoryId":"1085","ListUrlMain":"https://doi.org/10.1159/000545186","RegionNum":0,"RegionCategory":null,"ArticlePicture":[],"TitleCN":null,"AbstractTextCN":null,"PMCID":null,"EPubDate":"2025/1/1 0:00:00","PubModel":"eCollection","JCR":"Q4","JCRName":"UROLOGY & NEPHROLOGY","Score":null,"Total":0}
引用次数: 0

Abstract

Introduction: Herbal medications have been utilized for centuries to treat various ailments, yet their potential to induce renal damage is often underestimated. The popularity of herbal remedies, especially in rural India, stems from cultural beliefs in their holistic healing properties.

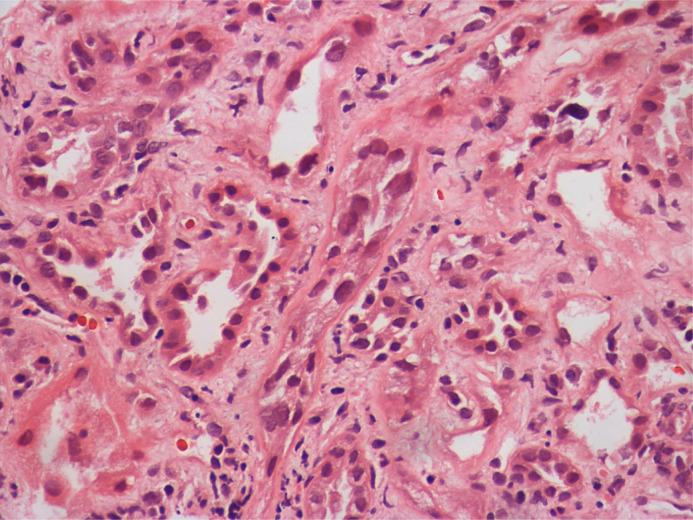
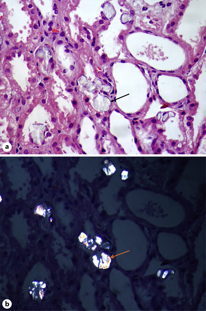
Case presentations: This case series comprises 4 patients exhibiting varied renal presentations linked to herbal medication usage. Notably, oxalate nephropathy emerged as a predominant finding. Through comprehensive clinical assessments and renal biopsies, we elucidated the pathophysiological mechanisms underlying herbal nephrotoxicity. Timely recognition and discontinuation of the offending herb, alongside tailored therapeutic interventions like corticosteroid administration, facilitated favourable patient outcomes.

Conclusion: These cases underscore the importance of considering herbal remedies as potential culprits in renal dysfunction, particularly in regions where their usage is prevalent. Our findings emphasize the imperative for healthcare practitioners to proactively inquire about herbal medication use in patients with renal failure. Heightened awareness and further research into the safety and mechanisms of herbal nephrotoxicity are essential for optimizing patient care and preventing herb-induced kidney injury.

Abstract Image

Abstract Image

Abstract Image

揭露风险隐患:中药所致肾损害-个案系列分析。
几个世纪以来,草药一直被用来治疗各种疾病,但它们引起肾脏损害的潜力往往被低估。草药疗法的流行,尤其是在印度农村,源于对其整体治疗特性的文化信仰。病例介绍:本病例系列包括4名患者,他们表现出与草药使用有关的各种肾脏症状。值得注意的是,草酸肾病是主要的发现。通过全面的临床评估和肾脏活检,我们阐明了草药肾毒性的病理生理机制。及时识别和停用有害的草药,以及量身定制的治疗干预措施,如皮质类固醇管理,促进了良好的患者结果。结论:这些病例强调了考虑草药作为肾功能障碍的潜在罪魁祸首的重要性,特别是在草药使用普遍的地区。我们的研究结果强调了医疗从业者主动询问肾功能衰竭患者使用草药的必要性。提高认识并进一步研究草药肾毒性的安全性和机制对于优化患者护理和预防草药引起的肾损伤至关重要。
本文章由计算机程序翻译,如有差异,请以英文原文为准。
求助全文
约1分钟内获得全文 求助全文
来源期刊
CiteScore
1.20
自引率
0.00%
发文量
36
审稿时长
10 weeks
期刊介绍: This peer-reviewed online-only journal publishes original case reports covering the entire spectrum of nephrology and dialysis, including genetic susceptibility, clinical presentation, diagnosis, treatment or prevention, toxicities of therapy, critical care, supportive care, quality-of-life and survival issues. The journal will also accept case reports dealing with the use of novel technologies, both in the arena of diagnosis and treatment. Supplementary material is welcomed.
×
引用
GB/T 7714-2015
复制
MLA
复制
APA
复制
导出至
BibTeX EndNote RefMan NoteFirst NoteExpress
×
提示
您的信息不完整,为了账户安全,请先补充。
现在去补充
×
提示
您因"违规操作"
具体请查看互助需知
我知道了
×
提示
确定
请完成安全验证×
copy
已复制链接
快去分享给好友吧!
我知道了
右上角分享
点击右上角分享
0
联系我们:info@booksci.cn Book学术提供免费学术资源搜索服务,方便国内外学者检索中英文文献。致力于提供最便捷和优质的服务体验。 Copyright © 2023 布克学术 All rights reserved.
京ICP备2023020795号-1
ghs 京公网安备 11010802042870号
Book学术文献互助
Book学术文献互助群
群 号:604180095
Book学术官方微信