Anifrolumab in Refractory Dermatomyositis and Antisynthetase Syndrome.

Case Reports in Rheumatology Pub Date : 2025-04-21 eCollection Date: 2025-01-01 DOI:10.1155/crrh/5560523
Ryan Bonaventure Soares, Jihad Ben Gabr, Mark Ash, Gregory Hosler
{"title":"Anifrolumab in Refractory Dermatomyositis and Antisynthetase Syndrome.","authors":"Ryan Bonaventure Soares, Jihad Ben Gabr, Mark Ash, Gregory Hosler","doi":"10.1155/crrh/5560523","DOIUrl":null,"url":null,"abstract":"<p><p>Dermatomyositis (DM) and antisynthetase syndrome are rare autoimmune disorders within the spectrum of inflammatory myopathies, typically characterized by cutaneous and muscular inflammation along with systemic manifestations. This case report highlights the evolving treatment strategies for inflammatory myopathies, with a focus on the use of anifrolumab, a type-1 interferon receptor blocker, in a 29 year-old female with refractory DM/antisynthetase syndrome. The patient presented with classic DM features, including heliotrope rash, Gottron's papules, and malar erythema, but lacked significant myopathy. Initial therapies with methotrexate and prednisone were ineffective, and her condition worsened despite adding intravenous immunoglobulin (IVIg) and tofacitinib. Following persistent disease progression, therapy was switched to a combination of IVIg, apremilast, and anifrolumab as an off-label drug for DM. Within 5 months, the patient showed significant improvement in myopathy and skin manifestations. Anifrolumab targets the interferon (IFN) axis, which plays a crucial role in DM pathogenesis. This case underscores the potential of targeted therapies like anifrolumab in managing DM, especially in cases not responsive to conventional standard of care therapies. It also highlights the need for further research into the IFN pathway as a therapeutic target in inflammatory myopathies. <b>Trial Registration:</b> ClinicalTrials.gov identifier: NCT06455449.</p>","PeriodicalId":9622,"journal":{"name":"Case Reports in Rheumatology","volume":"2025 ","pages":"5560523"},"PeriodicalIF":0.0000,"publicationDate":"2025-04-21","publicationTypes":"Journal Article","fieldsOfStudy":null,"isOpenAccess":false,"openAccessPdf":"https://www.ncbi.nlm.nih.gov/pmc/articles/PMC12037237/pdf/","citationCount":"0","resultStr":null,"platform":"Semanticscholar","paperid":null,"PeriodicalName":"Case Reports in Rheumatology","FirstCategoryId":"1085","ListUrlMain":"https://doi.org/10.1155/crrh/5560523","RegionNum":0,"RegionCategory":null,"ArticlePicture":[],"TitleCN":null,"AbstractTextCN":null,"PMCID":null,"EPubDate":"2025/1/1 0:00:00","PubModel":"eCollection","JCR":"","JCRName":"","Score":null,"Total":0}
引用次数: 0

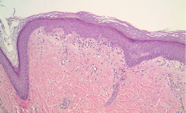
Abstract

Dermatomyositis (DM) and antisynthetase syndrome are rare autoimmune disorders within the spectrum of inflammatory myopathies, typically characterized by cutaneous and muscular inflammation along with systemic manifestations. This case report highlights the evolving treatment strategies for inflammatory myopathies, with a focus on the use of anifrolumab, a type-1 interferon receptor blocker, in a 29 year-old female with refractory DM/antisynthetase syndrome. The patient presented with classic DM features, including heliotrope rash, Gottron's papules, and malar erythema, but lacked significant myopathy. Initial therapies with methotrexate and prednisone were ineffective, and her condition worsened despite adding intravenous immunoglobulin (IVIg) and tofacitinib. Following persistent disease progression, therapy was switched to a combination of IVIg, apremilast, and anifrolumab as an off-label drug for DM. Within 5 months, the patient showed significant improvement in myopathy and skin manifestations. Anifrolumab targets the interferon (IFN) axis, which plays a crucial role in DM pathogenesis. This case underscores the potential of targeted therapies like anifrolumab in managing DM, especially in cases not responsive to conventional standard of care therapies. It also highlights the need for further research into the IFN pathway as a therapeutic target in inflammatory myopathies. Trial Registration: ClinicalTrials.gov identifier: NCT06455449.

Abstract Image

Abstract Image

Abstract Image

难治性皮肌炎和抗合成酶综合征的无性瘤抗体。
皮肌炎(DM)和抗合成酶综合征是炎性肌病谱中罕见的自身免疫性疾病,典型特征是皮肤和肌肉炎症以及全身表现。本病例报告强调了炎性肌病的不断发展的治疗策略,重点是使用anifrolumab,一种1型干扰素受体阻滞剂,治疗一名患有难治性糖尿病/抗合成酶综合征的29岁女性。患者表现为典型的糖尿病特征,包括日光性皮疹、Gottron丘疹和颧红斑,但没有明显的肌病。最初使用甲氨蝶呤和强的松治疗无效,尽管静脉注射免疫球蛋白(IVIg)和托法替尼,她的病情仍恶化。随着疾病的持续进展,治疗转为IVIg、阿普米司特和anifrolumab的联合治疗,作为DM的标签外药物。在5个月内,患者的肌病和皮肤表现显着改善。Anifrolumab靶向在糖尿病发病中起关键作用的干扰素(IFN)轴。该病例强调了像anfrolumab这样的靶向治疗在治疗糖尿病方面的潜力,特别是在对传统标准治疗无效的病例中。这也强调了进一步研究IFN通路作为炎症性肌病治疗靶点的必要性。试验注册:ClinicalTrials.gov标识符:NCT06455449。
本文章由计算机程序翻译,如有差异,请以英文原文为准。
求助全文
约1分钟内获得全文 求助全文
来源期刊
自引率
0.00%
发文量
35
审稿时长
12 weeks
×
引用
GB/T 7714-2015
复制
MLA
复制
APA
复制
导出至
BibTeX EndNote RefMan NoteFirst NoteExpress
×
提示
您的信息不完整,为了账户安全,请先补充。
现在去补充
×
提示
您因"违规操作"
具体请查看互助需知
我知道了
×
提示
确定
请完成安全验证×
copy
已复制链接
快去分享给好友吧!
我知道了
右上角分享
点击右上角分享
0
联系我们:info@booksci.cn Book学术提供免费学术资源搜索服务,方便国内外学者检索中英文文献。致力于提供最便捷和优质的服务体验。 Copyright © 2023 布克学术 All rights reserved.
京ICP备2023020795号-1
ghs 京公网安备 11010802042870号
Book学术文献互助
Book学术文献互助群
群 号:604180095
Book学术官方微信