Acute Visual Loss and Mesenteric Nodules: Two Case Reports of Atypical Presentations of Calciphylaxis.

IF 0.9 Q4 UROLOGY & NEPHROLOGY
Case Reports in Nephrology and Dialysis Pub Date : 2025-03-17 eCollection Date: 2025-01-01 DOI:10.1159/000545309
Wu Tzen Lim, Rajiv Juneja, Rachel Yi Ping Tan
{"title":"Acute Visual Loss and Mesenteric Nodules: Two Case Reports of Atypical Presentations of Calciphylaxis.","authors":"Wu Tzen Lim, Rajiv Juneja, Rachel Yi Ping Tan","doi":"10.1159/000545309","DOIUrl":null,"url":null,"abstract":"<p><strong>Introduction: </strong>Calciphylaxis is a systemic disease that predominantly affects individuals with chronic kidney disease, particularly in the advanced stages. It is a potentially life-threatening condition with significant morbidity. The exact underlying mechanisms leading to calciphylaxis are not fully understood. Cutaneous manifestations are the typical presentation of calciphylaxis, where patients develop painful skin ulcers affecting their extremities. However, calciphylaxis involving visceral organs are rare.</p><p><strong>Case presentations: </strong>We present 2 cases where the initial clinical picture of calciphylaxis was atypical. The first case is a haemodialysis patient presenting with unilateral acute vision loss, mimicking giant cell arteritis. The second case is a failed transplant graft recipient on peritoneal dialysis with incidental radiological findings of heavily calcified mesenteric nodules.</p><p><strong>Conclusion: </strong>These cases highlight the importance of a high clinical suspicion of calciphylaxis as it can masquerade other clinical conditions.</p>","PeriodicalId":9599,"journal":{"name":"Case Reports in Nephrology and Dialysis","volume":"15 1","pages":"70-77"},"PeriodicalIF":0.9000,"publicationDate":"2025-03-17","publicationTypes":"Journal Article","fieldsOfStudy":null,"isOpenAccess":false,"openAccessPdf":"https://www.ncbi.nlm.nih.gov/pmc/articles/PMC12040307/pdf/","citationCount":"0","resultStr":null,"platform":"Semanticscholar","paperid":null,"PeriodicalName":"Case Reports in Nephrology and Dialysis","FirstCategoryId":"1085","ListUrlMain":"https://doi.org/10.1159/000545309","RegionNum":0,"RegionCategory":null,"ArticlePicture":[],"TitleCN":null,"AbstractTextCN":null,"PMCID":null,"EPubDate":"2025/1/1 0:00:00","PubModel":"eCollection","JCR":"Q4","JCRName":"UROLOGY & NEPHROLOGY","Score":null,"Total":0}
引用次数: 0

Abstract

Introduction: Calciphylaxis is a systemic disease that predominantly affects individuals with chronic kidney disease, particularly in the advanced stages. It is a potentially life-threatening condition with significant morbidity. The exact underlying mechanisms leading to calciphylaxis are not fully understood. Cutaneous manifestations are the typical presentation of calciphylaxis, where patients develop painful skin ulcers affecting their extremities. However, calciphylaxis involving visceral organs are rare.

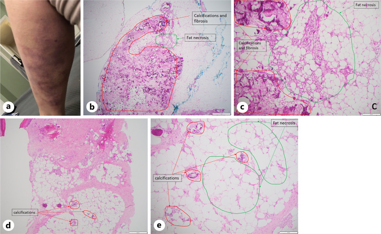
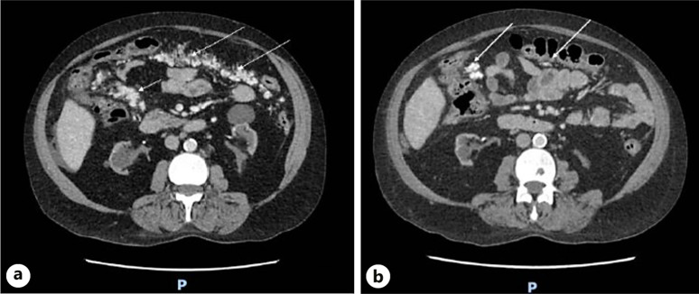
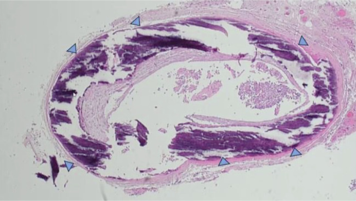
Case presentations: We present 2 cases where the initial clinical picture of calciphylaxis was atypical. The first case is a haemodialysis patient presenting with unilateral acute vision loss, mimicking giant cell arteritis. The second case is a failed transplant graft recipient on peritoneal dialysis with incidental radiological findings of heavily calcified mesenteric nodules.

Conclusion: These cases highlight the importance of a high clinical suspicion of calciphylaxis as it can masquerade other clinical conditions.

Abstract Image

Abstract Image

Abstract Image

急性视力丧失和肠系膜结节:2例钙化反应的不典型表现。
钙化反应是一种全身性疾病,主要影响慢性肾脏疾病患者,特别是在晚期。这是一种潜在的危及生命的疾病,发病率很高。导致钙化反应的确切潜在机制尚不完全清楚。皮肤表现是钙化反应的典型表现,患者出现疼痛的皮肤溃疡,影响其四肢。然而,涉及内脏器官的钙化反应是罕见的。病例介绍:我们提出2例初始临床钙化反应不典型的病例。第一个病例是血液透析患者,表现为单侧急性视力丧失,模拟巨细胞动脉炎。第二个病例是腹膜透析失败的移植受者,偶然的放射学发现重度钙化的肠系膜结节。结论:这些病例强调了临床高度怀疑钙化反应的重要性,因为它可以掩盖其他临床情况。
本文章由计算机程序翻译,如有差异,请以英文原文为准。
求助全文
约1分钟内获得全文 求助全文
来源期刊
CiteScore
1.20
自引率
0.00%
发文量
36
审稿时长
10 weeks
期刊介绍: This peer-reviewed online-only journal publishes original case reports covering the entire spectrum of nephrology and dialysis, including genetic susceptibility, clinical presentation, diagnosis, treatment or prevention, toxicities of therapy, critical care, supportive care, quality-of-life and survival issues. The journal will also accept case reports dealing with the use of novel technologies, both in the arena of diagnosis and treatment. Supplementary material is welcomed.
×
引用
GB/T 7714-2015
复制
MLA
复制
APA
复制
导出至
BibTeX EndNote RefMan NoteFirst NoteExpress
×
提示
您的信息不完整,为了账户安全,请先补充。
现在去补充
×
提示
您因"违规操作"
具体请查看互助需知
我知道了
×
提示
确定
请完成安全验证×
copy
已复制链接
快去分享给好友吧!
我知道了
右上角分享
点击右上角分享
0
联系我们:info@booksci.cn Book学术提供免费学术资源搜索服务,方便国内外学者检索中英文文献。致力于提供最便捷和优质的服务体验。 Copyright © 2023 布克学术 All rights reserved.
京ICP备2023020795号-1
ghs 京公网安备 11010802042870号
Book学术文献互助
Book学术文献互助群
群 号:604180095
Book学术官方微信