The Role of Venous Excess Ultrasound Score in Optimizing Acute Heart Failure Diagnosis and Prognosis.

IF 1.3 Q4 CARDIAC & CARDIOVASCULAR SYSTEMS
Journal of the Saudi Heart Association Pub Date : 2025-03-05 eCollection Date: 2025-01-01 DOI:10.37616/2212-5043.1422
Saoussen Antit, Sarra Romdhane, Imen Mtiri, Lilia Zakhama
{"title":"The Role of Venous Excess Ultrasound Score in Optimizing Acute Heart Failure Diagnosis and Prognosis.","authors":"Saoussen Antit, Sarra Romdhane, Imen Mtiri, Lilia Zakhama","doi":"10.37616/2212-5043.1422","DOIUrl":null,"url":null,"abstract":"<p><p>Acute heart failure (AHF) is a critical condition with significant morbidity and mortality, necessitating timely and accurate diagnosis for effective management. The Venous Excess Ultrasound (VExUS) score has emerged as a non-invasive diagnostic tool, aimed at evaluating venous congestion through ultrasound. This scoring system integrates assessments of the inferior vena cava, hepatic veins, portal veins, and renal venous flow to quantify congestion severity. By providing a real-time assessment of venous pressure, the VExUS score has shown potential in optimizing early diagnosis of AHF and predicting outcomes and overall prognosis. Recent studies suggest that incorporating the VExUS score into clinical practice can enhance patient stratification and guide tailored therapeutic interventions, reducing the need for invasive procedures like right heart catheterization. However, further large-scale studies are required to fully validate its role in predicting long-term outcomes and establishing its place in standard heart failure protocols. We aimed to review the current evidence on the utility of the VExUS score in improving AHF diagnosis and its potential as a prognostic marker, highlighting its technical aspects, clinical implications and future research directions.</p>","PeriodicalId":17319,"journal":{"name":"Journal of the Saudi Heart Association","volume":"37 1","pages":"10"},"PeriodicalIF":1.3000,"publicationDate":"2025-03-05","publicationTypes":"Journal Article","fieldsOfStudy":null,"isOpenAccess":false,"openAccessPdf":"https://www.ncbi.nlm.nih.gov/pmc/articles/PMC12036827/pdf/","citationCount":"0","resultStr":null,"platform":"Semanticscholar","paperid":null,"PeriodicalName":"Journal of the Saudi Heart Association","FirstCategoryId":"1085","ListUrlMain":"https://doi.org/10.37616/2212-5043.1422","RegionNum":0,"RegionCategory":null,"ArticlePicture":[],"TitleCN":null,"AbstractTextCN":null,"PMCID":null,"EPubDate":"2025/1/1 0:00:00","PubModel":"eCollection","JCR":"Q4","JCRName":"CARDIAC & CARDIOVASCULAR SYSTEMS","Score":null,"Total":0}
引用次数: 0

Abstract

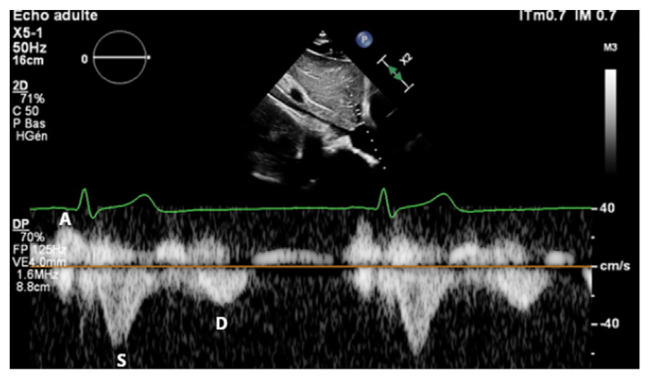
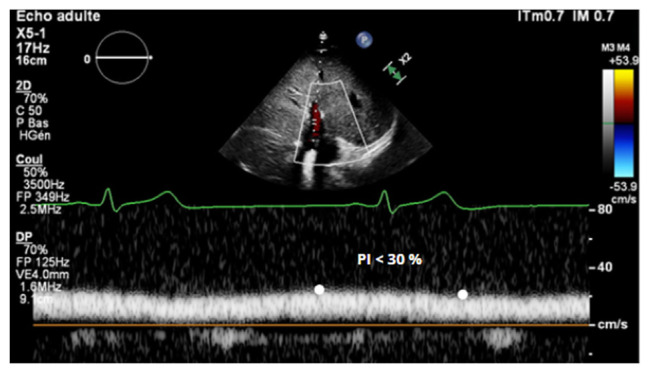
Acute heart failure (AHF) is a critical condition with significant morbidity and mortality, necessitating timely and accurate diagnosis for effective management. The Venous Excess Ultrasound (VExUS) score has emerged as a non-invasive diagnostic tool, aimed at evaluating venous congestion through ultrasound. This scoring system integrates assessments of the inferior vena cava, hepatic veins, portal veins, and renal venous flow to quantify congestion severity. By providing a real-time assessment of venous pressure, the VExUS score has shown potential in optimizing early diagnosis of AHF and predicting outcomes and overall prognosis. Recent studies suggest that incorporating the VExUS score into clinical practice can enhance patient stratification and guide tailored therapeutic interventions, reducing the need for invasive procedures like right heart catheterization. However, further large-scale studies are required to fully validate its role in predicting long-term outcomes and establishing its place in standard heart failure protocols. We aimed to review the current evidence on the utility of the VExUS score in improving AHF diagnosis and its potential as a prognostic marker, highlighting its technical aspects, clinical implications and future research directions.

Abstract Image

Abstract Image

Abstract Image

静脉过量超声评分在优化急性心力衰竭诊断和预后中的作用。
急性心力衰竭(Acute heart failure, AHF)是一种发病率和死亡率都很高的危重疾病,需要及时准确的诊断和有效的治疗。静脉过量超声(VExUS)评分已成为一种非侵入性诊断工具,旨在通过超声评估静脉充血。该评分系统综合了对下腔静脉、肝静脉、门静脉和肾静脉流量的评估,以量化充血的严重程度。通过提供静脉压的实时评估,VExUS评分在优化AHF的早期诊断、预测结果和整体预后方面显示出潜力。最近的研究表明,将VExUS评分纳入临床实践可以增强患者分层,指导量身定制的治疗干预,减少对右心导管等侵入性手术的需求。然而,需要进一步的大规模研究来充分验证其在预测长期预后方面的作用,并在标准心力衰竭方案中确立其地位。我们旨在回顾目前关于VExUS评分在改善AHF诊断方面的应用及其作为预后标志物的潜力的证据,重点介绍其技术方面、临床意义和未来的研究方向。
本文章由计算机程序翻译,如有差异,请以英文原文为准。
求助全文
约1分钟内获得全文 求助全文
来源期刊
Journal of the Saudi Heart Association
Journal of the Saudi Heart Association CARDIAC & CARDIOVASCULAR SYSTEMS-
CiteScore
1.40
自引率
0.00%
发文量
30
审稿时长
15 weeks
×
引用
GB/T 7714-2015
复制
MLA
复制
APA
复制
导出至
BibTeX EndNote RefMan NoteFirst NoteExpress
×
提示
您的信息不完整,为了账户安全,请先补充。
现在去补充
×
提示
您因"违规操作"
具体请查看互助需知
我知道了
×
提示
确定
请完成安全验证×
copy
已复制链接
快去分享给好友吧!
我知道了
右上角分享
点击右上角分享
0
联系我们:info@booksci.cn Book学术提供免费学术资源搜索服务,方便国内外学者检索中英文文献。致力于提供最便捷和优质的服务体验。 Copyright © 2023 布克学术 All rights reserved.
京ICP备2023020795号-1
ghs 京公网安备 11010802042870号
Book学术文献互助
Book学术文献互助群
群 号:604180095
Book学术官方微信