Atorvastatin and flaxseed dietary treatments improve dyslipidemia and liver injuries in a diet-induced rat model of non-alcoholic fatty liver disease.

IF 2.2 Q3 CHEMISTRY, MEDICINAL
Zahra Eslami, Hamidreza Joshaghani, Abdorreza Eghbal Moghanlou, Alireza Norouzi, Seyed Javad Mirghani
{"title":"Atorvastatin and flaxseed dietary treatments improve dyslipidemia and liver injuries in a diet-induced rat model of non-alcoholic fatty liver disease.","authors":"Zahra Eslami, Hamidreza Joshaghani, Abdorreza Eghbal Moghanlou, Alireza Norouzi, Seyed Javad Mirghani","doi":"10.22038/ajp.2024.25220","DOIUrl":null,"url":null,"abstract":"<p><strong>Objective: </strong>Non-alcoholic fatty liver disease (NAFLD) as the most common chronic liver disease is associated with metabolic disorders including dysregulated lipid and glucose metabolism. There is no approved drug treatment for NAFLD; thus, new therapies are needed. We studied the antidyslipidemic effects of atorvastatin and/or possibly hepatoprotective effects of flaxseed/ flaxseed oil in a rat model of NAFLD.</p><p><strong>Materials and methods: </strong>Fifty-six male Wistar rats were divided randomly into seven groups: 1) control, 2) high-fructose diet (HFD), 3) HFD +atorvastatin (20 mg/kg), 4) HFD+ flaxseed (40 g/kg), 5) HFD+ flaxseed oil (40 mg/kg), 6) HFD+flaxseed (40 g/kg) + atorvastatin (20 mg/kg) and 7) HFD+flaxseed oil (40 g/kg) +atorvastatin (20 mg/kg). The interventions were done for 23 weeks, after which anthropometric indices, lipid profile, liver enzymes, fasting blood glucose, and kidney indices were analyzed. Scoring of hematoxylin-eosin-stained liver sections was used to assess the severity of NAFLD.</p><p><strong>Results: </strong>All the treatments reduced mesenteric fat mass, and the amount of fat around the liver, except in HFD+ flaxseed +atorvastatin group. The interventions improved NAFLD activity score, which considers steatosis, lobular inflammation, and hepatocyte ballooning. However, atorvastatin was most efficient in reducing inflammation and hepatocyte ballooning. While atorvastatin reduced only Gamma-glutamyltransferase (GGT) levels, flaxseed or flaxseed oil mono- and combination therapies reduced serum levels of all liver enzymes. The interventions improved the serum lipid profile and all, except atorvastatin decreased fasting blood glucose.</p><p><strong>Conclusion: </strong>Flaxseed therapies improved NAFLD-associated liver injuries and dyslipidemia, while atorvastatin mostly reduced hepatocyte ballooning and lobular inflammation.</p>","PeriodicalId":8677,"journal":{"name":"Avicenna Journal of Phytomedicine","volume":"15 3","pages":"1102-1112"},"PeriodicalIF":2.2000,"publicationDate":"2025-05-01","publicationTypes":"Journal Article","fieldsOfStudy":null,"isOpenAccess":false,"openAccessPdf":"https://www.ncbi.nlm.nih.gov/pmc/articles/PMC12068500/pdf/","citationCount":"0","resultStr":null,"platform":"Semanticscholar","paperid":null,"PeriodicalName":"Avicenna Journal of Phytomedicine","FirstCategoryId":"1085","ListUrlMain":"https://doi.org/10.22038/ajp.2024.25220","RegionNum":0,"RegionCategory":null,"ArticlePicture":[],"TitleCN":null,"AbstractTextCN":null,"PMCID":null,"EPubDate":"","PubModel":"","JCR":"Q3","JCRName":"CHEMISTRY, MEDICINAL","Score":null,"Total":0}
引用次数: 0

Abstract

Objective: Non-alcoholic fatty liver disease (NAFLD) as the most common chronic liver disease is associated with metabolic disorders including dysregulated lipid and glucose metabolism. There is no approved drug treatment for NAFLD; thus, new therapies are needed. We studied the antidyslipidemic effects of atorvastatin and/or possibly hepatoprotective effects of flaxseed/ flaxseed oil in a rat model of NAFLD.

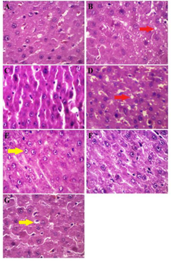
Materials and methods: Fifty-six male Wistar rats were divided randomly into seven groups: 1) control, 2) high-fructose diet (HFD), 3) HFD +atorvastatin (20 mg/kg), 4) HFD+ flaxseed (40 g/kg), 5) HFD+ flaxseed oil (40 mg/kg), 6) HFD+flaxseed (40 g/kg) + atorvastatin (20 mg/kg) and 7) HFD+flaxseed oil (40 g/kg) +atorvastatin (20 mg/kg). The interventions were done for 23 weeks, after which anthropometric indices, lipid profile, liver enzymes, fasting blood glucose, and kidney indices were analyzed. Scoring of hematoxylin-eosin-stained liver sections was used to assess the severity of NAFLD.

Results: All the treatments reduced mesenteric fat mass, and the amount of fat around the liver, except in HFD+ flaxseed +atorvastatin group. The interventions improved NAFLD activity score, which considers steatosis, lobular inflammation, and hepatocyte ballooning. However, atorvastatin was most efficient in reducing inflammation and hepatocyte ballooning. While atorvastatin reduced only Gamma-glutamyltransferase (GGT) levels, flaxseed or flaxseed oil mono- and combination therapies reduced serum levels of all liver enzymes. The interventions improved the serum lipid profile and all, except atorvastatin decreased fasting blood glucose.

Conclusion: Flaxseed therapies improved NAFLD-associated liver injuries and dyslipidemia, while atorvastatin mostly reduced hepatocyte ballooning and lobular inflammation.

Abstract Image

Abstract Image

Abstract Image

阿托伐他汀和亚麻籽饮食治疗改善非酒精性脂肪性肝病大鼠模型的血脂异常和肝损伤
目的:非酒精性脂肪性肝病(NAFLD)作为最常见的慢性肝病,与代谢紊乱相关,包括脂质和糖代谢失调。目前还没有批准的药物治疗NAFLD;因此,需要新的治疗方法。我们在NAFLD大鼠模型中研究了阿托伐他汀的降脂作用和/或可能的亚麻籽/亚麻籽油的肝保护作用。材料与方法:56只雄性Wistar大鼠随机分为7组:1)对照组,2)高果糖饮食(HFD), 3) HFD+阿托伐他汀(20 mg/kg), 4) HFD+亚麻籽(40 g/kg), 5) HFD+亚麻籽油(40 mg/kg), 6) HFD+亚麻籽油(40 g/kg) +阿托伐他汀(20 mg/kg)和7)HFD+亚麻籽油(40 g/kg) +阿托伐他汀(20 mg/kg)。干预23周后,分析人体测量指标、血脂、肝酶、空腹血糖和肾脏指标。苏木精-伊红染色肝切片评分用于评估NAFLD的严重程度。结果:除HFD+亚麻籽+阿托伐他汀组外,所有治疗组均减少了肠系膜脂肪量和肝脏周围脂肪量。干预提高了NAFLD活动评分,该评分考虑脂肪变性、小叶炎症和肝细胞球囊化。然而,阿托伐他汀在减少炎症和肝细胞球囊化方面最有效。虽然阿托伐他汀仅降低γ -谷氨酰转移酶(GGT)水平,但亚麻籽或亚麻籽油单一和联合治疗降低了所有肝酶的血清水平。这些干预措施改善了血脂状况,除了阿托伐他汀降低了空腹血糖外,所有干预措施都降低了空腹血糖。结论:亚麻籽治疗改善nafld相关肝损伤和血脂异常,而阿托伐他汀主要减轻肝细胞球囊化和小叶炎症。
本文章由计算机程序翻译,如有差异,请以英文原文为准。
求助全文
约1分钟内获得全文 求助全文
来源期刊
Avicenna Journal of Phytomedicine
Avicenna Journal of Phytomedicine CHEMISTRY, MEDICINAL-
CiteScore
3.40
自引率
4.50%
发文量
17
审稿时长
6 weeks
×
引用
GB/T 7714-2015
复制
MLA
复制
APA
复制
导出至
BibTeX EndNote RefMan NoteFirst NoteExpress
×
提示
您的信息不完整,为了账户安全,请先补充。
现在去补充
×
提示
您因"违规操作"
具体请查看互助需知
我知道了
×
提示
确定
请完成安全验证×
copy
已复制链接
快去分享给好友吧!
我知道了
右上角分享
点击右上角分享
0
联系我们:info@booksci.cn Book学术提供免费学术资源搜索服务,方便国内外学者检索中英文文献。致力于提供最便捷和优质的服务体验。 Copyright © 2023 布克学术 All rights reserved.
京ICP备2023020795号-1
ghs 京公网安备 11010802042870号
Book学术文献互助
Book学术文献互助群
群 号:604180095
Book学术官方微信