Resolution of Sleep Apnea After Radiofrequency Ablation of Goiter.

IF 0.9 Q4 ENDOCRINOLOGY & METABOLISM
Case Reports in Endocrinology Pub Date : 2025-05-05 eCollection Date: 2025-01-01 DOI:10.1155/crie/6446712
Kamran A Ali, Daniel X Ma, Lindsay M McCullough, James J Herdegen, Sean M Wrenn
{"title":"Resolution of Sleep Apnea After Radiofrequency Ablation of Goiter.","authors":"Kamran A Ali, Daniel X Ma, Lindsay M McCullough, James J Herdegen, Sean M Wrenn","doi":"10.1155/crie/6446712","DOIUrl":null,"url":null,"abstract":"<p><p><b>Background:</b> Obstructive sleep apnea (OSA) and nontoxic multinodular goiter are conditions that often coexist. Treatments of both conditions have evolved over time, but continuous positive airway pressure (CPAP), oral appliances, or surgical therapy are often needed. Radiofrequency ablation (RFA) of the soft palate and base of tongue has been applied as a newer alternative therapy for OSA. RFA is also an increasingly used approach for thyroid nodules and goiter, but previously had no known connection to OSA. <b>Case Presentation</b>: A 59-year-old female with a known history of multinodular goiter and moderate OSA was referred to our endocrine surgery clinic. The goiter was found to have mediastinal extension, documented longitudinal growth of the dominant nodule, cosmetic deformity of the neck, and tracheal deviation. The patient underwent thyroid RFA as nonoperative treatment for her goiter. Within a month of her procedure, she also self-reported a subjective reduction in apneic events and later underwent a formal home sleep study demonstrating an apnea-hypopnea index (AHI) change from 15.8/h at diagnosis to 2.9/h currently, signifying resolution of her OSA. Her treated nodule had 92% volume reduction on 18-month follow-up visit. <b>Conclusion</b>: To our knowledge, this is the first reported case of OSA cured in a patient undergoing RFA for goiter. Goiter-associated sleep apnea remains inadequately described in the literature and warrants further investigations on prevalence and management. Thyroidectomy continues to be the definitive treatment for goiter, with some studies suggesting secondary efficacy for OSA. RFA is now established as a first-line option for symptomatic thyroid nodules, but previously had no described benefit to OSA symptoms. This report illustrates that RFA of thyroid nodules could be offered to patients as both an effective nonsurgical option for goiter as well as a potential cure for their OSA to free them from nightly CPAP usage.</p>","PeriodicalId":9621,"journal":{"name":"Case Reports in Endocrinology","volume":"2025 ","pages":"6446712"},"PeriodicalIF":0.9000,"publicationDate":"2025-05-05","publicationTypes":"Journal Article","fieldsOfStudy":null,"isOpenAccess":false,"openAccessPdf":"https://www.ncbi.nlm.nih.gov/pmc/articles/PMC12069844/pdf/","citationCount":"0","resultStr":null,"platform":"Semanticscholar","paperid":null,"PeriodicalName":"Case Reports in Endocrinology","FirstCategoryId":"1085","ListUrlMain":"https://doi.org/10.1155/crie/6446712","RegionNum":0,"RegionCategory":null,"ArticlePicture":[],"TitleCN":null,"AbstractTextCN":null,"PMCID":null,"EPubDate":"2025/1/1 0:00:00","PubModel":"eCollection","JCR":"Q4","JCRName":"ENDOCRINOLOGY & METABOLISM","Score":null,"Total":0}
引用次数: 0

Abstract

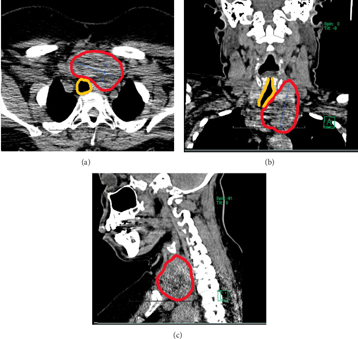
Background: Obstructive sleep apnea (OSA) and nontoxic multinodular goiter are conditions that often coexist. Treatments of both conditions have evolved over time, but continuous positive airway pressure (CPAP), oral appliances, or surgical therapy are often needed. Radiofrequency ablation (RFA) of the soft palate and base of tongue has been applied as a newer alternative therapy for OSA. RFA is also an increasingly used approach for thyroid nodules and goiter, but previously had no known connection to OSA. Case Presentation: A 59-year-old female with a known history of multinodular goiter and moderate OSA was referred to our endocrine surgery clinic. The goiter was found to have mediastinal extension, documented longitudinal growth of the dominant nodule, cosmetic deformity of the neck, and tracheal deviation. The patient underwent thyroid RFA as nonoperative treatment for her goiter. Within a month of her procedure, she also self-reported a subjective reduction in apneic events and later underwent a formal home sleep study demonstrating an apnea-hypopnea index (AHI) change from 15.8/h at diagnosis to 2.9/h currently, signifying resolution of her OSA. Her treated nodule had 92% volume reduction on 18-month follow-up visit. Conclusion: To our knowledge, this is the first reported case of OSA cured in a patient undergoing RFA for goiter. Goiter-associated sleep apnea remains inadequately described in the literature and warrants further investigations on prevalence and management. Thyroidectomy continues to be the definitive treatment for goiter, with some studies suggesting secondary efficacy for OSA. RFA is now established as a first-line option for symptomatic thyroid nodules, but previously had no described benefit to OSA symptoms. This report illustrates that RFA of thyroid nodules could be offered to patients as both an effective nonsurgical option for goiter as well as a potential cure for their OSA to free them from nightly CPAP usage.

Abstract Image

Abstract Image

Abstract Image

甲状腺肿射频消融术后睡眠呼吸暂停的缓解。
背景:阻塞性睡眠呼吸暂停(OSA)和无毒多结节性甲状腺肿经常共存。随着时间的推移,这两种疾病的治疗方法也在不断发展,但通常需要持续的气道正压通气(CPAP)、口腔矫治器或手术治疗。软腭及舌底射频消融术(RFA)已成为一种较新的替代治疗阻塞性睡眠呼吸暂停的方法。RFA也越来越多地用于甲状腺结节和甲状腺肿,但以前没有发现与阻塞性睡眠呼吸暂停有关。病例介绍:一名59岁女性,已知多结节性甲状腺肿和中度阻塞性睡眠呼吸暂停病史,被转介到我们的内分泌外科诊所。甲状腺肿有纵隔延伸,主要结节纵向生长,颈部外观畸形和气管偏曲。患者接受甲状腺射频消融术作为非手术治疗甲状腺肿。在手术的一个月内,她也自我报告了呼吸暂停事件的主观减少,后来进行了正式的家庭睡眠研究,显示呼吸暂停低通气指数(AHI)从诊断时的15.8/h改变到目前的2.9/h,这表明她的OSA得到了解决。在18个月的随访中,她治疗的结节体积缩小了92%。结论:据我们所知,这是第一例报道的因甲状腺肿而接受射频消融术的OSA患者治愈的病例。甲状腺肿相关的睡眠呼吸暂停在文献中仍然没有充分的描述,需要进一步调查患病率和管理。甲状腺切除术仍然是甲状腺肿的最终治疗方法,一些研究表明OSA的次要疗效。RFA现在被确定为治疗有症状的甲状腺结节的一线选择,但以前没有描述对OSA症状的益处。本报告表明,甲状腺结节的射频消融既可以作为甲状腺肿的有效非手术治疗选择,也可以作为阻塞性睡眠呼吸暂停的潜在治疗方法,使患者不必每晚使用CPAP。
本文章由计算机程序翻译,如有差异,请以英文原文为准。
求助全文
约1分钟内获得全文 求助全文
来源期刊
Case Reports in Endocrinology
Case Reports in Endocrinology ENDOCRINOLOGY & METABOLISM-
CiteScore
2.10
自引率
0.00%
发文量
45
审稿时长
13 weeks
×
引用
GB/T 7714-2015
复制
MLA
复制
APA
复制
导出至
BibTeX EndNote RefMan NoteFirst NoteExpress
×
提示
您的信息不完整,为了账户安全,请先补充。
现在去补充
×
提示
您因"违规操作"
具体请查看互助需知
我知道了
×
提示
确定
请完成安全验证×
copy
已复制链接
快去分享给好友吧!
我知道了
右上角分享
点击右上角分享
0
联系我们:info@booksci.cn Book学术提供免费学术资源搜索服务,方便国内外学者检索中英文文献。致力于提供最便捷和优质的服务体验。 Copyright © 2023 布克学术 All rights reserved.
京ICP备2023020795号-1
ghs 京公网安备 11010802042870号
Book学术文献互助
Book学术文献互助群
群 号:604180095
Book学术官方微信