Burosumab treatment of a child with McCune-Albright syndrome/polyostotic fibrous dysplasia: challenges and benefits.

IF 2.4 Q2 ENDOCRINOLOGY & METABOLISM
JBMR Plus Pub Date : 2025-03-10 eCollection Date: 2025-05-01 DOI:10.1093/jbmrpl/ziaf042
Sophia D Sakka, Danai Georgakopoulou, Artemis Doulgeraki, Andreas H Krieg, John Anastasopoulos, Gabor Szinnai, Christina Kanaka-Gantenbein
{"title":"Burosumab treatment of a child with McCune-Albright syndrome/polyostotic fibrous dysplasia: challenges and benefits.","authors":"Sophia D Sakka, Danai Georgakopoulou, Artemis Doulgeraki, Andreas H Krieg, John Anastasopoulos, Gabor Szinnai, Christina Kanaka-Gantenbein","doi":"10.1093/jbmrpl/ziaf042","DOIUrl":null,"url":null,"abstract":"<p><p>Fibrous dysplasia/McCune-Albright syndrome (FD/MAS) is a rare condition caused by a mutation in the GNAS locus. Apart from endocrinopathies, some cases are characterized by excessive fibroblast growth factor 23 (FGF23) production from abnormal fibro-osseous tissue in FD lesions, resulting in increased renal phosphate excretion. We present a girl with FD/MAS and severe skeletal burden, evidenced by the presence of polyostotic fibrous dysplasia, which was complicated with bone fractures. She also had hyperthyroidism and GnRH-independent precocious puberty. She received zoledronic acid infusions in preparation for hip surgery. Despite optimal conventional management with oral phosphate and alphacalcidol, which was poorly tolerated, she presented persistent hypophosphatemia. To control hypophosphatemia and its deleterious effects on bone health, treatment with burosumab off-label at a dose of 0.66 mg/kg (20 mg) every 2 wk was initiated. Serum phosphate levels normalized within 2 wk of treatment. Laboratory results showed improvement in serum alkaline phosphatase (ALP) and PTH levels. After the second injection of burosumab, phosphate and PTH rose above the normal range with normal vitamin D levels; therefore, the interval between doses was increased to 3 wk, and calcium 500 mg daily was added. However, phosphate levels dropped again below normal range, so she had to return to 2-weekly injections of 20 mg. After 11 mo on burosumab, she remains with high normal phosphate levels and normal PTH and ALP values. Burosumab is well tolerated, with no adverse events to date. Burosumab is a human monoclonal antibody against FGF23 that reduces the risk of developing FGF23-mediated hypophosphatemia and its associated complications. Burosumab should be considered as an effective and safe alternative strategy for FGF23-mediated hypophosphatemia in FD/MAS for those who either cannot tolerate or do not respond to conventional therapy. To our knowledge, this is the fourth published case worldwide describing successful treatment with burosumab in FD/MAS.</p>","PeriodicalId":14611,"journal":{"name":"JBMR Plus","volume":"9 5","pages":"ziaf042"},"PeriodicalIF":2.4000,"publicationDate":"2025-03-10","publicationTypes":"Journal Article","fieldsOfStudy":null,"isOpenAccess":false,"openAccessPdf":"https://www.ncbi.nlm.nih.gov/pmc/articles/PMC12035695/pdf/","citationCount":"0","resultStr":null,"platform":"Semanticscholar","paperid":null,"PeriodicalName":"JBMR Plus","FirstCategoryId":"1085","ListUrlMain":"https://doi.org/10.1093/jbmrpl/ziaf042","RegionNum":0,"RegionCategory":null,"ArticlePicture":[],"TitleCN":null,"AbstractTextCN":null,"PMCID":null,"EPubDate":"2025/5/1 0:00:00","PubModel":"eCollection","JCR":"Q2","JCRName":"ENDOCRINOLOGY & METABOLISM","Score":null,"Total":0}
引用次数: 0

Abstract

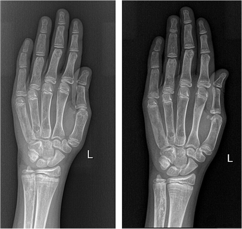
Fibrous dysplasia/McCune-Albright syndrome (FD/MAS) is a rare condition caused by a mutation in the GNAS locus. Apart from endocrinopathies, some cases are characterized by excessive fibroblast growth factor 23 (FGF23) production from abnormal fibro-osseous tissue in FD lesions, resulting in increased renal phosphate excretion. We present a girl with FD/MAS and severe skeletal burden, evidenced by the presence of polyostotic fibrous dysplasia, which was complicated with bone fractures. She also had hyperthyroidism and GnRH-independent precocious puberty. She received zoledronic acid infusions in preparation for hip surgery. Despite optimal conventional management with oral phosphate and alphacalcidol, which was poorly tolerated, she presented persistent hypophosphatemia. To control hypophosphatemia and its deleterious effects on bone health, treatment with burosumab off-label at a dose of 0.66 mg/kg (20 mg) every 2 wk was initiated. Serum phosphate levels normalized within 2 wk of treatment. Laboratory results showed improvement in serum alkaline phosphatase (ALP) and PTH levels. After the second injection of burosumab, phosphate and PTH rose above the normal range with normal vitamin D levels; therefore, the interval between doses was increased to 3 wk, and calcium 500 mg daily was added. However, phosphate levels dropped again below normal range, so she had to return to 2-weekly injections of 20 mg. After 11 mo on burosumab, she remains with high normal phosphate levels and normal PTH and ALP values. Burosumab is well tolerated, with no adverse events to date. Burosumab is a human monoclonal antibody against FGF23 that reduces the risk of developing FGF23-mediated hypophosphatemia and its associated complications. Burosumab should be considered as an effective and safe alternative strategy for FGF23-mediated hypophosphatemia in FD/MAS for those who either cannot tolerate or do not respond to conventional therapy. To our knowledge, this is the fourth published case worldwide describing successful treatment with burosumab in FD/MAS.

Abstract Image

Abstract Image

Abstract Image

布若单抗治疗儿童麦库恩-奥尔布赖特综合征/多骨增生纤维发育不良:挑战和益处
纤维结构不良/麦库恩-奥尔布赖特综合征(FD/MAS)是由GNAS基因座突变引起的一种罕见疾病。除了内分泌病变外,一些病例的特点是FD病变中异常纤维骨组织产生过多的成纤维细胞生长因子23 (FGF23),导致肾磷酸盐排泄增加。我们报告了一个患有FD/MAS的女孩和严重的骨骼负担,证明存在多骨纤维发育不良,并伴有骨折。她还患有甲状腺功能亢进和非gnrh依赖性性性早熟。她接受了唑来膦酸输液,为髋关节手术做准备。尽管口服磷酸盐和α骨化醇是最佳的常规治疗方法,但耐受性差,她仍然出现了持续的低磷血症。为了控制低磷血症及其对骨骼健康的有害影响,开始以每2周0.66 mg/kg (20 mg)的剂量使用布罗单抗进行标签外治疗。治疗后2周内血清磷酸盐水平恢复正常。实验室结果显示血清碱性磷酸酶(ALP)和甲状旁腺素水平有所改善。第二次注射布罗单抗后,磷酸盐和甲状旁腺激素高于正常范围,维生素D水平正常;因此,剂量间隔延长至3周,每日添加钙500毫克。然而,磷酸盐水平再次低于正常范围,因此她不得不恢复每2周注射20毫克。布若单抗治疗11个月后,患者的磷酸盐水平正常,PTH和ALP值正常。bursumab耐受性良好,迄今无不良事件。Burosumab是一种针对FGF23的人单克隆抗体,可降低发生FGF23介导的低磷血症及其相关并发症的风险。对于那些不能耐受或对常规治疗无反应的FD/MAS患者,应将布鲁苏单抗视为fgf23介导的低磷血症的有效和安全的替代策略。据我们所知,这是世界上第四个描述成功使用布鲁苏单抗治疗FD/MAS的病例。
本文章由计算机程序翻译,如有差异,请以英文原文为准。
求助全文
约1分钟内获得全文 求助全文
来源期刊
JBMR Plus
JBMR Plus Medicine-Orthopedics and Sports Medicine
CiteScore
5.80
自引率
2.60%
发文量
103
审稿时长
8 weeks
×
引用
GB/T 7714-2015
复制
MLA
复制
APA
复制
导出至
BibTeX EndNote RefMan NoteFirst NoteExpress
×
提示
您的信息不完整,为了账户安全,请先补充。
现在去补充
×
提示
您因"违规操作"
具体请查看互助需知
我知道了
×
提示
确定
请完成安全验证×
copy
已复制链接
快去分享给好友吧!
我知道了
右上角分享
点击右上角分享
0
联系我们:info@booksci.cn Book学术提供免费学术资源搜索服务,方便国内外学者检索中英文文献。致力于提供最便捷和优质的服务体验。 Copyright © 2023 布克学术 All rights reserved.
京ICP备2023020795号-1
ghs 京公网安备 11010802042870号
Book学术文献互助
Book学术文献互助群
群 号:604180095
Book学术官方微信