Bone disease and osteoporosis associated with Pompe disease.

IF 2.4 Q2 ENDOCRINOLOGY & METABOLISM
JBMR Plus Pub Date : 2025-04-03 eCollection Date: 2025-05-01 DOI:10.1093/jbmrpl/ziaf045
Lucas Maxey, Hannah Freibert, Auremil Quinonez, Hartmut Malluche, Madhumathi Rao
{"title":"Bone disease and osteoporosis associated with Pompe disease.","authors":"Lucas Maxey, Hannah Freibert, Auremil Quinonez, Hartmut Malluche, Madhumathi Rao","doi":"10.1093/jbmrpl/ziaf045","DOIUrl":null,"url":null,"abstract":"<p><p>Pompe disease is a lysosomal storage disorder defined by a mutation in the GAA gene encoding alpha-1,4-glucosidase alpha (acid maltase). Pompe disease encompasses a range of clinical presentations that are broadly characterized as either classic infantile Pompe disease or late-onset Pompe disease (LOPD). LOPD is a milder manifestation of the disease that presents after the first year of life and is typically characterized by mild proximal muscle weakness and lack of cardiac involvement compared to the classic infantile form. The mainstay of treatment is enzyme replacement therapy (EnRT). Decreased bone mineral density (BMD) is frequently encountered in LOPD. While bone loss is thought to be due to mechanical unloading secondary to the progressive muscle weakness associated with the disease, there is a lack of tissue-level data in support of this mechanism. We describe a 60-yr-old female with LOPD managed with EnRT who presented with proximal muscle weakness and decreased BMD on dual-energy X-ray absorptiometry. Undecalcified bone histology showed low turnover osteoporosis, and treatment was initiated with romosozumab. Romosozumab specifically may provide a promising osteoporosis therapy for LOPD-associated osteoporosis. As a sclerostin inhibitor, it both inhibits bone resorption and promotes new bone formation. We additionally emphasize that bone biopsy should be considered as a useful diagnostic tool in the evaluation of osteoporosis associated with uncommon pathologies, since bone histology provides more specific tissue-level information over clinical and laboratory evaluation as well as substantive guidance for treatment.</p>","PeriodicalId":14611,"journal":{"name":"JBMR Plus","volume":"9 5","pages":"ziaf045"},"PeriodicalIF":2.4000,"publicationDate":"2025-04-03","publicationTypes":"Journal Article","fieldsOfStudy":null,"isOpenAccess":false,"openAccessPdf":"https://www.ncbi.nlm.nih.gov/pmc/articles/PMC11994030/pdf/","citationCount":"0","resultStr":null,"platform":"Semanticscholar","paperid":null,"PeriodicalName":"JBMR Plus","FirstCategoryId":"1085","ListUrlMain":"https://doi.org/10.1093/jbmrpl/ziaf045","RegionNum":0,"RegionCategory":null,"ArticlePicture":[],"TitleCN":null,"AbstractTextCN":null,"PMCID":null,"EPubDate":"2025/5/1 0:00:00","PubModel":"eCollection","JCR":"Q2","JCRName":"ENDOCRINOLOGY & METABOLISM","Score":null,"Total":0}
引用次数: 0

Abstract

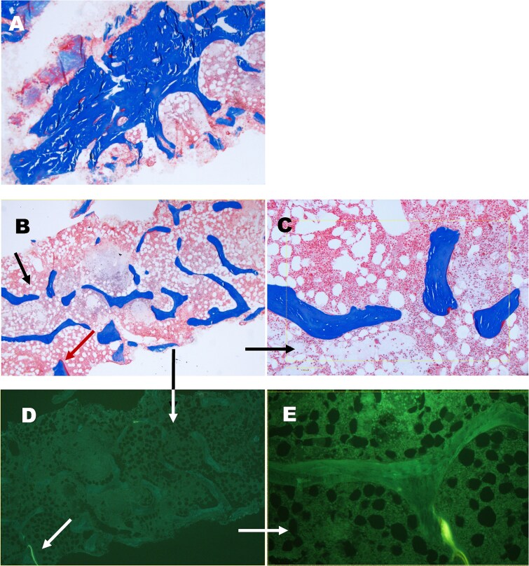
Pompe disease is a lysosomal storage disorder defined by a mutation in the GAA gene encoding alpha-1,4-glucosidase alpha (acid maltase). Pompe disease encompasses a range of clinical presentations that are broadly characterized as either classic infantile Pompe disease or late-onset Pompe disease (LOPD). LOPD is a milder manifestation of the disease that presents after the first year of life and is typically characterized by mild proximal muscle weakness and lack of cardiac involvement compared to the classic infantile form. The mainstay of treatment is enzyme replacement therapy (EnRT). Decreased bone mineral density (BMD) is frequently encountered in LOPD. While bone loss is thought to be due to mechanical unloading secondary to the progressive muscle weakness associated with the disease, there is a lack of tissue-level data in support of this mechanism. We describe a 60-yr-old female with LOPD managed with EnRT who presented with proximal muscle weakness and decreased BMD on dual-energy X-ray absorptiometry. Undecalcified bone histology showed low turnover osteoporosis, and treatment was initiated with romosozumab. Romosozumab specifically may provide a promising osteoporosis therapy for LOPD-associated osteoporosis. As a sclerostin inhibitor, it both inhibits bone resorption and promotes new bone formation. We additionally emphasize that bone biopsy should be considered as a useful diagnostic tool in the evaluation of osteoporosis associated with uncommon pathologies, since bone histology provides more specific tissue-level information over clinical and laboratory evaluation as well as substantive guidance for treatment.

Abstract Image

Abstract Image

Abstract Image

与庞贝病相关的骨病和骨质疏松症。
庞贝病是一种溶酶体贮积症,由编码α -1,4-葡萄糖苷酶α(酸性麦芽糖酶)的GAA基因突变定义。庞贝病包括一系列临床表现,其大致特征为经典的婴儿庞贝病或晚发性庞贝病(LOPD)。与典型的婴儿形式相比,LOPD是一种较轻的疾病表现,在一岁之后出现,典型特征是轻度近端肌肉无力和不累及心脏。主要的治疗方法是酶替代疗法(EnRT)。骨密度(BMD)降低是LOPD患者常见的症状。虽然骨质流失被认为是由于与疾病相关的进行性肌肉无力继发的机械卸载,但缺乏组织水平的数据来支持这一机制。我们描述了一位60岁的LOPD女性患者,她采用EnRT治疗,双能x线吸收仪显示近端肌肉无力和骨密度下降。未钙化的骨组织显示低周转率骨质疏松症,开始使用罗莫索单抗治疗。Romosozumab可能为lopd相关骨质疏松症提供有希望的骨质疏松症治疗。作为一种硬化蛋白抑制剂,它既抑制骨吸收又促进新骨形成。我们还强调,骨活检应被视为一种有用的诊断工具,用于评估与罕见病理相关的骨质疏松症,因为骨组织学为临床和实验室评估提供了更具体的组织水平信息,并为治疗提供了实质性指导。
本文章由计算机程序翻译,如有差异,请以英文原文为准。
求助全文
约1分钟内获得全文 求助全文
来源期刊
JBMR Plus
JBMR Plus Medicine-Orthopedics and Sports Medicine
CiteScore
5.80
自引率
2.60%
发文量
103
审稿时长
8 weeks
×
引用
GB/T 7714-2015
复制
MLA
复制
APA
复制
导出至
BibTeX EndNote RefMan NoteFirst NoteExpress
×
提示
您的信息不完整,为了账户安全,请先补充。
现在去补充
×
提示
您因"违规操作"
具体请查看互助需知
我知道了
×
提示
确定
请完成安全验证×
copy
已复制链接
快去分享给好友吧!
我知道了
右上角分享
点击右上角分享
0
联系我们:info@booksci.cn Book学术提供免费学术资源搜索服务,方便国内外学者检索中英文文献。致力于提供最便捷和优质的服务体验。 Copyright © 2023 布克学术 All rights reserved.
京ICP备2023020795号-1
ghs 京公网安备 11010802042870号
Book学术文献互助
Book学术文献互助群
群 号:604180095
Book学术官方微信