The hydroalcoholic extract of Nasturtium officinale protectively inhibits apoptotic and inflammatory pathways in hepato- and nephrotoxicity: An in vivo study.

IF 2.2 Q3 CHEMISTRY, MEDICINAL
Sevil Soudkhah, Sahar Keyghobadi, Amir Shadboorestan, Mahdi Gholami, Behnam Omidi Sarajar, Armin Salek Maghsoudi, Mahmoud Omidi, Saeed Mohammadi Motamed, Saeid Akbarzadeh Kolahi, Nima Rastegar-Pouyani, Shokoufeh Hassani
{"title":"The hydroalcoholic extract of <i>Nasturtium officinale</i> protectively inhibits apoptotic and inflammatory pathways in hepato- and nephrotoxicity: An <i>in vivo</i> study.","authors":"Sevil Soudkhah, Sahar Keyghobadi, Amir Shadboorestan, Mahdi Gholami, Behnam Omidi Sarajar, Armin Salek Maghsoudi, Mahmoud Omidi, Saeed Mohammadi Motamed, Saeid Akbarzadeh Kolahi, Nima Rastegar-Pouyani, Shokoufeh Hassani","doi":"10.22038/ajp.2024.25213","DOIUrl":null,"url":null,"abstract":"<p><strong>Objective: </strong>Nasturtium officinale (N. officinale (NO)) has been widely used in traditional medicine. This study investigates the protective effects of NO against hepatic and renal damage induced by CCl<sub>4</sub> and gentamicin, respectively, in rats.</p><p><strong>Materials and methods: </strong>Male Wistar rats were divided into two arms: A (CCl4-induced hepatotoxicity) and B (gentamicin-induced nephrotoxicity). Seventeen groups were formed by dividing arms A and B, with nine groups in arm A and eight groups in arm B (n=5). Rats were daily treated with various doses (50, 100, and 200 mg/kg BW) of N. officinale extract (NOE) (Total extract; Oral gavage) for 14 and 28 days in arm A and B, respectively. Biochemical and histopathological evaluations and gene expression analyses were conducted on blood, liver, and kidney tissues.</p><p><strong>Results: </strong>NOE treatment significantly modulated B-cell lymphoma protein 2 (Bcl-2)-associated X (Bax) and B-cell lymphoma protein 2 (Bcl-2) expression in kidney tissue, reducing Bax (p<0.01) and increasing Bcl-2 (p<0.05). In liver tissue, NOE inhibited tumor necrosis factor alpha (TNF-α) (p<0.01) and Interleukin-1 beta (IL-1β) (p<0.001), while reducing AST and ALT activity (p<0.001). Additionally, blood urea nitrogen (BUN) levels significantly decreased (p<0.05) in nephrotoxic rats.</p><p><strong>Conclusion: </strong>Our findings highlight the capability of NOE as a promising therapeutic against liver and kidney damage induced by CCl<sub>4</sub> and gentamicin, respectively, in animal models.</p>","PeriodicalId":8677,"journal":{"name":"Avicenna Journal of Phytomedicine","volume":"15 3","pages":"1177-1192"},"PeriodicalIF":2.2000,"publicationDate":"2025-05-01","publicationTypes":"Journal Article","fieldsOfStudy":null,"isOpenAccess":false,"openAccessPdf":"https://www.ncbi.nlm.nih.gov/pmc/articles/PMC12068498/pdf/","citationCount":"0","resultStr":null,"platform":"Semanticscholar","paperid":null,"PeriodicalName":"Avicenna Journal of Phytomedicine","FirstCategoryId":"1085","ListUrlMain":"https://doi.org/10.22038/ajp.2024.25213","RegionNum":0,"RegionCategory":null,"ArticlePicture":[],"TitleCN":null,"AbstractTextCN":null,"PMCID":null,"EPubDate":"","PubModel":"","JCR":"Q3","JCRName":"CHEMISTRY, MEDICINAL","Score":null,"Total":0}
引用次数: 0

Abstract

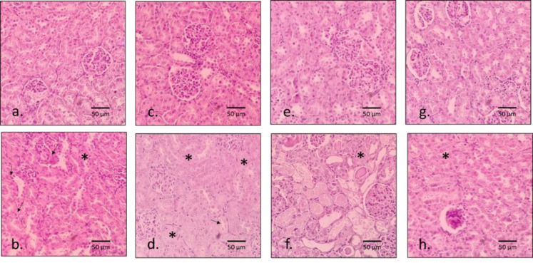
Objective: Nasturtium officinale (N. officinale (NO)) has been widely used in traditional medicine. This study investigates the protective effects of NO against hepatic and renal damage induced by CCl4 and gentamicin, respectively, in rats.

Materials and methods: Male Wistar rats were divided into two arms: A (CCl4-induced hepatotoxicity) and B (gentamicin-induced nephrotoxicity). Seventeen groups were formed by dividing arms A and B, with nine groups in arm A and eight groups in arm B (n=5). Rats were daily treated with various doses (50, 100, and 200 mg/kg BW) of N. officinale extract (NOE) (Total extract; Oral gavage) for 14 and 28 days in arm A and B, respectively. Biochemical and histopathological evaluations and gene expression analyses were conducted on blood, liver, and kidney tissues.

Results: NOE treatment significantly modulated B-cell lymphoma protein 2 (Bcl-2)-associated X (Bax) and B-cell lymphoma protein 2 (Bcl-2) expression in kidney tissue, reducing Bax (p<0.01) and increasing Bcl-2 (p<0.05). In liver tissue, NOE inhibited tumor necrosis factor alpha (TNF-α) (p<0.01) and Interleukin-1 beta (IL-1β) (p<0.001), while reducing AST and ALT activity (p<0.001). Additionally, blood urea nitrogen (BUN) levels significantly decreased (p<0.05) in nephrotoxic rats.

Conclusion: Our findings highlight the capability of NOE as a promising therapeutic against liver and kidney damage induced by CCl4 and gentamicin, respectively, in animal models.

Abstract Image

Abstract Image

Abstract Image

旱金莲水醇提取物保护抑制肝和肾毒性细胞凋亡和炎症途径:一项体内研究。
目的:旱金莲(N. officinale, NO)在传统医学中有着广泛的应用。本研究探讨一氧化氮对CCl4和庆大霉素致大鼠肝、肾损伤的保护作用。材料与方法:雄性Wistar大鼠分为A组(ccl4致肝毒性)和B组(庆大霉素致肾毒性)。将A、B臂分成17组,其中A臂9组,B臂8组(n=5)。每天给大鼠注射不同剂量(50、100和200 mg/kg BW)的山药提取物(NOE)(总提取物;A组和B组分别灌胃14天和28天。对血、肝、肾组织进行生化、组织病理学评价及基因表达分析。结果:NOE治疗可显著调节b细胞淋巴瘤蛋白2 (Bcl-2)-相关X (Bax)和b细胞淋巴瘤蛋白2 (Bcl-2)在肾组织中的表达,降低Bax (p)。结论:在动物模型中,我们的研究结果突出了NOE治疗CCl4和庆大霉素分别诱导的肝和肾损伤的前景。
本文章由计算机程序翻译,如有差异,请以英文原文为准。
求助全文
约1分钟内获得全文 求助全文
来源期刊
Avicenna Journal of Phytomedicine
Avicenna Journal of Phytomedicine CHEMISTRY, MEDICINAL-
CiteScore
3.40
自引率
4.50%
发文量
17
审稿时长
6 weeks
×
引用
GB/T 7714-2015
复制
MLA
复制
APA
复制
导出至
BibTeX EndNote RefMan NoteFirst NoteExpress
×
提示
您的信息不完整,为了账户安全,请先补充。
现在去补充
×
提示
您因"违规操作"
具体请查看互助需知
我知道了
×
提示
确定
请完成安全验证×
copy
已复制链接
快去分享给好友吧!
我知道了
右上角分享
点击右上角分享
0
联系我们:info@booksci.cn Book学术提供免费学术资源搜索服务,方便国内外学者检索中英文文献。致力于提供最便捷和优质的服务体验。 Copyright © 2023 布克学术 All rights reserved.
京ICP备2023020795号-1
ghs 京公网安备 11010802042870号
Book学术文献互助
Book学术文献互助群
群 号:604180095
Book学术官方微信