Potential of autophagy in subretinal fibrosis in neovascular age-related macular degeneration.

IF 10.2 1区 生物学 Q1 BIOCHEMISTRY & MOLECULAR BIOLOGY
Janusz Blasiak, Elzbieta Pawlowska, Hanna Helotera, Maksim Ionov, Marcin Derwich, Kai Kaarniranta
{"title":"Potential of autophagy in subretinal fibrosis in neovascular age-related macular degeneration.","authors":"Janusz Blasiak, Elzbieta Pawlowska, Hanna Helotera, Maksim Ionov, Marcin Derwich, Kai Kaarniranta","doi":"10.1186/s11658-025-00732-8","DOIUrl":null,"url":null,"abstract":"<p><p>Age-related macular degeneration (AMD) is an eye disease that can lead to legal blindness and vision loss. In its advanced stages, it is classified into dry and neovascular AMD. In neovascular AMD, the formation of new blood vessels disrupts the structure of the retina and induces an inflammatory response. Treatment for neovascular AMD involves antibodies and fusion proteins targeting vascular endothelial growth factor A (VEGFA) and its receptors to inhibit neovascularization and slow vision loss. However, a fraction of patients with neovascular AMD do not respond to therapy. Many of these patients exhibit a subretinal fibrotic scar. Thus, retinal fibrosis may contribute to resistance against anti-VEGFA therapy and the cause of irreversible vision loss in neovascular AMD patients. Retinal pigment epithelium cells, choroidal fibroblasts, and retinal glial cells are crucial in the development of the fibrotic scar as they can undergo a mesenchymal transition mediated by transforming growth factor beta and other molecules, leading to their transdifferentiation into myofibroblasts, which are key players in subretinal fibrosis. Autophagy, a process that removes cellular debris and contributes to the pathogenesis of AMD, regardless of its type, may be stimulated by epithelial-mesenchymal transition and later inhibited. The mesenchymal transition of retinal cells and the dysfunction of the extracellular matrix-the two main aspects of fibrotic scar formation-are associated with impaired autophagy. Nonetheless, the causal relationship between autophagy and subretinal fibrosis remains unknown. This narrative/perspective review presents information on neovascular AMD, subretinal fibrosis, and autophagy, arguing that impaired autophagy may be significant for fibrosis-related resistance to anti-VEGFA therapy in neovascular AMD.</p>","PeriodicalId":9688,"journal":{"name":"Cellular & Molecular Biology Letters","volume":"30 1","pages":"54"},"PeriodicalIF":10.2000,"publicationDate":"2025-04-30","publicationTypes":"Journal Article","fieldsOfStudy":null,"isOpenAccess":false,"openAccessPdf":"https://www.ncbi.nlm.nih.gov/pmc/articles/PMC12044759/pdf/","citationCount":"0","resultStr":null,"platform":"Semanticscholar","paperid":null,"PeriodicalName":"Cellular & Molecular Biology Letters","FirstCategoryId":"99","ListUrlMain":"https://doi.org/10.1186/s11658-025-00732-8","RegionNum":1,"RegionCategory":"生物学","ArticlePicture":[],"TitleCN":null,"AbstractTextCN":null,"PMCID":null,"EPubDate":"","PubModel":"","JCR":"Q1","JCRName":"BIOCHEMISTRY & MOLECULAR BIOLOGY","Score":null,"Total":0}
引用次数: 0

Abstract

Age-related macular degeneration (AMD) is an eye disease that can lead to legal blindness and vision loss. In its advanced stages, it is classified into dry and neovascular AMD. In neovascular AMD, the formation of new blood vessels disrupts the structure of the retina and induces an inflammatory response. Treatment for neovascular AMD involves antibodies and fusion proteins targeting vascular endothelial growth factor A (VEGFA) and its receptors to inhibit neovascularization and slow vision loss. However, a fraction of patients with neovascular AMD do not respond to therapy. Many of these patients exhibit a subretinal fibrotic scar. Thus, retinal fibrosis may contribute to resistance against anti-VEGFA therapy and the cause of irreversible vision loss in neovascular AMD patients. Retinal pigment epithelium cells, choroidal fibroblasts, and retinal glial cells are crucial in the development of the fibrotic scar as they can undergo a mesenchymal transition mediated by transforming growth factor beta and other molecules, leading to their transdifferentiation into myofibroblasts, which are key players in subretinal fibrosis. Autophagy, a process that removes cellular debris and contributes to the pathogenesis of AMD, regardless of its type, may be stimulated by epithelial-mesenchymal transition and later inhibited. The mesenchymal transition of retinal cells and the dysfunction of the extracellular matrix-the two main aspects of fibrotic scar formation-are associated with impaired autophagy. Nonetheless, the causal relationship between autophagy and subretinal fibrosis remains unknown. This narrative/perspective review presents information on neovascular AMD, subretinal fibrosis, and autophagy, arguing that impaired autophagy may be significant for fibrosis-related resistance to anti-VEGFA therapy in neovascular AMD.

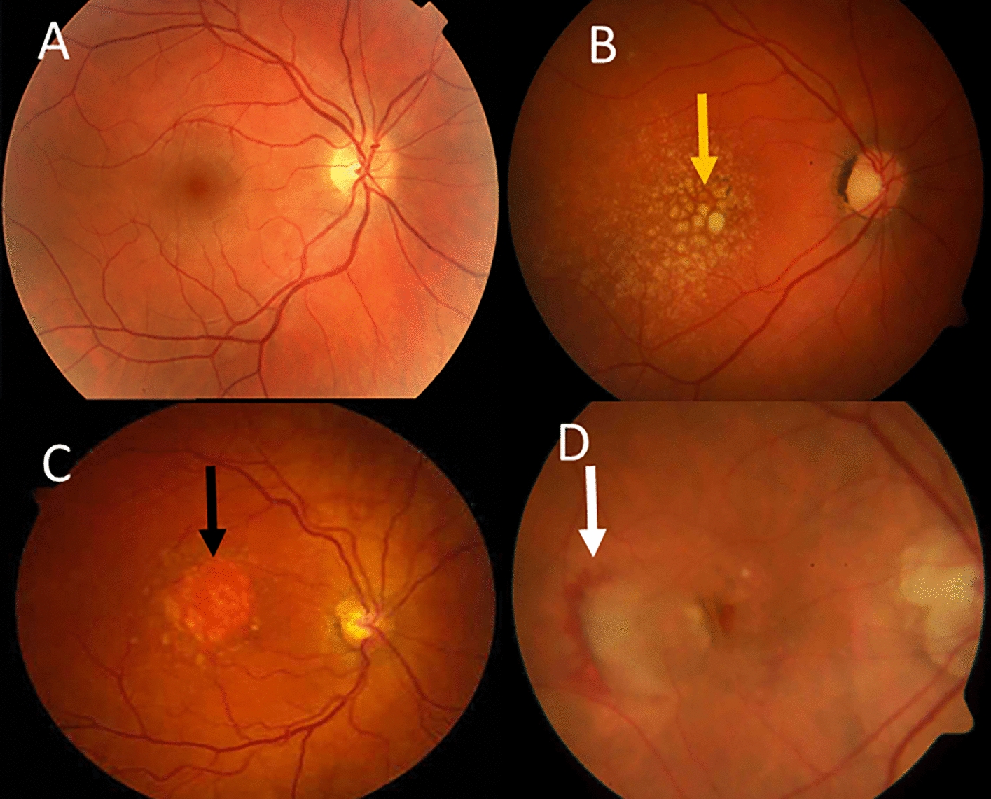
Abstract Image

Abstract Image

Abstract Image

自噬在新生血管性年龄相关性黄斑变性视网膜下纤维化中的潜在作用。
老年性黄斑变性(AMD)是一种可导致法定失明和视力丧失的眼部疾病。在其晚期,它分为干性AMD和新生血管性AMD。在新生血管性AMD中,新血管的形成会破坏视网膜的结构并诱发炎症反应。新血管性AMD的治疗涉及针对血管内皮生长因子A (VEGFA)及其受体的抗体和融合蛋白,以抑制新生血管和减缓视力丧失。然而,一小部分新生血管性AMD患者对治疗没有反应。许多患者表现为视网膜下纤维化疤痕。因此,视网膜纤维化可能有助于抵抗抗vegfa治疗,并导致新生血管性AMD患者不可逆的视力丧失。视网膜色素上皮细胞、脉络膜成纤维细胞和视网膜胶质细胞在纤维化瘢痕的发展中起着至关重要的作用,因为它们可以通过转化生长因子和其他分子介导的间质转变,导致它们转分化为肌成纤维细胞,而肌成纤维细胞是视网膜下纤维化的关键参与者。自噬是一种清除细胞碎片并参与AMD发病机制的过程,无论其类型如何,可通过上皮-间质转化刺激并随后抑制。视网膜细胞的间质转化和细胞外基质的功能障碍是纤维化瘢痕形成的两个主要方面,它们与自噬受损有关。尽管如此,自噬与视网膜下纤维化之间的因果关系尚不清楚。这篇叙述性/前瞻性综述介绍了有关新生血管性AMD、视网膜下纤维化和自噬的信息,认为自噬受损可能是新生血管性AMD患者抗vegfa治疗的纤维化相关耐药的重要因素。
本文章由计算机程序翻译,如有差异,请以英文原文为准。
求助全文
约1分钟内获得全文 求助全文
来源期刊
Cellular & Molecular Biology Letters
Cellular & Molecular Biology Letters 生物-生化与分子生物学
CiteScore
11.60
自引率
13.30%
发文量
101
审稿时长
3 months
期刊介绍: Cellular & Molecular Biology Letters is an international journal dedicated to the dissemination of fundamental knowledge in all areas of cellular and molecular biology, cancer cell biology, and certain aspects of biochemistry, biophysics and biotechnology.
×
引用
GB/T 7714-2015
复制
MLA
复制
APA
复制
导出至
BibTeX EndNote RefMan NoteFirst NoteExpress
×
提示
您的信息不完整,为了账户安全,请先补充。
现在去补充
×
提示
您因"违规操作"
具体请查看互助需知
我知道了
×
提示
确定
请完成安全验证×
copy
已复制链接
快去分享给好友吧!
我知道了
右上角分享
点击右上角分享
0
联系我们:info@booksci.cn Book学术提供免费学术资源搜索服务,方便国内外学者检索中英文文献。致力于提供最便捷和优质的服务体验。 Copyright © 2023 布克学术 All rights reserved.
京ICP备2023020795号-1
ghs 京公网安备 11010802042870号
Book学术文献互助
Book学术文献互助群
群 号:604180095
Book学术官方微信