Congenital tuberculosis (TB) use of second-line medication and therapeutic drug monitoring.

IF 0.2 Q4 OBSTETRICS & GYNECOLOGY
Case Reports in Perinatal Medicine Pub Date : 2024-05-31 eCollection Date: 2024-01-01 DOI:10.1515/crpm-2022-0019
Haram A Abdelmajid, Ghassan M A Mustafa, Antonia Fernandez, Susannah D Franco, Americo E Esquibies, Gloria B Valencia, Stephan A Kohlhoff
{"title":"Congenital tuberculosis (TB) use of second-line medication and therapeutic drug monitoring.","authors":"Haram A Abdelmajid, Ghassan M A Mustafa, Antonia Fernandez, Susannah D Franco, Americo E Esquibies, Gloria B Valencia, Stephan A Kohlhoff","doi":"10.1515/crpm-2022-0019","DOIUrl":null,"url":null,"abstract":"<p><strong>Objectives: </strong>Congenital tuberculosis (TB) is a rare complication of TB during pregnancy. Diagnosis and treatment are challenging, especially in premature infants due to limited data on drug dosing.</p><p><strong>Case presentation: </strong>A male infant was born at 33 weeks gestational age to a mother who was hospitalized with respiratory illness and diagnosed with TB after delivery. The diagnosis was based on the presence of granulomas and mycobacteria in the placenta, positive mycobacterium TB PCR in gastric aspirate, and growth of MTB from gastric aspirate and bronchoalveolar lavage cultures. Treatment started initially with isoniazid, rifampin, pyrazinamide, and ethambutol. The patient's clinical course was complicated with ongoing respiratory distress and abdominal distension which raise the possibilities of drug resistance, but sensitivity was confirmed by PCR, or malabsorption of the medications due to concerns of abdominal TB. Isoniazid and rifampin doses needed to be adjusted due to low serum drug levels. Ethambutol was replaced by Levofloxacin, due to concerns about drug toxicity and unreliable therapeutic levels, but still there was no clinical improvement which raised the possibility of paradoxical reaction to the treatment, so we started the patient on prednisone for one month and tapered over two weeks. From age two months the patient showed progressive improvement and has by now completed 12 months of therapy with good clinical outcome.</p><p><strong>Conclusions: </strong>Therapeutic drug monitoring is important for adjusting medication dosage in premature infants due to limited experience in this age group.</p>","PeriodicalId":9617,"journal":{"name":"Case Reports in Perinatal Medicine","volume":"13 1","pages":"20220019"},"PeriodicalIF":0.2000,"publicationDate":"2024-05-31","publicationTypes":"Journal Article","fieldsOfStudy":null,"isOpenAccess":false,"openAccessPdf":"https://www.ncbi.nlm.nih.gov/pmc/articles/PMC12048134/pdf/","citationCount":"0","resultStr":null,"platform":"Semanticscholar","paperid":null,"PeriodicalName":"Case Reports in Perinatal Medicine","FirstCategoryId":"1085","ListUrlMain":"https://doi.org/10.1515/crpm-2022-0019","RegionNum":0,"RegionCategory":null,"ArticlePicture":[],"TitleCN":null,"AbstractTextCN":null,"PMCID":null,"EPubDate":"2024/1/1 0:00:00","PubModel":"eCollection","JCR":"Q4","JCRName":"OBSTETRICS & GYNECOLOGY","Score":null,"Total":0}
引用次数: 0

Abstract

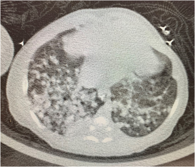
Objectives: Congenital tuberculosis (TB) is a rare complication of TB during pregnancy. Diagnosis and treatment are challenging, especially in premature infants due to limited data on drug dosing.

Case presentation: A male infant was born at 33 weeks gestational age to a mother who was hospitalized with respiratory illness and diagnosed with TB after delivery. The diagnosis was based on the presence of granulomas and mycobacteria in the placenta, positive mycobacterium TB PCR in gastric aspirate, and growth of MTB from gastric aspirate and bronchoalveolar lavage cultures. Treatment started initially with isoniazid, rifampin, pyrazinamide, and ethambutol. The patient's clinical course was complicated with ongoing respiratory distress and abdominal distension which raise the possibilities of drug resistance, but sensitivity was confirmed by PCR, or malabsorption of the medications due to concerns of abdominal TB. Isoniazid and rifampin doses needed to be adjusted due to low serum drug levels. Ethambutol was replaced by Levofloxacin, due to concerns about drug toxicity and unreliable therapeutic levels, but still there was no clinical improvement which raised the possibility of paradoxical reaction to the treatment, so we started the patient on prednisone for one month and tapered over two weeks. From age two months the patient showed progressive improvement and has by now completed 12 months of therapy with good clinical outcome.

Conclusions: Therapeutic drug monitoring is important for adjusting medication dosage in premature infants due to limited experience in this age group.

Abstract Image

Abstract Image

先天性肺结核(TB)使用二线药物及治疗药物监测。
目的:先天性结核(TB)是一种罕见的妊娠期结核病并发症。由于药物剂量数据有限,诊断和治疗具有挑战性,特别是早产儿。病例介绍:一位因呼吸道疾病住院并在分娩后被诊断为结核病的母亲在孕周33周时产下一名男婴。诊断基于胎盘中肉芽肿和分枝杆菌的存在,胃吸液中结核分枝杆菌PCR阳性,胃吸液和支气管肺泡灌洗液培养中结核分枝杆菌的生长。治疗开始时使用异烟肼、利福平、吡嗪酰胺和乙胺丁醇。患者的临床过程伴有持续的呼吸窘迫和腹胀,这增加了耐药的可能性,但通过PCR证实了敏感性,或者由于担心腹部结核而导致药物吸收不良。由于血清药物水平较低,异烟肼和利福平的剂量需要调整。由于担心药物毒性和治疗水平不可靠,我们用左氧氟沙星代替乙胺丁醇,但仍无临床改善,这增加了对治疗的矛盾反应的可能性,因此我们开始给患者使用强的松一个月,两周后逐渐减少。从2个月大开始,患者表现出进行性改善,到目前为止已经完成了12个月的治疗,临床结果良好。结论:由于早产儿用药经验有限,治疗性药物监测对调整用药剂量具有重要意义。
本文章由计算机程序翻译,如有差异,请以英文原文为准。
求助全文
约1分钟内获得全文 求助全文
来源期刊
Case Reports in Perinatal Medicine
Case Reports in Perinatal Medicine OBSTETRICS & GYNECOLOGY-
自引率
0.00%
发文量
37
期刊介绍: Case Reports in Perinatal Medicine is a double-blind peer-reviewed journal. The objective of the new journal is very similar to that of JPM. In addition to evidence-based studies, practitioners in clinical practice esteem especially exemplary reports of cases that reveal specific manifestations of diseases, its progress or its treatment. We consider case reports and series to be brief reports describing an isolated clinical case or a small number of cases. They may describe new or uncommon diagnoses, unusual outcomes or prognosis, new or infrequently used therapies and side effects of therapy not usually discovered in clinical trials. They represent the basic concept of experiences for studies on representative groups for further evidence-based research. The potential roles of case reports and case series are: Recognition and description of new diseases Detection of drug side effects (adverse or beneficial) Study of mechanisms of disease Medical education and audit Recognition of rare manifestations of disease.
×
引用
GB/T 7714-2015
复制
MLA
复制
APA
复制
导出至
BibTeX EndNote RefMan NoteFirst NoteExpress
×
提示
您的信息不完整,为了账户安全,请先补充。
现在去补充
×
提示
您因"违规操作"
具体请查看互助需知
我知道了
×
提示
确定
请完成安全验证×
copy
已复制链接
快去分享给好友吧!
我知道了
右上角分享
点击右上角分享
0
联系我们:info@booksci.cn Book学术提供免费学术资源搜索服务,方便国内外学者检索中英文文献。致力于提供最便捷和优质的服务体验。 Copyright © 2023 布克学术 All rights reserved.
京ICP备2023020795号-1
ghs 京公网安备 11010802042870号
Book学术文献互助
Book学术文献互助群
群 号:604180095
Book学术官方微信