Novel Presentation of Sturge-Weber Syndrome in a Boy With a Port-Wine Birthmark.

IF 0.5 Q4 PEDIATRICS
Case Reports in Pediatrics Pub Date : 2025-04-25 eCollection Date: 2025-01-01 DOI:10.1155/crpe/6665247
Barbara Anna Folga, Ramzan Shahid
{"title":"Novel Presentation of Sturge-Weber Syndrome in a Boy With a Port-Wine Birthmark.","authors":"Barbara Anna Folga, Ramzan Shahid","doi":"10.1155/crpe/6665247","DOIUrl":null,"url":null,"abstract":"<p><p>Sturge-Weber Syndrome (SWS), also called encephalotrigeminal angiomatosis, is a rare congenital neurological condition classified by the hallmark findings of a port-wine birthmark, leptomeningeal angiomas, and glaucoma. Here, we present a case of a two-year-old patient with a history of a left-sided port-wine birthmark involving the V1-V2 dermatomes who re-presented to the emergency department with focal right-sided seizure-like activity in the setting of a recent head trauma. The patient was admitted for further workup, where video electroencephalography demonstrated the presence of electrographic seizures developing from the left posterior quadrant, with continuous focal slowing over the left hemisphere, and with magnetic resonance venography revealing findings concerning for a pial angiomatosis. This finding, coupled to new-onset seizure-like activity in a patient with a port-wine birthmark, supported a diagnosis of SWS. He was started on an antiepileptic drug regimen with resolution of seizure-like activity while inpatient and his subsequent care was transferred to a specialized clinic designed to manage patients with SWS. Most patients diagnosed with SWS exhibit seizure-like activity, often presenting as infantile spasms, within the first year of life; our patient, on the other hand, began to exhibit focal seizures following a traumatic event and was later found to harbor findings consistent with SWS. Overall, this case highlights the role of a multidisciplinary team in the management of patients with SWS and demonstrates the importance of routine follow-up testing, imaging, and subspecialty care for these patients.</p>","PeriodicalId":9623,"journal":{"name":"Case Reports in Pediatrics","volume":"2025 ","pages":"6665247"},"PeriodicalIF":0.5000,"publicationDate":"2025-04-25","publicationTypes":"Journal Article","fieldsOfStudy":null,"isOpenAccess":false,"openAccessPdf":"https://www.ncbi.nlm.nih.gov/pmc/articles/PMC12048183/pdf/","citationCount":"0","resultStr":null,"platform":"Semanticscholar","paperid":null,"PeriodicalName":"Case Reports in Pediatrics","FirstCategoryId":"1085","ListUrlMain":"https://doi.org/10.1155/crpe/6665247","RegionNum":0,"RegionCategory":null,"ArticlePicture":[],"TitleCN":null,"AbstractTextCN":null,"PMCID":null,"EPubDate":"2025/1/1 0:00:00","PubModel":"eCollection","JCR":"Q4","JCRName":"PEDIATRICS","Score":null,"Total":0}
引用次数: 0

Abstract

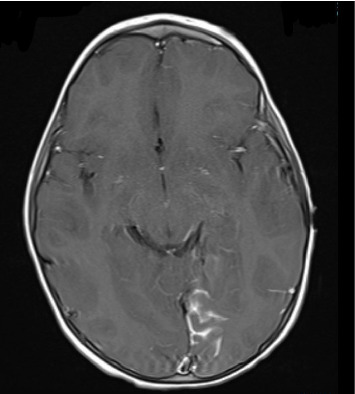
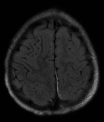
Sturge-Weber Syndrome (SWS), also called encephalotrigeminal angiomatosis, is a rare congenital neurological condition classified by the hallmark findings of a port-wine birthmark, leptomeningeal angiomas, and glaucoma. Here, we present a case of a two-year-old patient with a history of a left-sided port-wine birthmark involving the V1-V2 dermatomes who re-presented to the emergency department with focal right-sided seizure-like activity in the setting of a recent head trauma. The patient was admitted for further workup, where video electroencephalography demonstrated the presence of electrographic seizures developing from the left posterior quadrant, with continuous focal slowing over the left hemisphere, and with magnetic resonance venography revealing findings concerning for a pial angiomatosis. This finding, coupled to new-onset seizure-like activity in a patient with a port-wine birthmark, supported a diagnosis of SWS. He was started on an antiepileptic drug regimen with resolution of seizure-like activity while inpatient and his subsequent care was transferred to a specialized clinic designed to manage patients with SWS. Most patients diagnosed with SWS exhibit seizure-like activity, often presenting as infantile spasms, within the first year of life; our patient, on the other hand, began to exhibit focal seizures following a traumatic event and was later found to harbor findings consistent with SWS. Overall, this case highlights the role of a multidisciplinary team in the management of patients with SWS and demonstrates the importance of routine follow-up testing, imaging, and subspecialty care for these patients.

Abstract Image

Abstract Image

Abstract Image

一个有波特酒胎记的男孩的斯特奇-韦伯综合征的新表现。
斯特奇-韦伯综合征(SWS),也称为脑三叉神经血管瘤病,是一种罕见的先天性神经系统疾病,其特征是葡萄酒胎记、脑膜血管瘤和青光眼。在这里,我们提出了一个两岁的病人,他有一个涉及V1-V2皮节的左侧葡萄酒胎记的历史,他在最近的头部创伤中再次出现在急诊科,伴有局灶性右侧癫痫样活动。患者入院接受进一步检查,视频脑电图显示左后象限出现癫痫发作,左半球持续病灶减慢,磁共振静脉造影显示颅底血管瘤病。这一发现,再加上一名葡萄酒胎记患者的新发作癫痫样活动,支持了SWS的诊断。在住院期间,他开始服用抗癫痫药物治疗,癫痫样活动得到缓解,随后他的治疗被转移到专门管理SWS患者的诊所。大多数被诊断为SWS的患者表现出癫痫样活动,通常表现为婴儿痉挛,在生命的第一年;另一方面,我们的病人在创伤事件后开始出现局灶性癫痫发作,后来发现有与SWS一致的症状。总之,本病例强调了多学科团队在SWS患者管理中的作用,并证明了常规随访检查、影像学检查和亚专科护理对这些患者的重要性。
本文章由计算机程序翻译,如有差异,请以英文原文为准。
求助全文
约1分钟内获得全文 求助全文
来源期刊
自引率
11.10%
发文量
48
审稿时长
13 weeks
×
引用
GB/T 7714-2015
复制
MLA
复制
APA
复制
导出至
BibTeX EndNote RefMan NoteFirst NoteExpress
×
提示
您的信息不完整,为了账户安全,请先补充。
现在去补充
×
提示
您因"违规操作"
具体请查看互助需知
我知道了
×
提示
确定
请完成安全验证×
copy
已复制链接
快去分享给好友吧!
我知道了
右上角分享
点击右上角分享
0
联系我们:info@booksci.cn Book学术提供免费学术资源搜索服务,方便国内外学者检索中英文文献。致力于提供最便捷和优质的服务体验。 Copyright © 2023 布克学术 All rights reserved.
京ICP备2023020795号-1
ghs 京公网安备 11010802042870号
Book学术文献互助
Book学术文献互助群
群 号:604180095
Book学术官方微信