A Rare Presentation of Urethral Duplication in Conjunction With Anorectal Malformation Observed in a Male Infant.

IF 0.5 Q4 PEDIATRICS
Case Reports in Pediatrics Pub Date : 2025-04-23 eCollection Date: 2025-01-01 DOI:10.1155/crpe/4725606
Dinesh V Hinge, Rajendra Saoji, Kiran Khedekar, Amar Taksande
{"title":"A Rare Presentation of Urethral Duplication in Conjunction With Anorectal Malformation Observed in a Male Infant.","authors":"Dinesh V Hinge, Rajendra Saoji, Kiran Khedekar, Amar Taksande","doi":"10.1155/crpe/4725606","DOIUrl":null,"url":null,"abstract":"<p><p>Anorectal malformation (ARM) refers to a group of congenital anomalies that affect the anus, rectum, and sometimes the urinary and reproductive tracts. A full-term male newborn was diagnosed with ARM and rectoperineal (scrotal) fistula during a first clinical screening examination at birth. He also had urethral duplication on the micturating cystourethrogram (MCUG) scan performed on Day 2 of life. The child underwent transverse colostomy at 24 h of life and corrective surgery (posterior sagittal anorectoplasty and urethroplasty) at 6 months of life, followed by colostomy closure after 3 months. This case highlights the importance of the first newborn clinical screening examination to rule out major congenital malformation and the thorough evaluation for associated urogenital defects in the case of ARM before definitive corrective surgeries for better clinical outcomes.</p>","PeriodicalId":9623,"journal":{"name":"Case Reports in Pediatrics","volume":"2025 ","pages":"4725606"},"PeriodicalIF":0.5000,"publicationDate":"2025-04-23","publicationTypes":"Journal Article","fieldsOfStudy":null,"isOpenAccess":false,"openAccessPdf":"https://www.ncbi.nlm.nih.gov/pmc/articles/PMC12043384/pdf/","citationCount":"0","resultStr":null,"platform":"Semanticscholar","paperid":null,"PeriodicalName":"Case Reports in Pediatrics","FirstCategoryId":"1085","ListUrlMain":"https://doi.org/10.1155/crpe/4725606","RegionNum":0,"RegionCategory":null,"ArticlePicture":[],"TitleCN":null,"AbstractTextCN":null,"PMCID":null,"EPubDate":"2025/1/1 0:00:00","PubModel":"eCollection","JCR":"Q4","JCRName":"PEDIATRICS","Score":null,"Total":0}
引用次数: 0

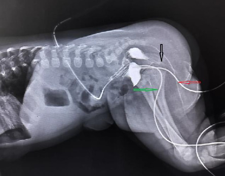
Abstract

Anorectal malformation (ARM) refers to a group of congenital anomalies that affect the anus, rectum, and sometimes the urinary and reproductive tracts. A full-term male newborn was diagnosed with ARM and rectoperineal (scrotal) fistula during a first clinical screening examination at birth. He also had urethral duplication on the micturating cystourethrogram (MCUG) scan performed on Day 2 of life. The child underwent transverse colostomy at 24 h of life and corrective surgery (posterior sagittal anorectoplasty and urethroplasty) at 6 months of life, followed by colostomy closure after 3 months. This case highlights the importance of the first newborn clinical screening examination to rule out major congenital malformation and the thorough evaluation for associated urogenital defects in the case of ARM before definitive corrective surgeries for better clinical outcomes.

Abstract Image

Abstract Image

Abstract Image

一例罕见的男婴尿道重复并肛门直肠畸形。
肛肠畸形(ARM)是指一组影响肛门、直肠,有时也影响泌尿道和生殖道的先天性异常。一个足月男婴在出生时的第一次临床筛查检查中被诊断为ARM和直肠会阴(阴囊)瘘。在出生第2天进行的排尿膀胱尿道造影(MCUG)扫描中,他也有尿道重复。该患儿在出生后24小时接受了横断面结肠造口术,6个月时进行了矫正手术(后矢状肛门直肠成形术和尿道成形术),3个月后进行了结肠造口术。该病例强调了首次新生儿临床筛查检查的重要性,以排除主要先天性畸形,并在确定矫正手术前彻底评估相关的泌尿生殖缺陷,以获得更好的临床结果。
本文章由计算机程序翻译,如有差异,请以英文原文为准。
求助全文
约1分钟内获得全文 求助全文
来源期刊
自引率
11.10%
发文量
48
审稿时长
13 weeks
×
引用
GB/T 7714-2015
复制
MLA
复制
APA
复制
导出至
BibTeX EndNote RefMan NoteFirst NoteExpress
×
提示
您的信息不完整,为了账户安全,请先补充。
现在去补充
×
提示
您因"违规操作"
具体请查看互助需知
我知道了
×
提示
确定
请完成安全验证×
copy
已复制链接
快去分享给好友吧!
我知道了
右上角分享
点击右上角分享
0
联系我们:info@booksci.cn Book学术提供免费学术资源搜索服务,方便国内外学者检索中英文文献。致力于提供最便捷和优质的服务体验。 Copyright © 2023 布克学术 All rights reserved.
京ICP备2023020795号-1
ghs 京公网安备 11010802042870号
Book学术文献互助
Book学术文献互助群
群 号:604180095
Book学术官方微信