The Hidden Threat: Chronic Urinary Retention and Thromboembolism in Underlying May-Thurner Syndrome.

Case Reports in Vascular Medicine Pub Date : 2025-03-06 eCollection Date: 2025-01-01 DOI:10.1155/crvm/1579198
Tanner M Dunn, Clint A Hayes
{"title":"The Hidden Threat: Chronic Urinary Retention and Thromboembolism in Underlying May-Thurner Syndrome.","authors":"Tanner M Dunn, Clint A Hayes","doi":"10.1155/crvm/1579198","DOIUrl":null,"url":null,"abstract":"<p><p>May-Thurner syndrome (MTS) is characterized by the formation of an intravenous scar or venous \"spur\" resulting from chronic pulsatile compression of the left common iliac vein (LCIV) by the right common iliac artery (RCIA) against the fourth or fifth lumbar vertebral body. This pulsatile compression creates a flow-limiting stenosis of the LCIV, leading to increased intravenous pressure in the veins draining the left lower extremity (LLE). Consequently, this elevated venous pressure manifests as a spectrum of chronic symptoms including unilateral LLE edema, pain, tenderness, warmth, skin inflammation, and discoloration, along with pelvic symptoms such as sensation of fullness and dyspareunia. Furthermore, MTS significantly elevates the risk of venous thromboembolism characterized by LCIV deep vein thrombosis (DVT) and potentially fatal pulmonary embolism (PE). Treatment options for MTS range from anticoagulant therapy to, in severe cases, operative intervention. Herein, we present a case of a 79-year-old male with MTS who experienced a near-fatal DVT that led to PE, compounded by a chronically distended urinary bladder, necessitating immediate operative removal of the PE.</p>","PeriodicalId":9632,"journal":{"name":"Case Reports in Vascular Medicine","volume":"2025 ","pages":"1579198"},"PeriodicalIF":0.0000,"publicationDate":"2025-03-06","publicationTypes":"Journal Article","fieldsOfStudy":null,"isOpenAccess":false,"openAccessPdf":"https://www.ncbi.nlm.nih.gov/pmc/articles/PMC11991762/pdf/","citationCount":"0","resultStr":null,"platform":"Semanticscholar","paperid":null,"PeriodicalName":"Case Reports in Vascular Medicine","FirstCategoryId":"1085","ListUrlMain":"https://doi.org/10.1155/crvm/1579198","RegionNum":0,"RegionCategory":null,"ArticlePicture":[],"TitleCN":null,"AbstractTextCN":null,"PMCID":null,"EPubDate":"2025/1/1 0:00:00","PubModel":"eCollection","JCR":"","JCRName":"","Score":null,"Total":0}
引用次数: 0

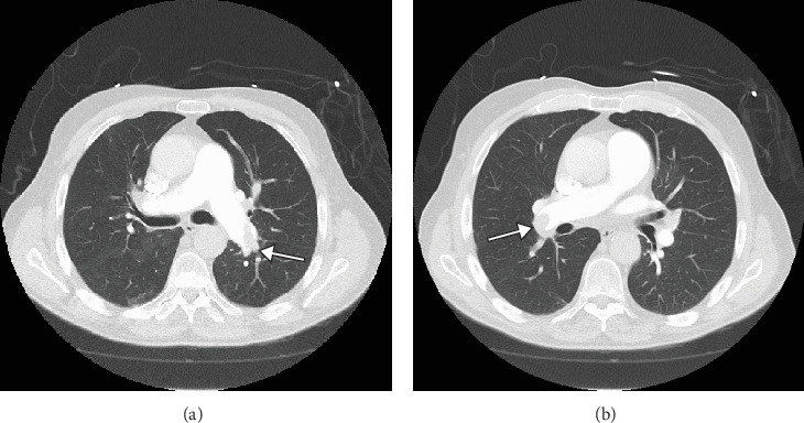
Abstract

May-Thurner syndrome (MTS) is characterized by the formation of an intravenous scar or venous "spur" resulting from chronic pulsatile compression of the left common iliac vein (LCIV) by the right common iliac artery (RCIA) against the fourth or fifth lumbar vertebral body. This pulsatile compression creates a flow-limiting stenosis of the LCIV, leading to increased intravenous pressure in the veins draining the left lower extremity (LLE). Consequently, this elevated venous pressure manifests as a spectrum of chronic symptoms including unilateral LLE edema, pain, tenderness, warmth, skin inflammation, and discoloration, along with pelvic symptoms such as sensation of fullness and dyspareunia. Furthermore, MTS significantly elevates the risk of venous thromboembolism characterized by LCIV deep vein thrombosis (DVT) and potentially fatal pulmonary embolism (PE). Treatment options for MTS range from anticoagulant therapy to, in severe cases, operative intervention. Herein, we present a case of a 79-year-old male with MTS who experienced a near-fatal DVT that led to PE, compounded by a chronically distended urinary bladder, necessitating immediate operative removal of the PE.

Abstract Image

Abstract Image

Abstract Image

潜在的威胁:慢性尿潴留和血栓栓塞在潜在的梅-特纳综合征。
May-Thurner综合征(MTS)的特征是由于右髂总动脉(RCIA)对第四或第五腰椎椎体的左髂总静脉(LCIV)的慢性搏动性压迫而形成静脉内疤痕或静脉“刺”。这种搏动性压迫造成LCIV的限流狭窄,导致左下肢静脉(LLE)静脉内压力增加。因此,静脉压升高表现为一系列慢性症状,包括单侧LLE水肿、疼痛、压痛、发热、皮肤炎症和变色,以及盆腔症状,如饱腹感和性交困难。此外,MTS显著增加以LCIV深静脉血栓形成(DVT)和潜在致命性肺栓塞(PE)为特征的静脉血栓栓塞的风险。MTS的治疗选择范围从抗凝治疗到严重情况下的手术干预。在此,我们报告了一例79岁男性MTS患者,他经历了几乎致命的DVT,导致PE,并伴有慢性膀胱膨胀,需要立即手术切除PE。
本文章由计算机程序翻译,如有差异,请以英文原文为准。
求助全文
约1分钟内获得全文 求助全文
来源期刊
自引率
0.00%
发文量
21
审稿时长
15 weeks
×
引用
GB/T 7714-2015
复制
MLA
复制
APA
复制
导出至
BibTeX EndNote RefMan NoteFirst NoteExpress
×
提示
您的信息不完整,为了账户安全,请先补充。
现在去补充
×
提示
您因"违规操作"
具体请查看互助需知
我知道了
×
提示
确定
请完成安全验证×
copy
已复制链接
快去分享给好友吧!
我知道了
右上角分享
点击右上角分享
0
联系我们:info@booksci.cn Book学术提供免费学术资源搜索服务,方便国内外学者检索中英文文献。致力于提供最便捷和优质的服务体验。 Copyright © 2023 布克学术 All rights reserved.
京ICP备2023020795号-1
ghs 京公网安备 11010802042870号
Book学术文献互助
Book学术文献互助群
群 号:604180095
Book学术官方微信