The protective properties of resveratrol against glycerol-induced acute kidney injury in rats.

IF 2.2 Q3 CHEMISTRY, MEDICINAL
Mohammadreza Baghishani, Soghra Mehri, Tahereh Aminifard, Amirhossein Jafarian, Hossein Hosseinzadeh
{"title":"The protective properties of resveratrol against glycerol-induced acute kidney injury in rats.","authors":"Mohammadreza Baghishani, Soghra Mehri, Tahereh Aminifard, Amirhossein Jafarian, Hossein Hosseinzadeh","doi":"10.22038/AJP.2024.24649","DOIUrl":null,"url":null,"abstract":"<p><strong>Objective: </strong>After rhabdomyolysis, muscle tissue releases substances such as myoglobin, creatine kinase, and electrolytes into the bloodstream, potentially leading to acute kidney injury (AKI). Resveratrol (RSV) is a polyphenol compound with anti-inflammatory and antioxidant effects and it is found in various plants. This research evaluated the protective effects of RSV in rhabdomyolysis-induced AKI in rat kidneys.</p><p><strong>Materials and methods: </strong>Thirty-six male Wistar rats were randomly assigned to six groups (n=6): 1) control (normal saline), 2) glycerol only (10 ml/kg, intramuscular), 3, 4, and 5) glycerol +RSV (5, 10, and 25 mg/kg, intraperitoneal injection) and 6) RSV (25 mg/kg). After 4 days, pathological alterations and the level of blood urea nitrogen (BUN) and serum creatinine were determined. Malondialdehyde (MDA), glutathione (GSH), neutrophil gelatinase-associated lipocalin (NGAL), and tumor necrosis factor-α (TNF-α) proteins were investigated in rat kidneys.</p><p><strong>Results: </strong>Injection of 50% glycerol (10 ml/kg, IM) resulted in pathological lesions, elevated levels of MDA (p<0.001), BUN (p<0.01), serum creatinine (p<0.001), TNF-α (p<0.01), and NGAL protein (p<0.001), and decreased GSH content (p<0.001) compared to the control animals. These findings indicated AKI induced by rhabdomyolysis. RSV (25 mg/kg) administration significantly decreased serum creatinine, BUN, MDA, NGAL, and TNF-α levels compared to the glycerol group. Histopathologically, tubule necrosis, myoglobin cast formation and glomerular atrophy increased in the glycerol group and reduced in animals that received RSV.</p><p><strong>Conclusion: </strong>In the glycerol-induced AKI rat model, RSV administration alleviated renal dysfunction by reducing oxidative stress and inflammatory responses.</p>","PeriodicalId":8677,"journal":{"name":"Avicenna Journal of Phytomedicine","volume":"15 1","pages":"860-873"},"PeriodicalIF":2.2000,"publicationDate":"2025-01-01","publicationTypes":"Journal Article","fieldsOfStudy":null,"isOpenAccess":false,"openAccessPdf":"https://www.ncbi.nlm.nih.gov/pmc/articles/PMC12013969/pdf/","citationCount":"0","resultStr":null,"platform":"Semanticscholar","paperid":null,"PeriodicalName":"Avicenna Journal of Phytomedicine","FirstCategoryId":"1085","ListUrlMain":"https://doi.org/10.22038/AJP.2024.24649","RegionNum":0,"RegionCategory":null,"ArticlePicture":[],"TitleCN":null,"AbstractTextCN":null,"PMCID":null,"EPubDate":"","PubModel":"","JCR":"Q3","JCRName":"CHEMISTRY, MEDICINAL","Score":null,"Total":0}
引用次数: 0

Abstract

Objective: After rhabdomyolysis, muscle tissue releases substances such as myoglobin, creatine kinase, and electrolytes into the bloodstream, potentially leading to acute kidney injury (AKI). Resveratrol (RSV) is a polyphenol compound with anti-inflammatory and antioxidant effects and it is found in various plants. This research evaluated the protective effects of RSV in rhabdomyolysis-induced AKI in rat kidneys.

Materials and methods: Thirty-six male Wistar rats were randomly assigned to six groups (n=6): 1) control (normal saline), 2) glycerol only (10 ml/kg, intramuscular), 3, 4, and 5) glycerol +RSV (5, 10, and 25 mg/kg, intraperitoneal injection) and 6) RSV (25 mg/kg). After 4 days, pathological alterations and the level of blood urea nitrogen (BUN) and serum creatinine were determined. Malondialdehyde (MDA), glutathione (GSH), neutrophil gelatinase-associated lipocalin (NGAL), and tumor necrosis factor-α (TNF-α) proteins were investigated in rat kidneys.

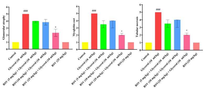
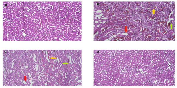
Results: Injection of 50% glycerol (10 ml/kg, IM) resulted in pathological lesions, elevated levels of MDA (p<0.001), BUN (p<0.01), serum creatinine (p<0.001), TNF-α (p<0.01), and NGAL protein (p<0.001), and decreased GSH content (p<0.001) compared to the control animals. These findings indicated AKI induced by rhabdomyolysis. RSV (25 mg/kg) administration significantly decreased serum creatinine, BUN, MDA, NGAL, and TNF-α levels compared to the glycerol group. Histopathologically, tubule necrosis, myoglobin cast formation and glomerular atrophy increased in the glycerol group and reduced in animals that received RSV.

Conclusion: In the glycerol-induced AKI rat model, RSV administration alleviated renal dysfunction by reducing oxidative stress and inflammatory responses.

Abstract Image

Abstract Image

Abstract Image

白藜芦醇对甘油致大鼠急性肾损伤的保护作用。
目的:横纹肌溶解后,肌肉组织释放肌红蛋白、肌酸激酶和电解质等物质进入血液,可能导致急性肾损伤(AKI)。白藜芦醇(Resveratrol, RSV)是一种具有抗炎和抗氧化作用的多酚化合物,存在于多种植物中。本研究评估RSV对横纹肌溶解所致大鼠肾AKI的保护作用。材料与方法:36只雄性Wistar大鼠随机分为6组(n=6): 1)对照组(生理盐水),2)纯甘油组(10 ml/kg,肌注),3、4、5)甘油+RSV(5、10、25 mg/kg,腹腔注射),6)RSV (25 mg/kg)。4 d后检测病理改变及血尿素氮(BUN)、血清肌酐水平。研究了大鼠肾脏中丙二醛(MDA)、谷胱甘肽(GSH)、中性粒细胞明胶酶相关脂钙素(NGAL)和肿瘤坏死因子-α (TNF-α)蛋白的含量。结果:注射50%甘油(10 ml/kg, IM)可引起肾脏病理病变,MDA水平升高(p)。结论:在甘油诱导的AKI大鼠模型中,RSV给药可通过降低氧化应激和炎症反应来减轻肾功能障碍。
本文章由计算机程序翻译,如有差异,请以英文原文为准。
求助全文
约1分钟内获得全文 求助全文
来源期刊
Avicenna Journal of Phytomedicine
Avicenna Journal of Phytomedicine CHEMISTRY, MEDICINAL-
CiteScore
3.40
自引率
4.50%
发文量
17
审稿时长
6 weeks
×
引用
GB/T 7714-2015
复制
MLA
复制
APA
复制
导出至
BibTeX EndNote RefMan NoteFirst NoteExpress
×
提示
您的信息不完整,为了账户安全,请先补充。
现在去补充
×
提示
您因"违规操作"
具体请查看互助需知
我知道了
×
提示
确定
请完成安全验证×
copy
已复制链接
快去分享给好友吧!
我知道了
右上角分享
点击右上角分享
0
联系我们:info@booksci.cn Book学术提供免费学术资源搜索服务,方便国内外学者检索中英文文献。致力于提供最便捷和优质的服务体验。 Copyright © 2023 布克学术 All rights reserved.
京ICP备2023020795号-1
ghs 京公网安备 11010802042870号
Book学术文献互助
Book学术文献互助群
群 号:604180095
Book学术官方微信