Autoimmune hepatitis: clinicopathological characteristics and histopathological diagnosis in the light of current views.

IF 1.7 Q3 GASTROENTEROLOGY & HEPATOLOGY
Clinical and Experimental Hepatology Pub Date : 2025-03-01 Epub Date: 2025-03-31 DOI:10.5114/ceh.2025.148233
Ewa Iżycka-Świeszewska, Natalia Walkusz, Piotr Zieliński, Katarzyna Sikorska
{"title":"Autoimmune hepatitis: clinicopathological characteristics and histopathological diagnosis in the light of current views.","authors":"Ewa Iżycka-Świeszewska, Natalia Walkusz, Piotr Zieliński, Katarzyna Sikorska","doi":"10.5114/ceh.2025.148233","DOIUrl":null,"url":null,"abstract":"<p><p>The diagnosis of autoimmune hepatitis (AIH) is based on clinical criteria and histopathological findings. Interpretation of lesions observed in liver biopsy specimens, in cases of suspected AIH, requires correlation with clinical data and communication between hepatologists and pathologists. The diagnostic criteria have been modified over the years, and the latest guidelines were proposed in 2022. Implementation of the current recommendations improves diagnostic accuracy for autoimmune hepatitis and related pathologies. This article presents the clinicopathological characteristics of AIH and an overview of the histopathological diagnostic approach in the light of the modern guidelines.</p>","PeriodicalId":10281,"journal":{"name":"Clinical and Experimental Hepatology","volume":"11 1","pages":"14-24"},"PeriodicalIF":1.7000,"publicationDate":"2025-03-01","publicationTypes":"Journal Article","fieldsOfStudy":null,"isOpenAccess":false,"openAccessPdf":"https://www.ncbi.nlm.nih.gov/pmc/articles/PMC12035706/pdf/","citationCount":"0","resultStr":null,"platform":"Semanticscholar","paperid":null,"PeriodicalName":"Clinical and Experimental Hepatology","FirstCategoryId":"1085","ListUrlMain":"https://doi.org/10.5114/ceh.2025.148233","RegionNum":0,"RegionCategory":null,"ArticlePicture":[],"TitleCN":null,"AbstractTextCN":null,"PMCID":null,"EPubDate":"2025/3/31 0:00:00","PubModel":"Epub","JCR":"Q3","JCRName":"GASTROENTEROLOGY & HEPATOLOGY","Score":null,"Total":0}
引用次数: 0

Abstract

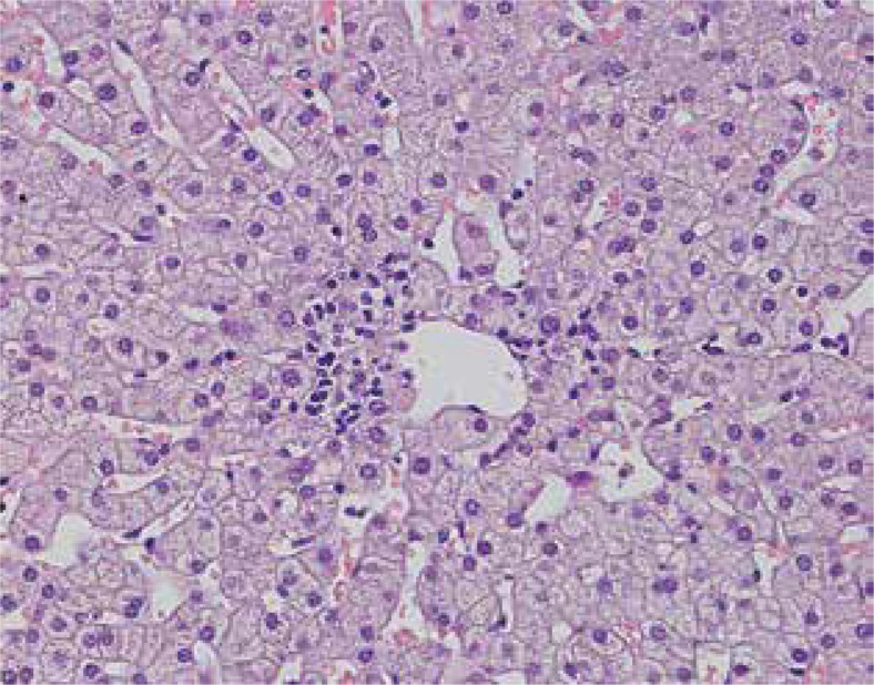
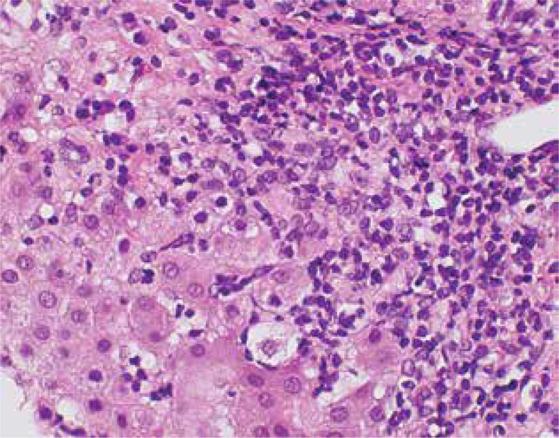
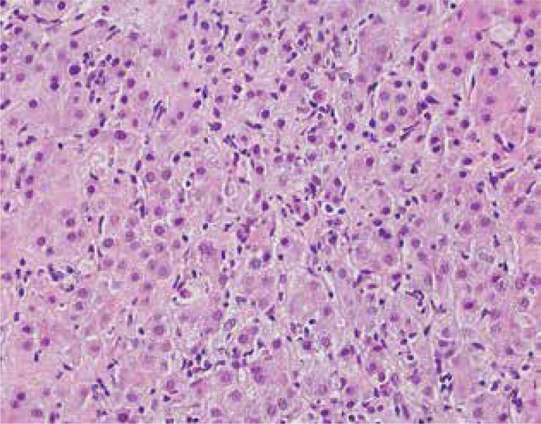
The diagnosis of autoimmune hepatitis (AIH) is based on clinical criteria and histopathological findings. Interpretation of lesions observed in liver biopsy specimens, in cases of suspected AIH, requires correlation with clinical data and communication between hepatologists and pathologists. The diagnostic criteria have been modified over the years, and the latest guidelines were proposed in 2022. Implementation of the current recommendations improves diagnostic accuracy for autoimmune hepatitis and related pathologies. This article presents the clinicopathological characteristics of AIH and an overview of the histopathological diagnostic approach in the light of the modern guidelines.

Abstract Image

Abstract Image

Abstract Image

自身免疫性肝炎的临床病理特点及组织病理学诊断
自身免疫性肝炎(AIH)的诊断是基于临床标准和组织病理学结果。在疑似AIH的病例中,对肝活检标本中观察到的病变的解释需要与临床资料相关联,并需要肝病学家和病理学家之间的沟通。诊断标准多年来一直在修改,最新的指南是在2022年提出的。目前建议的实施提高了自身免疫性肝炎和相关病理的诊断准确性。本文介绍了AIH的临床病理特征,并概述了现代指南下的组织病理学诊断方法。
本文章由计算机程序翻译,如有差异,请以英文原文为准。
求助全文
约1分钟内获得全文 求助全文
来源期刊
Clinical and Experimental Hepatology
Clinical and Experimental Hepatology GASTROENTEROLOGY & HEPATOLOGY-
CiteScore
2.80
自引率
0.00%
发文量
32
期刊介绍: Clinical and Experimental Hepatology – quarterly of the Polish Association for Study of Liver – is a scientific and educational, peer-reviewed journal publishing original and review papers describing clinical and basic investigations in the field of hepatology.
×
引用
GB/T 7714-2015
复制
MLA
复制
APA
复制
导出至
BibTeX EndNote RefMan NoteFirst NoteExpress
×
提示
您的信息不完整,为了账户安全,请先补充。
现在去补充
×
提示
您因"违规操作"
具体请查看互助需知
我知道了
×
提示
确定
请完成安全验证×
copy
已复制链接
快去分享给好友吧!
我知道了
右上角分享
点击右上角分享
0
联系我们:info@booksci.cn Book学术提供免费学术资源搜索服务,方便国内外学者检索中英文文献。致力于提供最便捷和优质的服务体验。 Copyright © 2023 布克学术 All rights reserved.
京ICP备2023020795号-1
ghs 京公网安备 11010802042870号
Book学术文献互助
Book学术文献互助群
群 号:604180095
Book学术官方微信