Risk factors for rectal bleeding in prostate cancer after radiotherapy with a validation of current rectal dose constraints.

IF 2.7 3区 医学 Q3 ONCOLOGY
Ellen Lund Schaldemose, Christine Vestergaard Madsen, Ahmed Hussein Zedan, Martin Berg, Henrik Dahl Nissen, Terje Andersen, Bjarke Mortensen, Lars Ulrik Fokdal
{"title":"Risk factors for rectal bleeding in prostate cancer after radiotherapy with a validation of current rectal dose constraints.","authors":"Ellen Lund Schaldemose, Christine Vestergaard Madsen, Ahmed Hussein Zedan, Martin Berg, Henrik Dahl Nissen, Terje Andersen, Bjarke Mortensen, Lars Ulrik Fokdal","doi":"10.2340/1651-226X.2025.42551","DOIUrl":null,"url":null,"abstract":"<p><strong>Background: </strong>Rectal bleeding is a well-known adverse event following pelvic external beam radiotherapy (EBRT) for prostate cancer. This study investigates risk factors for rectal bleeding and validate our current rectal dose constraints in a real-world setting.</p><p><strong>Material and methods: </strong>This prospective study includes 248 prostate cancer patients who received EBRT between 2017-2022. EBRT consisted of 56 Gy/39 fractions to the prostate, elective lymph nodes, and seminal vesicles with an integrated boost of 78 Gy to the prostate alone (≤T3a) or to the prostate and seminal vesicles (T3b). Rectal dose constraints were V50 Gy ≤50%, V70 Gy ≤20%, and V74 Gy ≤12%. Rectal bleeding was recorded at baseline and regularly duringfollow-up and included staff reported morbidity and patient reported outcome measures. Risk factors were evaluated in multivariate cox regression analysis.</p><p><strong>Results: </strong>Median follow-up was 18 months (range 1-61 months).  Sixteen percent (CI:11%;22%) of patients reported rectal bleeding as \"rarely\", 4%(CI:2%;8%) \"about half the time\", 0% \"usually\", and 2%(CI:0%;4%) \"always\". Five percent reported rectal bleeding as bothersome. It was possible to comply with current rectal dose constraint (V74 Gy ≤12%) in 99.6% of all patients. Body mass index (BMI) (BMI:25-29.9, HR:0.54(CI:0.30;0.98), p=.044 or BMI>29.9, HR:0.40(CI:0.20;0.79), p=0.008)) were predictors for rectal bleeding.</p><p><strong>Interpretation: </strong>Patient-reported rectal bleeding is common after prostate cancer radiotherapy. High BMI was a protective factor against rectal bleeding. No correlation was observed between rectal dose-volume constraints and the occurrence of rectal bleeding, suggesting that a rectal high-dose constraint of V74 Gy ≤12% is an adequate threshold to minimize patient-reported rectal bleeding.</p>","PeriodicalId":7110,"journal":{"name":"Acta Oncologica","volume":"64 ","pages":"644-653"},"PeriodicalIF":2.7000,"publicationDate":"2025-05-08","publicationTypes":"Journal Article","fieldsOfStudy":null,"isOpenAccess":false,"openAccessPdf":"https://www.ncbi.nlm.nih.gov/pmc/articles/PMC12079044/pdf/","citationCount":"0","resultStr":null,"platform":"Semanticscholar","paperid":null,"PeriodicalName":"Acta Oncologica","FirstCategoryId":"3","ListUrlMain":"https://doi.org/10.2340/1651-226X.2025.42551","RegionNum":3,"RegionCategory":"医学","ArticlePicture":[],"TitleCN":null,"AbstractTextCN":null,"PMCID":null,"EPubDate":"","PubModel":"","JCR":"Q3","JCRName":"ONCOLOGY","Score":null,"Total":0}
引用次数: 0

Abstract

Background: Rectal bleeding is a well-known adverse event following pelvic external beam radiotherapy (EBRT) for prostate cancer. This study investigates risk factors for rectal bleeding and validate our current rectal dose constraints in a real-world setting.

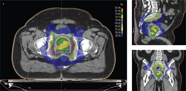
Material and methods: This prospective study includes 248 prostate cancer patients who received EBRT between 2017-2022. EBRT consisted of 56 Gy/39 fractions to the prostate, elective lymph nodes, and seminal vesicles with an integrated boost of 78 Gy to the prostate alone (≤T3a) or to the prostate and seminal vesicles (T3b). Rectal dose constraints were V50 Gy ≤50%, V70 Gy ≤20%, and V74 Gy ≤12%. Rectal bleeding was recorded at baseline and regularly duringfollow-up and included staff reported morbidity and patient reported outcome measures. Risk factors were evaluated in multivariate cox regression analysis.

Results: Median follow-up was 18 months (range 1-61 months).  Sixteen percent (CI:11%;22%) of patients reported rectal bleeding as "rarely", 4%(CI:2%;8%) "about half the time", 0% "usually", and 2%(CI:0%;4%) "always". Five percent reported rectal bleeding as bothersome. It was possible to comply with current rectal dose constraint (V74 Gy ≤12%) in 99.6% of all patients. Body mass index (BMI) (BMI:25-29.9, HR:0.54(CI:0.30;0.98), p=.044 or BMI>29.9, HR:0.40(CI:0.20;0.79), p=0.008)) were predictors for rectal bleeding.

Interpretation: Patient-reported rectal bleeding is common after prostate cancer radiotherapy. High BMI was a protective factor against rectal bleeding. No correlation was observed between rectal dose-volume constraints and the occurrence of rectal bleeding, suggesting that a rectal high-dose constraint of V74 Gy ≤12% is an adequate threshold to minimize patient-reported rectal bleeding.

Abstract Image

Abstract Image

Abstract Image

前列腺癌放疗后直肠出血的危险因素与当前直肠剂量限制的验证。
背景:直肠出血是骨盆外束放疗(EBRT)治疗前列腺癌后的一个众所周知的不良事件。本研究调查了直肠出血的危险因素,并在现实环境中验证了我们目前的直肠剂量限制。材料与方法:本前瞻性研究纳入248例2017-2022年间接受EBRT治疗的前列腺癌患者。EBRT由56 Gy/39的前列腺、选择性淋巴结和精囊组成,对前列腺单独(≤T3a)或前列腺和精囊(T3b)的综合增强为78 Gy。直肠剂量限制V50 Gy≤50%,V70 Gy≤20%,V74 Gy≤12%。直肠出血在基线和随访期间定期记录,包括工作人员报告的发病率和患者报告的结果测量。多因素cox回归分析评估危险因素。结果:中位随访时间为18个月(范围1-61个月)。16% (CI:11%;22%)的患者报告直肠出血“很少”,4%(CI:2%;8%)“大约一半的时间”,0%“通常”和2%(CI:0%;4%)“总是”。5%的人认为直肠出血很麻烦。99.6%的患者符合当前直肠剂量限制(V74 Gy≤12%)。体重指数(BMI) (BMI:25-29.9, HR:0.54(CI:0.30;0.98), p=。044或BMI bb0 29.9, HR:0.40(CI:0.20;0.79), p=0.008)是直肠出血的预测因子。解释:患者报告的前列腺癌放疗后直肠出血是常见的。高BMI是防止直肠出血的保护因素。直肠剂量-体积限制与直肠出血的发生没有相关性,提示直肠高剂量限制V74 Gy≤12%是一个足够的阈值,以减少患者报告的直肠出血。
本文章由计算机程序翻译,如有差异,请以英文原文为准。
求助全文
约1分钟内获得全文 求助全文
来源期刊
Acta Oncologica
Acta Oncologica 医学-肿瘤学
CiteScore
4.30
自引率
3.20%
发文量
301
审稿时长
3 months
期刊介绍: Acta Oncologica is a journal for the clinical oncologist and accepts articles within all fields of clinical cancer research. Articles on tumour pathology, experimental oncology, radiobiology, cancer epidemiology and medical radio physics are also welcome, especially if they have a clinical aim or interest. Scientific articles on cancer nursing and psychological or social aspects of cancer are also welcomed. Extensive material may be published as Supplements, for which special conditions apply.
×
引用
GB/T 7714-2015
复制
MLA
复制
APA
复制
导出至
BibTeX EndNote RefMan NoteFirst NoteExpress
×
提示
您的信息不完整,为了账户安全,请先补充。
现在去补充
×
提示
您因"违规操作"
具体请查看互助需知
我知道了
×
提示
确定
请完成安全验证×
copy
已复制链接
快去分享给好友吧!
我知道了
右上角分享
点击右上角分享
0
联系我们:info@booksci.cn Book学术提供免费学术资源搜索服务,方便国内外学者检索中英文文献。致力于提供最便捷和优质的服务体验。 Copyright © 2023 布克学术 All rights reserved.
京ICP备2023020795号-1
ghs 京公网安备 11010802042870号
Book学术文献互助
Book学术文献互助群
群 号:604180095
Book学术官方微信