Management dilemma of a child with long-segment tracheal stenosis, double outlet right ventricle, and left pulmonary artery sling: For single or staged repair?

IF 0.7 Q4 CARDIAC & CARDIOVASCULAR SYSTEMS
Annals of Pediatric Cardiology Pub Date : 2024-11-01 Epub Date: 2025-04-24 DOI:10.4103/apc.apc_199_24
Gurpreet Singh, Anna Marie Nathan, Norazah Zahari, Khairul Anuar Bin Abdul Aziz
{"title":"Management dilemma of a child with long-segment tracheal stenosis, double outlet right ventricle, and left pulmonary artery sling: For single or staged repair?","authors":"Gurpreet Singh, Anna Marie Nathan, Norazah Zahari, Khairul Anuar Bin Abdul Aziz","doi":"10.4103/apc.apc_199_24","DOIUrl":null,"url":null,"abstract":"<p><p>This is a case of a 3-year-old child who presented with long-segment tracheal stenosis (LSTS) and complex congenital cardiovascular disease for surgical intervention. The ideal operation for this child will include slide tracheoplasty and multiple cardiac lesion repairs. However, the low birth weight and extremely young age present a dilemma as to whether to perform total repair simultaneously or in stages. Age and weight by which the first surgical procedure was done, cardiovascular abnormality details, preoperative respiratory support, preoperative tracheobronchomalacia, cardiopulmonary bypass, the complexity of the surgery, and preoperative extracorporeal membrane oxygenation support are known to be predictive factors of long-term outcomes. Comparative studies between simultaneous and staged operations have shown that it is best to manage children with LSTS and complex cardiovascular anomalies in stages.</p>","PeriodicalId":8026,"journal":{"name":"Annals of Pediatric Cardiology","volume":"17 6","pages":"444-447"},"PeriodicalIF":0.7000,"publicationDate":"2024-11-01","publicationTypes":"Journal Article","fieldsOfStudy":null,"isOpenAccess":false,"openAccessPdf":"https://www.ncbi.nlm.nih.gov/pmc/articles/PMC12063972/pdf/","citationCount":"0","resultStr":null,"platform":"Semanticscholar","paperid":null,"PeriodicalName":"Annals of Pediatric Cardiology","FirstCategoryId":"1085","ListUrlMain":"https://doi.org/10.4103/apc.apc_199_24","RegionNum":0,"RegionCategory":null,"ArticlePicture":[],"TitleCN":null,"AbstractTextCN":null,"PMCID":null,"EPubDate":"2025/4/24 0:00:00","PubModel":"Epub","JCR":"Q4","JCRName":"CARDIAC & CARDIOVASCULAR SYSTEMS","Score":null,"Total":0}
引用次数: 0

Abstract

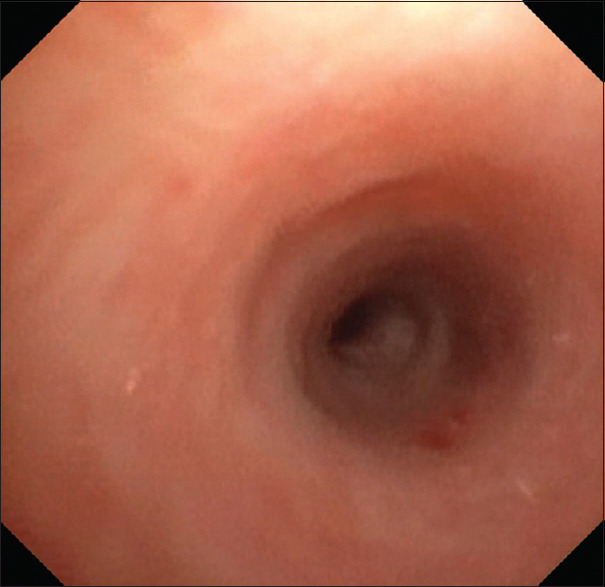
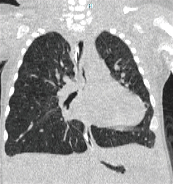
This is a case of a 3-year-old child who presented with long-segment tracheal stenosis (LSTS) and complex congenital cardiovascular disease for surgical intervention. The ideal operation for this child will include slide tracheoplasty and multiple cardiac lesion repairs. However, the low birth weight and extremely young age present a dilemma as to whether to perform total repair simultaneously or in stages. Age and weight by which the first surgical procedure was done, cardiovascular abnormality details, preoperative respiratory support, preoperative tracheobronchomalacia, cardiopulmonary bypass, the complexity of the surgery, and preoperative extracorporeal membrane oxygenation support are known to be predictive factors of long-term outcomes. Comparative studies between simultaneous and staged operations have shown that it is best to manage children with LSTS and complex cardiovascular anomalies in stages.

Abstract Image

Abstract Image

Abstract Image

长段气管狭窄、右心室双出口、左肺动脉悬吊患儿的治疗困境:单次修复还是分阶段修复?
这是一例3岁儿童,因长段气管狭窄(LSTS)和复杂的先天性心血管疾病需要手术治疗。该患儿的理想手术包括气管滑梯成形术和多处心脏病变修复。然而,低出生体重和极其年轻的年龄提出了一个困境,是否进行全面修复同时或分阶段。第一次手术时的年龄和体重、心血管异常细节、术前呼吸支持、术前气管支气管软化、体外循环、手术复杂性和术前体外膜氧合支持被认为是长期预后的预测因素。同时手术和分阶段手术的比较研究表明,对LSTS和复杂心血管异常的儿童进行分阶段治疗是最好的。
本文章由计算机程序翻译,如有差异,请以英文原文为准。
求助全文
约1分钟内获得全文 求助全文
来源期刊
Annals of Pediatric Cardiology
Annals of Pediatric Cardiology CARDIAC & CARDIOVASCULAR SYSTEMS-
CiteScore
1.40
自引率
14.30%
发文量
51
审稿时长
23 weeks
×
引用
GB/T 7714-2015
复制
MLA
复制
APA
复制
导出至
BibTeX EndNote RefMan NoteFirst NoteExpress
×
提示
您的信息不完整,为了账户安全,请先补充。
现在去补充
×
提示
您因"违规操作"
具体请查看互助需知
我知道了
×
提示
确定
请完成安全验证×
copy
已复制链接
快去分享给好友吧!
我知道了
右上角分享
点击右上角分享
0
联系我们:info@booksci.cn Book学术提供免费学术资源搜索服务,方便国内外学者检索中英文文献。致力于提供最便捷和优质的服务体验。 Copyright © 2023 布克学术 All rights reserved.
京ICP备2023020795号-1
ghs 京公网安备 11010802042870号
Book学术文献互助
Book学术文献互助群
群 号:604180095
Book学术官方微信