A non-resolving cough in a 41-year-old woman: a case of familial pulmonary fibrosis.

IF 3.4 Q2 RESPIRATORY SYSTEM
Breathe Pub Date : 2025-04-17 eCollection Date: 2025-04-01 DOI:10.1183/20734735.0258-2024
Aoife Carolan, Mari Ozaki, Wan Lin Ng, John Ryan, Michael W O'Reilly, Ruth Dunne, Aurelie Fabre, Nadia Nathan, Caroline Kannengiesser, Raphael Borie, Killian Hurley
{"title":"A non-resolving cough in a 41-year-old woman: a case of familial pulmonary fibrosis.","authors":"Aoife Carolan, Mari Ozaki, Wan Lin Ng, John Ryan, Michael W O'Reilly, Ruth Dunne, Aurelie Fabre, Nadia Nathan, Caroline Kannengiesser, Raphael Borie, Killian Hurley","doi":"10.1183/20734735.0258-2024","DOIUrl":null,"url":null,"abstract":"<p><p><b>Identification of cases of familial pulmonary fibrosis is important with the risk of a monogenic cause. Patients appear to be younger and may have a more progressive disease. Consideration for antifibrotics and early transplant referral should be made.</b> https://bit.ly/42jJ3aO.</p>","PeriodicalId":9292,"journal":{"name":"Breathe","volume":"21 2","pages":"240258"},"PeriodicalIF":3.4000,"publicationDate":"2025-04-17","publicationTypes":"Journal Article","fieldsOfStudy":null,"isOpenAccess":false,"openAccessPdf":"https://www.ncbi.nlm.nih.gov/pmc/articles/PMC12004259/pdf/","citationCount":"0","resultStr":null,"platform":"Semanticscholar","paperid":null,"PeriodicalName":"Breathe","FirstCategoryId":"1085","ListUrlMain":"https://doi.org/10.1183/20734735.0258-2024","RegionNum":0,"RegionCategory":null,"ArticlePicture":[],"TitleCN":null,"AbstractTextCN":null,"PMCID":null,"EPubDate":"2025/4/1 0:00:00","PubModel":"eCollection","JCR":"Q2","JCRName":"RESPIRATORY SYSTEM","Score":null,"Total":0}
引用次数: 0

Abstract

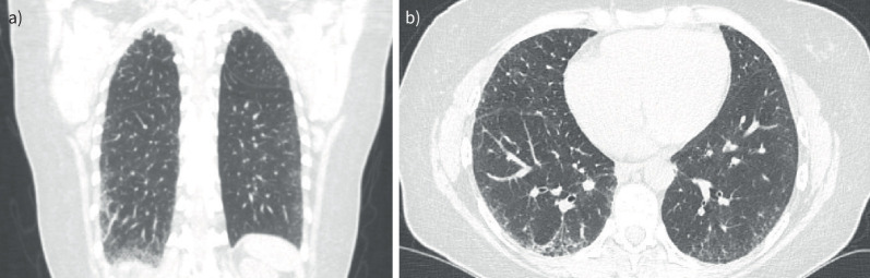
Identification of cases of familial pulmonary fibrosis is important with the risk of a monogenic cause. Patients appear to be younger and may have a more progressive disease. Consideration for antifibrotics and early transplant referral should be made. https://bit.ly/42jJ3aO.

Abstract Image

Abstract Image

Abstract Image

41岁妇女止咳不愈:家族性肺纤维化1例。
家族性肺纤维化的病例识别是重要的单基因原因的风险。患者似乎更年轻,可能病情进展更严重。应考虑抗纤维化和早期移植转诊。https://bit.ly/42jJ3aO。
本文章由计算机程序翻译,如有差异,请以英文原文为准。
求助全文
约1分钟内获得全文 求助全文
来源期刊
Breathe
Breathe RESPIRATORY SYSTEM-
CiteScore
2.90
自引率
5.00%
发文量
51
审稿时长
12 weeks
×
引用
GB/T 7714-2015
复制
MLA
复制
APA
复制
导出至
BibTeX EndNote RefMan NoteFirst NoteExpress
×
提示
您的信息不完整,为了账户安全,请先补充。
现在去补充
×
提示
您因"违规操作"
具体请查看互助需知
我知道了
×
提示
确定
请完成安全验证×
copy
已复制链接
快去分享给好友吧!
我知道了
右上角分享
点击右上角分享
0
联系我们:info@booksci.cn Book学术提供免费学术资源搜索服务,方便国内外学者检索中英文文献。致力于提供最便捷和优质的服务体验。 Copyright © 2023 布克学术 All rights reserved.
京ICP备2023020795号-1
ghs 京公网安备 11010802042870号
Book学术文献互助
Book学术文献互助群
群 号:604180095
Book学术官方微信