Intestinal transplantation in Familial Adenomatous Polyposis.

IF 2 4区 医学 Q3 GENETICS & HEREDITY
Emilio Canovai, Sarah Upponi, Irum Amin
{"title":"Intestinal transplantation in Familial Adenomatous Polyposis.","authors":"Emilio Canovai, Sarah Upponi, Irum Amin","doi":"10.1007/s10689-025-00468-6","DOIUrl":null,"url":null,"abstract":"<p><p>In patients with Familial Adenomatous Polyposis (FAP), large desmoid tumors can develop all over the body. However, the most frequent presentation is as large intra-abdominal masses, usually located in the mesentery of the small bowel. From there, they tend to grow and invade both the abdominal wall and/or the retroperitoneal structures. This can cause life-threatening complications such as recurrent abdominal sepsis with fistulation and damage to vital organs. In selected patients, the only option may be radical resection and replacement by intestinal transplantation (ITx). We aimed to review all the current literature on ITx for FAP-related desmoids and provide an update from the largest single-center experience (2007-2024). All patients undergoing ITx for FAP-related desmoid were included. Between 2007 and 2024, 166 ITx was performed in 158 patients at Addenbrooke's Hospital, Cambridge, UK. Of these, 20 (12%) were for desmoid associated with FAP (10 modified multivisceral transplants, 8 isolated ITx and 2 liver-containing grafts). The five-year all-cause patient survival was 92%, median follow-up was 4.3 years. As the patients presented with very advanced disease, many technical challenges were faced such as: extensive ureteric involvement, abdominal wall fistulation, management of previously formed ileo-anal pouches and extra-abdominal recurrences. Graft selection was another evolving issue, as foregut resection- versus sparing techniques require careful preoperative risk stratification due to increased long-term cancer risk in FAP patients. For certain patients with advanced FAP/desmoid disease, ITx can allow for a radical resection with excellent survival and functional outcomes. However, there is a high degree of initial morbidity associated with the operation and patients should be appropriately counselled. Graft selection and degree of native organ resection requires a careful balanced discussion.</p>","PeriodicalId":12336,"journal":{"name":"Familial Cancer","volume":"24 2","pages":"40"},"PeriodicalIF":2.0000,"publicationDate":"2025-05-03","publicationTypes":"Journal Article","fieldsOfStudy":null,"isOpenAccess":false,"openAccessPdf":"https://www.ncbi.nlm.nih.gov/pmc/articles/PMC12049397/pdf/","citationCount":"0","resultStr":null,"platform":"Semanticscholar","paperid":null,"PeriodicalName":"Familial Cancer","FirstCategoryId":"3","ListUrlMain":"https://doi.org/10.1007/s10689-025-00468-6","RegionNum":4,"RegionCategory":"医学","ArticlePicture":[],"TitleCN":null,"AbstractTextCN":null,"PMCID":null,"EPubDate":"","PubModel":"","JCR":"Q3","JCRName":"GENETICS & HEREDITY","Score":null,"Total":0}
引用次数: 0

Abstract

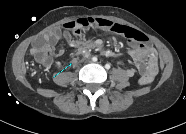
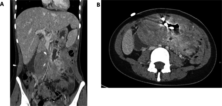
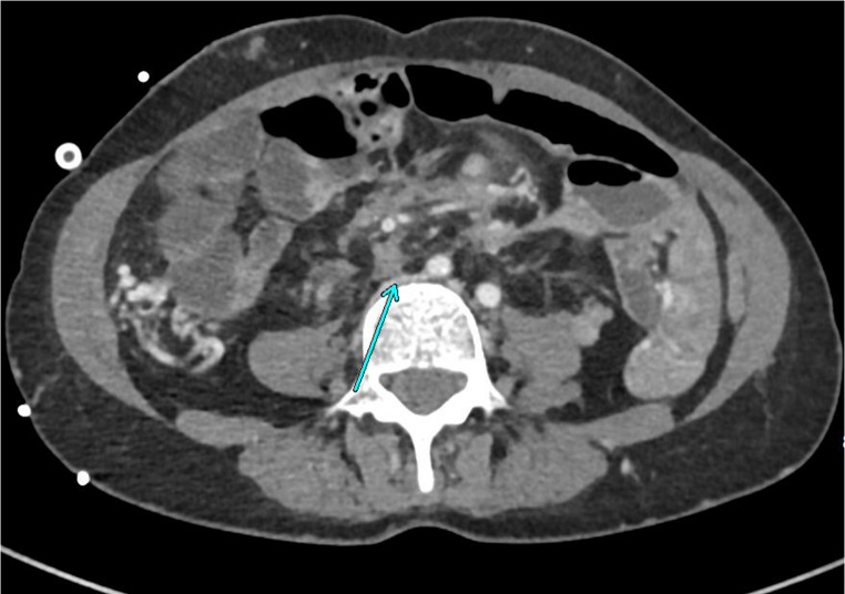
In patients with Familial Adenomatous Polyposis (FAP), large desmoid tumors can develop all over the body. However, the most frequent presentation is as large intra-abdominal masses, usually located in the mesentery of the small bowel. From there, they tend to grow and invade both the abdominal wall and/or the retroperitoneal structures. This can cause life-threatening complications such as recurrent abdominal sepsis with fistulation and damage to vital organs. In selected patients, the only option may be radical resection and replacement by intestinal transplantation (ITx). We aimed to review all the current literature on ITx for FAP-related desmoids and provide an update from the largest single-center experience (2007-2024). All patients undergoing ITx for FAP-related desmoid were included. Between 2007 and 2024, 166 ITx was performed in 158 patients at Addenbrooke's Hospital, Cambridge, UK. Of these, 20 (12%) were for desmoid associated with FAP (10 modified multivisceral transplants, 8 isolated ITx and 2 liver-containing grafts). The five-year all-cause patient survival was 92%, median follow-up was 4.3 years. As the patients presented with very advanced disease, many technical challenges were faced such as: extensive ureteric involvement, abdominal wall fistulation, management of previously formed ileo-anal pouches and extra-abdominal recurrences. Graft selection was another evolving issue, as foregut resection- versus sparing techniques require careful preoperative risk stratification due to increased long-term cancer risk in FAP patients. For certain patients with advanced FAP/desmoid disease, ITx can allow for a radical resection with excellent survival and functional outcomes. However, there is a high degree of initial morbidity associated with the operation and patients should be appropriately counselled. Graft selection and degree of native organ resection requires a careful balanced discussion.

Abstract Image

Abstract Image

Abstract Image

家族性腺瘤性息肉病的肠移植。
在家族性腺瘤性息肉病(FAP)患者中,大的硬纤维瘤可遍及全身。然而,最常见的表现是腹腔内大肿块,通常位于小肠肠系膜。从那里开始,它们倾向于生长并侵入腹壁和/或腹膜后结构。这可能导致危及生命的并发症,如复发性腹部脓毒症伴瘘管和重要器官损伤。在选定的患者中,唯一的选择可能是根治性切除和肠移植替代(ITx)。我们的目的是回顾目前所有关于ITx治疗fap相关硬纤维瘤的文献,并提供最大的单中心经验(2007-2024)的更新。所有因fap相关硬纤维瘤接受ITx治疗的患者均被纳入。2007年至2024年间,英国剑桥阿登布鲁克医院对158名患者进行了166次ITx手术。其中,20例(12%)为与FAP相关的硬纤维瘤(10例改良多脏器移植,8例分离ITx和2例含肝移植)。5年全因生存率为92%,中位随访时间为4.3年。由于患者病情非常晚期,面临许多技术挑战,如:输尿管广泛受累,腹壁瘘,先前形成的回肠肛管袋的处理和腹外复发。移植物选择是另一个不断发展的问题,由于FAP患者长期癌症风险增加,前肠切除与保留技术需要仔细的术前风险分层。对于某些晚期FAP/硬纤维瘤疾病患者,ITx可以允许根治性切除,具有良好的生存率和功能预后。然而,与手术相关的初始发病率很高,患者应该得到适当的建议。移植物的选择和原生器官切除的程度需要仔细平衡的讨论。
本文章由计算机程序翻译,如有差异,请以英文原文为准。
求助全文
约1分钟内获得全文 求助全文
来源期刊
Familial Cancer
Familial Cancer 医学-遗传学
CiteScore
4.10
自引率
4.50%
发文量
36
审稿时长
6-12 weeks
期刊介绍: In recent years clinical cancer genetics has become increasingly important. Several events, in particular the developments in DNA-based technology, have contributed to this evolution. Clinical cancer genetics has now matured to a medical discipline which is truly multidisciplinary in which clinical and molecular geneticists work together with clinical and medical oncologists as well as with psycho-social workers. Due to the multidisciplinary nature of clinical cancer genetics most papers are currently being published in a wide variety of journals on epidemiology, oncology and genetics. Familial Cancer provides a forum bringing these topics together focusing on the interests and needs of the clinician. The journal mainly concentrates on clinical cancer genetics. Most major areas in the field shall be included, such as epidemiology of familial cancer, molecular analysis and diagnosis, clinical expression, treatment and prevention, counselling and the health economics of familial cancer.
×
引用
GB/T 7714-2015
复制
MLA
复制
APA
复制
导出至
BibTeX EndNote RefMan NoteFirst NoteExpress
×
提示
您的信息不完整,为了账户安全,请先补充。
现在去补充
×
提示
您因"违规操作"
具体请查看互助需知
我知道了
×
提示
确定
请完成安全验证×
copy
已复制链接
快去分享给好友吧!
我知道了
右上角分享
点击右上角分享
0
联系我们:info@booksci.cn Book学术提供免费学术资源搜索服务,方便国内外学者检索中英文文献。致力于提供最便捷和优质的服务体验。 Copyright © 2023 布克学术 All rights reserved.
京ICP备2023020795号-1
ghs 京公网安备 11010802042870号
Book学术文献互助
Book学术文献互助群
群 号:604180095
Book学术官方微信