Nicotine promotes the development of invasive bladder carcinoma in rats.

IF 0.9 4区 医学 Q4 PATHOLOGY
Journal of Toxicologic Pathology Pub Date : 2025-04-01 Epub Date: 2024-12-31 DOI:10.1293/tox.2024-0087
Masaki Fujioka, Shugo Suzuki, Min Gi, Ikue Noura, Arpamas Vachiraarunwong, Anna Kakehashi, Hideki Wanibuchi
{"title":"Nicotine promotes the development of invasive bladder carcinoma in rats.","authors":"Masaki Fujioka, Shugo Suzuki, Min Gi, Ikue Noura, Arpamas Vachiraarunwong, Anna Kakehashi, Hideki Wanibuchi","doi":"10.1293/tox.2024-0087","DOIUrl":null,"url":null,"abstract":"<p><p>Tobacco smoking is a major risk factor for human cancers including urinary bladder carcinoma. In a previous study, nicotine was shown to enhance rat urinary bladder carcinogenesis in a two-stage carcinogenesis model. In this study, we examined the progressive effects of nicotine on bladder carcinogenesis in F344 rats treated with N-butyl-N-(4-hydroxybutyl)nitrosamine (BBN). Nicotine, administered in drinking water for 52 weeks following 4 weeks of BBN treatment, significantly increased the incidence and multiplicity of invasive urothelial carcinoma in a dose-dependent manner. The Ki67 labeling index of bladder papillomas was significantly increased by nicotine in a dose-dependent manner. However, nicotine treatment did not affect the incidence or total number of tumors, and nicotine administration alone for 52 weeks did not result in any neoplastic lesions. These data suggest that while nicotine does not initiate carcinogenesis, it has the potential to promote invasive urinary cancers.</p>","PeriodicalId":17437,"journal":{"name":"Journal of Toxicologic Pathology","volume":"38 2","pages":"161-165"},"PeriodicalIF":0.9000,"publicationDate":"2025-04-01","publicationTypes":"Journal Article","fieldsOfStudy":null,"isOpenAccess":false,"openAccessPdf":"https://www.ncbi.nlm.nih.gov/pmc/articles/PMC11966120/pdf/","citationCount":"0","resultStr":null,"platform":"Semanticscholar","paperid":null,"PeriodicalName":"Journal of Toxicologic Pathology","FirstCategoryId":"3","ListUrlMain":"https://doi.org/10.1293/tox.2024-0087","RegionNum":4,"RegionCategory":"医学","ArticlePicture":[],"TitleCN":null,"AbstractTextCN":null,"PMCID":null,"EPubDate":"2024/12/31 0:00:00","PubModel":"Epub","JCR":"Q4","JCRName":"PATHOLOGY","Score":null,"Total":0}
引用次数: 0

Abstract

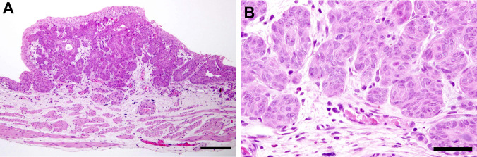
Tobacco smoking is a major risk factor for human cancers including urinary bladder carcinoma. In a previous study, nicotine was shown to enhance rat urinary bladder carcinogenesis in a two-stage carcinogenesis model. In this study, we examined the progressive effects of nicotine on bladder carcinogenesis in F344 rats treated with N-butyl-N-(4-hydroxybutyl)nitrosamine (BBN). Nicotine, administered in drinking water for 52 weeks following 4 weeks of BBN treatment, significantly increased the incidence and multiplicity of invasive urothelial carcinoma in a dose-dependent manner. The Ki67 labeling index of bladder papillomas was significantly increased by nicotine in a dose-dependent manner. However, nicotine treatment did not affect the incidence or total number of tumors, and nicotine administration alone for 52 weeks did not result in any neoplastic lesions. These data suggest that while nicotine does not initiate carcinogenesis, it has the potential to promote invasive urinary cancers.

Abstract Image

Abstract Image

Abstract Image

尼古丁会促进大鼠浸润性膀胱癌的发展。
吸烟是导致包括膀胱癌在内的人类癌症的主要危险因素。在之前的一项研究中,尼古丁在两阶段癌变模型中被证明可以促进大鼠膀胱癌变。在本研究中,我们研究了尼古丁对n -丁基- n -(4-羟基丁基)亚硝胺(BBN)治疗的F344大鼠膀胱癌的进展作用。在BBN治疗4周后,在饮用水中给予尼古丁52周,以剂量依赖的方式显著增加了侵袭性尿路上皮癌的发生率和多样性。尼古丁对膀胱乳头瘤Ki67标记指数的影响呈剂量依赖性。然而,尼古丁治疗并没有影响肿瘤的发生率或总数,并且单独使用尼古丁52周没有导致任何肿瘤病变。这些数据表明,虽然尼古丁不会引发癌变,但它有可能促进侵入性尿路癌。
本文章由计算机程序翻译,如有差异,请以英文原文为准。
求助全文
约1分钟内获得全文 求助全文
来源期刊
Journal of Toxicologic Pathology
Journal of Toxicologic Pathology PATHOLOGY-TOXICOLOGY
CiteScore
2.10
自引率
16.70%
发文量
22
审稿时长
>12 weeks
期刊介绍: JTP is a scientific journal that publishes original studies in the field of toxicological pathology and in a wide variety of other related fields. The main scope of the journal is listed below. Administrative Opinions of Policymakers and Regulatory Agencies Adverse Events Carcinogenesis Data of A Predominantly Negative Nature Drug-Induced Hematologic Toxicity Embryological Pathology High Throughput Pathology Historical Data of Experimental Animals Immunohistochemical Analysis Molecular Pathology Nomenclature of Lesions Non-mammal Toxicity Study Result or Lesion Induced by Chemicals of Which Names Hidden on Account of the Authors Technology and Methodology Related to Toxicological Pathology Tumor Pathology; Neoplasia and Hyperplasia Ultrastructural Analysis Use of Animal Models.
×
引用
GB/T 7714-2015
复制
MLA
复制
APA
复制
导出至
BibTeX EndNote RefMan NoteFirst NoteExpress
×
提示
您的信息不完整,为了账户安全,请先补充。
现在去补充
×
提示
您因"违规操作"
具体请查看互助需知
我知道了
×
提示
确定
请完成安全验证×
copy
已复制链接
快去分享给好友吧!
我知道了
右上角分享
点击右上角分享
0
联系我们:info@booksci.cn Book学术提供免费学术资源搜索服务,方便国内外学者检索中英文文献。致力于提供最便捷和优质的服务体验。 Copyright © 2023 布克学术 All rights reserved.
京ICP备2023020795号-1
ghs 京公网安备 11010802042870号
Book学术文献互助
Book学术文献互助群
群 号:604180095
Book学术官方微信