Lymphocytic thyroiditis with an oncocytic alteration in a laboratory beagle.

IF 0.9 4区 医学 Q4 PATHOLOGY
Journal of Toxicologic Pathology Pub Date : 2025-04-01 Epub Date: 2024-12-30 DOI:10.1293/tox.2024-0073
Osamu Hashiguchi, Kohji Tanaka, Yuko Yamaguchi, Moeko Aoki, Nobuaki Sato, Takuro Endo, Maoko Yamaguchi, Tsubasa Saito
{"title":"Lymphocytic thyroiditis with an oncocytic alteration in a laboratory beagle.","authors":"Osamu Hashiguchi, Kohji Tanaka, Yuko Yamaguchi, Moeko Aoki, Nobuaki Sato, Takuro Endo, Maoko Yamaguchi, Tsubasa Saito","doi":"10.1293/tox.2024-0073","DOIUrl":null,"url":null,"abstract":"<p><p>Histopathological, immunohistochemical, and ultrastructural characteristics of lymphocytic thyroiditis in an untreated four-year-old male beagle were described. Histopathologically, the thyroid glands were composed of two distinct cell types: round to oval cells with eosinophilic granular cytoplasm (Type A), which is consistent with the features of oncocytic oxyphils, and larger round cells with amphophilic or pale cytoplasm (Type B). These cell types extensively and diffusely infiltrated with a mixture of lymphocytes and plasma cells, destroying the follicular structure. Immunohistochemistry revealed that Type A cells were positive for thyroglobulin and cytochrome C, and that Type B cells were positive for calcitonin, synaptophysin, and cytochrome C. These results indicate that Type A and B cells stem from follicular and C cells, respectively. Ultrastructural investigation showed that microfollicles and microvilli were evident in the cytoplasm and along the luminal surface of Type A cells. Thus, the lymphocytic thyroiditis observed in the beagle exhibited a morphology similar to that of Hashimoto thyroiditis in humans, particularly in view of an oncocytic alteration of follicular cells.</p>","PeriodicalId":17437,"journal":{"name":"Journal of Toxicologic Pathology","volume":"38 2","pages":"177-182"},"PeriodicalIF":0.9000,"publicationDate":"2025-04-01","publicationTypes":"Journal Article","fieldsOfStudy":null,"isOpenAccess":false,"openAccessPdf":"https://www.ncbi.nlm.nih.gov/pmc/articles/PMC11966123/pdf/","citationCount":"0","resultStr":null,"platform":"Semanticscholar","paperid":null,"PeriodicalName":"Journal of Toxicologic Pathology","FirstCategoryId":"3","ListUrlMain":"https://doi.org/10.1293/tox.2024-0073","RegionNum":4,"RegionCategory":"医学","ArticlePicture":[],"TitleCN":null,"AbstractTextCN":null,"PMCID":null,"EPubDate":"2024/12/30 0:00:00","PubModel":"Epub","JCR":"Q4","JCRName":"PATHOLOGY","Score":null,"Total":0}
引用次数: 0

Abstract

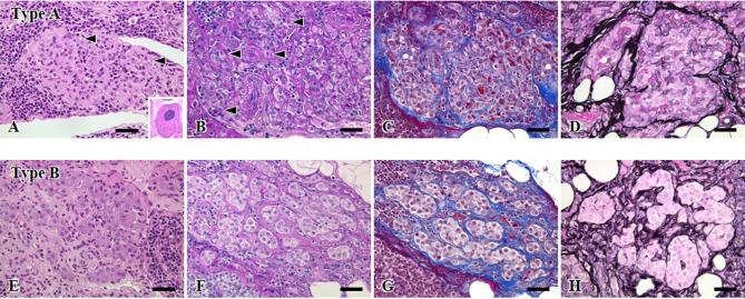
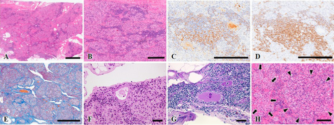
Histopathological, immunohistochemical, and ultrastructural characteristics of lymphocytic thyroiditis in an untreated four-year-old male beagle were described. Histopathologically, the thyroid glands were composed of two distinct cell types: round to oval cells with eosinophilic granular cytoplasm (Type A), which is consistent with the features of oncocytic oxyphils, and larger round cells with amphophilic or pale cytoplasm (Type B). These cell types extensively and diffusely infiltrated with a mixture of lymphocytes and plasma cells, destroying the follicular structure. Immunohistochemistry revealed that Type A cells were positive for thyroglobulin and cytochrome C, and that Type B cells were positive for calcitonin, synaptophysin, and cytochrome C. These results indicate that Type A and B cells stem from follicular and C cells, respectively. Ultrastructural investigation showed that microfollicles and microvilli were evident in the cytoplasm and along the luminal surface of Type A cells. Thus, the lymphocytic thyroiditis observed in the beagle exhibited a morphology similar to that of Hashimoto thyroiditis in humans, particularly in view of an oncocytic alteration of follicular cells.

Abstract Image

Abstract Image

Abstract Image

一只实验用小猎犬患有伴有肿瘤细胞改变的淋巴细胞性甲状腺炎。
本文描述了一只未经治疗的四岁雄性比格犬淋巴细胞性甲状腺炎的组织病理学、免疫组织化学和超微结构特征。组织病理学上,甲状腺由两种不同的细胞类型组成:圆形至椭圆形细胞,具有嗜酸性颗粒状细胞质(A型),与嗜嗜嗜氧细胞的特征一致;较大的圆形细胞,具有嗜两性或苍白的细胞质(B型)。这些细胞类型广泛和弥漫性地浸润淋巴细胞和浆细胞,破坏滤泡结构。免疫组化结果显示,A型细胞甲状腺球蛋白和细胞色素C阳性,B型细胞降钙素、突触素和细胞色素C阳性,提示A型和B型细胞分别来源于滤泡细胞和C细胞。超微结构观察显示,A型细胞细胞质内及管腔表面有明显的微滤泡和微绒毛。因此,在小猎犬中观察到的淋巴细胞性甲状腺炎表现出与人类桥本甲状腺炎相似的形态,特别是考虑到滤泡细胞的嗜瘤细胞改变。
本文章由计算机程序翻译,如有差异,请以英文原文为准。
求助全文
约1分钟内获得全文 求助全文
来源期刊
Journal of Toxicologic Pathology
Journal of Toxicologic Pathology PATHOLOGY-TOXICOLOGY
CiteScore
2.10
自引率
16.70%
发文量
22
审稿时长
>12 weeks
期刊介绍: JTP is a scientific journal that publishes original studies in the field of toxicological pathology and in a wide variety of other related fields. The main scope of the journal is listed below. Administrative Opinions of Policymakers and Regulatory Agencies Adverse Events Carcinogenesis Data of A Predominantly Negative Nature Drug-Induced Hematologic Toxicity Embryological Pathology High Throughput Pathology Historical Data of Experimental Animals Immunohistochemical Analysis Molecular Pathology Nomenclature of Lesions Non-mammal Toxicity Study Result or Lesion Induced by Chemicals of Which Names Hidden on Account of the Authors Technology and Methodology Related to Toxicological Pathology Tumor Pathology; Neoplasia and Hyperplasia Ultrastructural Analysis Use of Animal Models.
×
引用
GB/T 7714-2015
复制
MLA
复制
APA
复制
导出至
BibTeX EndNote RefMan NoteFirst NoteExpress
×
提示
您的信息不完整,为了账户安全,请先补充。
现在去补充
×
提示
您因"违规操作"
具体请查看互助需知
我知道了
×
提示
确定
请完成安全验证×
copy
已复制链接
快去分享给好友吧!
我知道了
右上角分享
点击右上角分享
0
联系我们:info@booksci.cn Book学术提供免费学术资源搜索服务,方便国内外学者检索中英文文献。致力于提供最便捷和优质的服务体验。 Copyright © 2023 布克学术 All rights reserved.
京ICP备2023020795号-1
ghs 京公网安备 11010802042870号
Book学术文献互助
Book学术文献互助群
群 号:604180095
Book学术官方微信