Effect of a hydrogel-based scaffold material on the establishment of a patient-derived bladder cancer xenograft model.

IF 0.9 4区 医学 Q4 PATHOLOGY
Journal of Toxicologic Pathology Pub Date : 2025-04-01 Epub Date: 2024-12-30 DOI:10.1293/tox.2024-0054
Takeshi Yamamoto, Hayato Miyoshi, Shinji Mima, Hiroyuki Kamata, Shohei Ishikawa, Yuji Nozaki, Hisayoshi Takagi, Chihaya Kakinuma, Takashi Yao
{"title":"Effect of a hydrogel-based scaffold material on the establishment of a patient-derived bladder cancer xenograft model.","authors":"Takeshi Yamamoto, Hayato Miyoshi, Shinji Mima, Hiroyuki Kamata, Shohei Ishikawa, Yuji Nozaki, Hisayoshi Takagi, Chihaya Kakinuma, Takashi Yao","doi":"10.1293/tox.2024-0054","DOIUrl":null,"url":null,"abstract":"<p><p>Bladder cancer is treated by surgical removal of the tumor followed by injection of anticancer drugs or the Bacillus Calmette-Guerin vaccine. However, there are insufficient effective drug options depending on the risk category of bladder cancer. One of the reasons for this is the limited number of suitable experimental models that reproduce the pathology of bladder cancer for each risk category. There has been increasing interest in the patient-derived xenograft model as an experimental model to reproduce the original nature of the tumor in a patient. However, there are unresolved problems regarding its practical use, such as the low success rate of engraftment, variation in the growth rate between experiments, and the lack of a reliable method to prepare a patient-derived xenograft model from cryopreserved tumor tissue. In this study, the effect of scaffold material on the preparation of a bladder cancer patient-derived xenograft model was investigated and it was found that gelatin/polyethylene glycol-based hydrogel offers advantages for engraftment of cryopreserved bladder cancer tissue. It was shown that the proliferation of cryopreserved bladder cancer cells was promoted with less necrosis and thrombi around the tissue when transplanted into immunodeficient animals with glycol-based hydrogel compared to transplantation with Matrigel or without any scaffold. This study proposes a new method to generate patient-derived xenograft models from cryopreserved bladder cancer tissue, which is expected to have improved proliferation activity after transplantation.</p>","PeriodicalId":17437,"journal":{"name":"Journal of Toxicologic Pathology","volume":"38 2","pages":"139-145"},"PeriodicalIF":0.9000,"publicationDate":"2025-04-01","publicationTypes":"Journal Article","fieldsOfStudy":null,"isOpenAccess":false,"openAccessPdf":"https://www.ncbi.nlm.nih.gov/pmc/articles/PMC11966121/pdf/","citationCount":"0","resultStr":null,"platform":"Semanticscholar","paperid":null,"PeriodicalName":"Journal of Toxicologic Pathology","FirstCategoryId":"3","ListUrlMain":"https://doi.org/10.1293/tox.2024-0054","RegionNum":4,"RegionCategory":"医学","ArticlePicture":[],"TitleCN":null,"AbstractTextCN":null,"PMCID":null,"EPubDate":"2024/12/30 0:00:00","PubModel":"Epub","JCR":"Q4","JCRName":"PATHOLOGY","Score":null,"Total":0}
引用次数: 0

Abstract

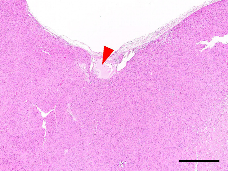
Bladder cancer is treated by surgical removal of the tumor followed by injection of anticancer drugs or the Bacillus Calmette-Guerin vaccine. However, there are insufficient effective drug options depending on the risk category of bladder cancer. One of the reasons for this is the limited number of suitable experimental models that reproduce the pathology of bladder cancer for each risk category. There has been increasing interest in the patient-derived xenograft model as an experimental model to reproduce the original nature of the tumor in a patient. However, there are unresolved problems regarding its practical use, such as the low success rate of engraftment, variation in the growth rate between experiments, and the lack of a reliable method to prepare a patient-derived xenograft model from cryopreserved tumor tissue. In this study, the effect of scaffold material on the preparation of a bladder cancer patient-derived xenograft model was investigated and it was found that gelatin/polyethylene glycol-based hydrogel offers advantages for engraftment of cryopreserved bladder cancer tissue. It was shown that the proliferation of cryopreserved bladder cancer cells was promoted with less necrosis and thrombi around the tissue when transplanted into immunodeficient animals with glycol-based hydrogel compared to transplantation with Matrigel or without any scaffold. This study proposes a new method to generate patient-derived xenograft models from cryopreserved bladder cancer tissue, which is expected to have improved proliferation activity after transplantation.

Abstract Image

Abstract Image

Abstract Image

水凝胶支架材料对建立患者源性膀胱癌异种移植模型的影响。
治疗膀胱癌的方法是通过手术切除肿瘤,然后注射抗癌药物或卡介苗。然而,根据膀胱癌的风险类别,有效的药物选择不足。其中一个原因是,能够再现膀胱癌病理的适合每种风险类别的实验模型数量有限。患者来源的异种移植模型作为一种再现患者肿瘤原始性质的实验模型,受到越来越多的关注。然而,在实际应用中还存在一些尚未解决的问题,如移植成功率低、不同实验之间的生长速度存在差异,以及缺乏从冷冻保存的肿瘤组织制备患者来源异种移植模型的可靠方法。本研究调查了支架材料对制备膀胱癌患者来源异种移植模型的影响,发现明胶/聚乙二醇基水凝胶在冷冻保存的膀胱癌组织的移植方面具有优势。研究表明,与使用 Matrigel 或不使用任何支架的移植相比,使用乙二醇基水凝胶移植到免疫缺陷动物体内可促进冷冻保存的膀胱癌细胞的增殖,且组织周围的坏死和血栓较少。本研究提出了一种利用低温保存的膀胱癌组织生成患者来源异种移植模型的新方法,该方法有望提高移植后的增殖活性。
本文章由计算机程序翻译,如有差异,请以英文原文为准。
求助全文
约1分钟内获得全文 求助全文
来源期刊
Journal of Toxicologic Pathology
Journal of Toxicologic Pathology PATHOLOGY-TOXICOLOGY
CiteScore
2.10
自引率
16.70%
发文量
22
审稿时长
>12 weeks
期刊介绍: JTP is a scientific journal that publishes original studies in the field of toxicological pathology and in a wide variety of other related fields. The main scope of the journal is listed below. Administrative Opinions of Policymakers and Regulatory Agencies Adverse Events Carcinogenesis Data of A Predominantly Negative Nature Drug-Induced Hematologic Toxicity Embryological Pathology High Throughput Pathology Historical Data of Experimental Animals Immunohistochemical Analysis Molecular Pathology Nomenclature of Lesions Non-mammal Toxicity Study Result or Lesion Induced by Chemicals of Which Names Hidden on Account of the Authors Technology and Methodology Related to Toxicological Pathology Tumor Pathology; Neoplasia and Hyperplasia Ultrastructural Analysis Use of Animal Models.
×
引用
GB/T 7714-2015
复制
MLA
复制
APA
复制
导出至
BibTeX EndNote RefMan NoteFirst NoteExpress
×
提示
您的信息不完整,为了账户安全,请先补充。
现在去补充
×
提示
您因"违规操作"
具体请查看互助需知
我知道了
×
提示
确定
请完成安全验证×
copy
已复制链接
快去分享给好友吧!
我知道了
右上角分享
点击右上角分享
0
联系我们:info@booksci.cn Book学术提供免费学术资源搜索服务,方便国内外学者检索中英文文献。致力于提供最便捷和优质的服务体验。 Copyright © 2023 布克学术 All rights reserved.
京ICP备2023020795号-1
ghs 京公网安备 11010802042870号
Book学术文献互助
Book学术文献互助群
群 号:604180095
Book学术官方微信