A case of hypersensitivity pneumonitis caused by a humidifier: diagnosis and management in rural practice.

Takamitsu Sakamoto, Teruyoshi Amagai
{"title":"A case of hypersensitivity pneumonitis caused by a humidifier: diagnosis and management in rural practice.","authors":"Takamitsu Sakamoto, Teruyoshi Amagai","doi":"10.2185/jrm.2024-028","DOIUrl":null,"url":null,"abstract":"<p><p>Hypersensitivity Pneumonitis (HP) is an allergic interstitial lung disease that arises from type III and IV allergic reactions. During the COVID-19 outbreak, HP was established as having similar manifestations to COVID-19. In remote rural regions of Japan, where respiratory specialists are not readily accessible, HP is not always easy to differentiate, and establishing a definitive diagnosis can be challenging due to insufficient laboratory examinations. Herein, we present a case of a moderately definite diagnosis of acute non-fibrosing HP. The foundation of treatment included antigen avoidance, which necessitates a comprehensive analysis of the patient's medical history. In instances where anomalous chest imaging outcomes are observed, it is imperative to conduct a comprehensive review of the patient's medical history, and to consider the possibility of HP.</p>","PeriodicalId":73939,"journal":{"name":"Journal of rural medicine : JRM","volume":"20 2","pages":"156-160"},"PeriodicalIF":0.0000,"publicationDate":"2025-04-01","publicationTypes":"Journal Article","fieldsOfStudy":null,"isOpenAccess":false,"openAccessPdf":"https://www.ncbi.nlm.nih.gov/pmc/articles/PMC11962186/pdf/","citationCount":"0","resultStr":null,"platform":"Semanticscholar","paperid":null,"PeriodicalName":"Journal of rural medicine : JRM","FirstCategoryId":"1085","ListUrlMain":"https://doi.org/10.2185/jrm.2024-028","RegionNum":0,"RegionCategory":null,"ArticlePicture":[],"TitleCN":null,"AbstractTextCN":null,"PMCID":null,"EPubDate":"","PubModel":"","JCR":"","JCRName":"","Score":null,"Total":0}
引用次数: 0

Abstract

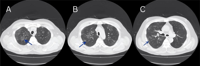
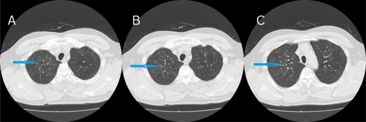
Hypersensitivity Pneumonitis (HP) is an allergic interstitial lung disease that arises from type III and IV allergic reactions. During the COVID-19 outbreak, HP was established as having similar manifestations to COVID-19. In remote rural regions of Japan, where respiratory specialists are not readily accessible, HP is not always easy to differentiate, and establishing a definitive diagnosis can be challenging due to insufficient laboratory examinations. Herein, we present a case of a moderately definite diagnosis of acute non-fibrosing HP. The foundation of treatment included antigen avoidance, which necessitates a comprehensive analysis of the patient's medical history. In instances where anomalous chest imaging outcomes are observed, it is imperative to conduct a comprehensive review of the patient's medical history, and to consider the possibility of HP.

Abstract Image

Abstract Image

一例由加湿器引起的超敏性肺炎:农村实践中的诊断与处理。
超敏性肺炎(HP)是一种由III型和IV型过敏反应引起的过敏性间质性肺疾病。在COVID-19爆发期间,HP被确定为具有与COVID-19相似的表现。在日本偏远的农村地区,不易找到呼吸道专家,HP并不总是容易区分,并且由于实验室检查不足,建立明确的诊断可能具有挑战性。在此,我们提出一个病例中度明确诊断急性非纤维化HP。治疗的基础包括抗原避免,这就需要对患者的病史进行全面的分析。在观察到异常胸部影像学结果的情况下,必须对患者的病史进行全面检查,并考虑HP的可能性。
本文章由计算机程序翻译,如有差异,请以英文原文为准。
求助全文
约1分钟内获得全文 求助全文
来源期刊
自引率
0.00%
发文量
0
×
引用
GB/T 7714-2015
复制
MLA
复制
APA
复制
导出至
BibTeX EndNote RefMan NoteFirst NoteExpress
×
提示
您的信息不完整,为了账户安全,请先补充。
现在去补充
×
提示
您因"违规操作"
具体请查看互助需知
我知道了
×
提示
确定
请完成安全验证×
copy
已复制链接
快去分享给好友吧!
我知道了
右上角分享
点击右上角分享
0
联系我们:info@booksci.cn Book学术提供免费学术资源搜索服务,方便国内外学者检索中英文文献。致力于提供最便捷和优质的服务体验。 Copyright © 2023 布克学术 All rights reserved.
京ICP备2023020795号-1
ghs 京公网安备 11010802042870号
Book学术文献互助
Book学术文献互助群
群 号:604180095
Book学术官方微信