Atypical Presentation of Kikuchi-Fujimoto Disease: Diagnostic Challenges in a Case of Persistent Cervical Lymphadenopathy with Acute Onset Quadriplegia.

IF 1.5 Q3 EMERGENCY MEDICINE
Open Access Emergency Medicine Pub Date : 2025-03-30 eCollection Date: 2025-01-01 DOI:10.2147/OAEM.S507693
Abdullahi Ahmed Ahmed, Ismail Mohamoud Abdullahi, Ismail Gedi Ibrahim
{"title":"Atypical Presentation of Kikuchi-Fujimoto Disease: Diagnostic Challenges in a Case of Persistent Cervical Lymphadenopathy with Acute Onset Quadriplegia.","authors":"Abdullahi Ahmed Ahmed, Ismail Mohamoud Abdullahi, Ismail Gedi Ibrahim","doi":"10.2147/OAEM.S507693","DOIUrl":null,"url":null,"abstract":"<p><p>Kikuchi-Fujimoto disease (KFD), is rare, self-limiting disorder with necrotizing lymphadenitis as its hallmark, can be difficult to diagnose because it may have multiple nonspecific features. The study presented here describes the rare type of KFD that occurred in a young male patient suffering from quadriplegia and who was wrongly diagnosed as having tuberculous lymphadenitis, which is a common cause of lymphadenopathy in tuberculosis-endemic area. A 19-year-old man had presented with two week history of fever, quadriplegia, and cervical lymphadenopathy. On physical examination revealed cervical lymphadenopathy. A laceration procedure was performed to address the lymphadenopathy. The patient was treated with anti-tubercular medication for 11 days. Currently, his urinary and bowel functions are stable, and he is fully conscious, alert, and oriented to time, place, and person. Histopathology showed classical changes in histiocytic necrotizing lymphadenitis in the lymph nodes with no evidence of either tuberculosis or neoplasm. This KFD case is particularly glaring in terms of the obstacles it presented in making a diagnosis due to its endemicity of tuberculosis. The case actually had a complicated clinical picture with KFD's initial presentation of quadriplegia. Hence, the list of differential diagnosis should include KFD as one of the uncommon causes. Timely recognition and appropriate management of KFD can prevent unnecessary treatments and improve patient outcomes.</p>","PeriodicalId":45096,"journal":{"name":"Open Access Emergency Medicine","volume":"17 ","pages":"151-155"},"PeriodicalIF":1.5000,"publicationDate":"2025-03-30","publicationTypes":"Journal Article","fieldsOfStudy":null,"isOpenAccess":false,"openAccessPdf":"https://www.ncbi.nlm.nih.gov/pmc/articles/PMC11967360/pdf/","citationCount":"0","resultStr":null,"platform":"Semanticscholar","paperid":null,"PeriodicalName":"Open Access Emergency Medicine","FirstCategoryId":"1085","ListUrlMain":"https://doi.org/10.2147/OAEM.S507693","RegionNum":0,"RegionCategory":null,"ArticlePicture":[],"TitleCN":null,"AbstractTextCN":null,"PMCID":null,"EPubDate":"2025/1/1 0:00:00","PubModel":"eCollection","JCR":"Q3","JCRName":"EMERGENCY MEDICINE","Score":null,"Total":0}
引用次数: 0

Abstract

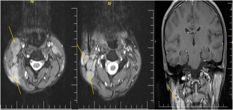
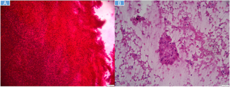
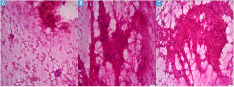
Kikuchi-Fujimoto disease (KFD), is rare, self-limiting disorder with necrotizing lymphadenitis as its hallmark, can be difficult to diagnose because it may have multiple nonspecific features. The study presented here describes the rare type of KFD that occurred in a young male patient suffering from quadriplegia and who was wrongly diagnosed as having tuberculous lymphadenitis, which is a common cause of lymphadenopathy in tuberculosis-endemic area. A 19-year-old man had presented with two week history of fever, quadriplegia, and cervical lymphadenopathy. On physical examination revealed cervical lymphadenopathy. A laceration procedure was performed to address the lymphadenopathy. The patient was treated with anti-tubercular medication for 11 days. Currently, his urinary and bowel functions are stable, and he is fully conscious, alert, and oriented to time, place, and person. Histopathology showed classical changes in histiocytic necrotizing lymphadenitis in the lymph nodes with no evidence of either tuberculosis or neoplasm. This KFD case is particularly glaring in terms of the obstacles it presented in making a diagnosis due to its endemicity of tuberculosis. The case actually had a complicated clinical picture with KFD's initial presentation of quadriplegia. Hence, the list of differential diagnosis should include KFD as one of the uncommon causes. Timely recognition and appropriate management of KFD can prevent unnecessary treatments and improve patient outcomes.

Abstract Image

Abstract Image

Abstract Image

菊池-藤本病的不典型表现:急性四肢瘫痪的持续性颈淋巴肿大病例的诊断挑战。
菊池-藤本氏病(Kikuchi-Fujimoto disease,KFD)是一种以坏死性淋巴结炎为特征的罕见自限性疾病,由于可能具有多种非特异性特征,因此很难诊断。本文介绍的研究描述了一种罕见类型的 KFD,它发生在一名四肢瘫痪的年轻男性患者身上,患者被误诊为结核性淋巴结炎,而结核性淋巴结炎是结核病流行地区淋巴结病的常见病因。一名 19 岁男子因发热、四肢瘫痪和颈淋巴结病就诊两周。体格检查显示他患有颈部淋巴结病。针对淋巴结病进行了撕裂手术。患者接受了 11 天的抗结核药物治疗。目前,他的泌尿和排便功能稳定,意识完全清醒,头脑清醒,对时间、地点和人物有定向力。组织病理学检查显示,淋巴结出现组织细胞坏死性淋巴结炎的典型变化,但没有结核或肿瘤的证据。这个 KFD 病例因其结核病流行而给诊断带来的障碍尤为突出。该病例的临床表现复杂,最初表现为四肢瘫痪。因此,在鉴别诊断中应将 KFD 作为不常见的病因之一。及时识别和适当处理 KFD 可避免不必要的治疗,并改善患者的预后。
本文章由计算机程序翻译,如有差异,请以英文原文为准。
求助全文
约1分钟内获得全文 求助全文
来源期刊
Open Access Emergency Medicine
Open Access Emergency Medicine EMERGENCY MEDICINE-
CiteScore
2.60
自引率
6.70%
发文量
85
审稿时长
16 weeks
×
引用
GB/T 7714-2015
复制
MLA
复制
APA
复制
导出至
BibTeX EndNote RefMan NoteFirst NoteExpress
×
提示
您的信息不完整,为了账户安全,请先补充。
现在去补充
×
提示
您因"违规操作"
具体请查看互助需知
我知道了
×
提示
确定
请完成安全验证×
copy
已复制链接
快去分享给好友吧!
我知道了
右上角分享
点击右上角分享
0
联系我们:info@booksci.cn Book学术提供免费学术资源搜索服务,方便国内外学者检索中英文文献。致力于提供最便捷和优质的服务体验。 Copyright © 2023 布克学术 All rights reserved.
京ICP备2023020795号-1
ghs 京公网安备 11010802042870号
Book学术文献互助
Book学术文献互助群
群 号:604180095
Book学术官方微信