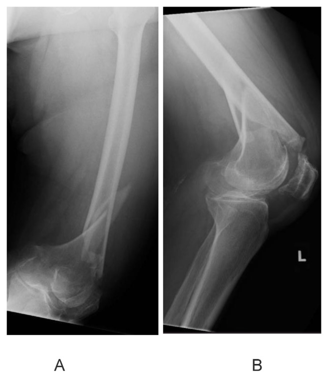
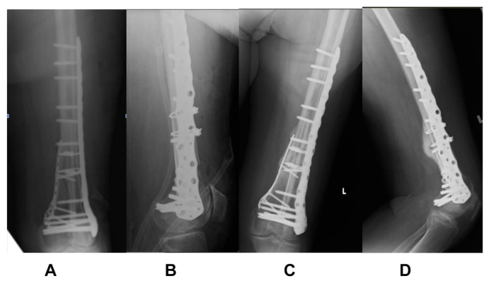
Distal femur fractures: The use of a fibular strut allograft with dual locking plates allows for early weight bearing.

IF 2.5 Q2 MEDICINE, GENERAL & INTERNAL
BioMedicine-Taiwan Pub Date : 2025-03-01 eCollection Date: 2025-01-01 DOI:10.37796/2211-8039.1642
Brian R K Chee, Chenghan Wu, Abhjeet A Salunke, Yongsheng Chen
{"title":"Distal femur fractures: The use of a fibular strut allograft with dual locking plates allows for early weight bearing.","authors":"Brian R K Chee, Chenghan Wu, Abhjeet A Salunke, Yongsheng Chen","doi":"10.37796/2211-8039.1642","DOIUrl":null,"url":null,"abstract":"<p><strong>Introduction: </strong>Distal femur fractures result in high morbidity and mortality - comparable to that of hip fractures. The commonly used surgical fixation techniques today, locked plating and intramedullary nailing, have shown high postoperative complication rates. Thus, many surgeons temporarily keep patients non-weight bearing in the early postoperative stage. Increased time to ambulation after surgery is known to increase systemic complications in patients. We aim to investigate if an augmented fixation technique involving the use of a fibular strut allograft with dual locking plates helps to allow early mobilization postoperatively without adverse outcomes.</p><p><strong>Methods: </strong>Five geriatric patients (four female, one male) with distal femur fractures (native or periprosthetic) were treated in our institution with the aforementioned technique, and were allowed early postoperative weight-bearing. These patients were followed up for postoperative outcomes. The primary outcomes studied were non union, implant failure and wound complications. Secondary outcomes studied include time to union, and Sander's functional score.</p><p><strong>Results: </strong>There were no cases of non-union, implant failure or wound related infection. All patients achieved radiological union (mean = 12.6 weeks). Using Sander's functional scoring, two patients achieved excellent, two achieved good and one had fair outcomes. All patients were followed up for at least 6 months after operation.</p><p><strong>Conclusion: </strong>Our method of augmented fixation with fibular strut allografts potentially allows for early weight bearing without adverse outcomes. Further studies with larger sample sizes are required to validate our findings.</p>","PeriodicalId":51650,"journal":{"name":"BioMedicine-Taiwan","volume":"15 1","pages":"57-64"},"PeriodicalIF":2.5000,"publicationDate":"2025-03-01","publicationTypes":"Journal Article","fieldsOfStudy":null,"isOpenAccess":false,"openAccessPdf":"https://www.ncbi.nlm.nih.gov/pmc/articles/PMC11959962/pdf/","citationCount":"0","resultStr":null,"platform":"Semanticscholar","paperid":null,"PeriodicalName":"BioMedicine-Taiwan","FirstCategoryId":"1085","ListUrlMain":"https://doi.org/10.37796/2211-8039.1642","RegionNum":0,"RegionCategory":null,"ArticlePicture":[],"TitleCN":null,"AbstractTextCN":null,"PMCID":null,"EPubDate":"2025/1/1 0:00:00","PubModel":"eCollection","JCR":"Q2","JCRName":"MEDICINE, GENERAL & INTERNAL","Score":null,"Total":0}
引用次数: 0

Abstract

Introduction: Distal femur fractures result in high morbidity and mortality - comparable to that of hip fractures. The commonly used surgical fixation techniques today, locked plating and intramedullary nailing, have shown high postoperative complication rates. Thus, many surgeons temporarily keep patients non-weight bearing in the early postoperative stage. Increased time to ambulation after surgery is known to increase systemic complications in patients. We aim to investigate if an augmented fixation technique involving the use of a fibular strut allograft with dual locking plates helps to allow early mobilization postoperatively without adverse outcomes.

Methods: Five geriatric patients (four female, one male) with distal femur fractures (native or periprosthetic) were treated in our institution with the aforementioned technique, and were allowed early postoperative weight-bearing. These patients were followed up for postoperative outcomes. The primary outcomes studied were non union, implant failure and wound complications. Secondary outcomes studied include time to union, and Sander's functional score.

Results: There were no cases of non-union, implant failure or wound related infection. All patients achieved radiological union (mean = 12.6 weeks). Using Sander's functional scoring, two patients achieved excellent, two achieved good and one had fair outcomes. All patients were followed up for at least 6 months after operation.

Conclusion: Our method of augmented fixation with fibular strut allografts potentially allows for early weight bearing without adverse outcomes. Further studies with larger sample sizes are required to validate our findings.

Abstract Image

Abstract Image

Abstract Image

股骨远端骨折:使用带双锁定钢板的腓骨支撑异体移植物允许早期负重。
股骨远端骨折导致高发病率和死亡率-与髋部骨折相当。目前常用的手术固定技术,锁定钢板和髓内钉,术后并发症发生率高。因此,许多外科医生在术后早期暂时让患者不负重。术后活动时间增加会增加患者的全身并发症。我们的目的是研究增强固定技术是否包括使用带双锁定钢板的腓骨支撑异体移植物有助于术后早期活动而无不良后果。方法:5例老年患者(4女1男)股骨远端骨折(原生或假体周围)在我院接受上述技术治疗,并允许术后早期负重。对这些患者进行术后随访。研究的主要结果是不愈合、种植体失败和伤口并发症。次要结局包括愈合时间和Sander功能评分。结果:无骨不连、种植体失败或创面相关感染病例。所有患者均实现放射愈合(平均12.6周)。使用Sander功能评分,两名患者达到优秀,两名达到良好,一名达到一般结果。所有患者术后随访至少6个月。结论:我们采用同种异体腓骨支架增强固定的方法有可能使早期负重无不良后果。需要更大样本量的进一步研究来验证我们的发现。
本文章由计算机程序翻译,如有差异,请以英文原文为准。
求助全文
约1分钟内获得全文 求助全文
来源期刊
BioMedicine-Taiwan
BioMedicine-Taiwan MEDICINE, GENERAL & INTERNAL-
CiteScore
2.80
自引率
5.90%
发文量
21
审稿时长
24 weeks
×
引用
GB/T 7714-2015
复制
MLA
复制
APA
复制
导出至
BibTeX EndNote RefMan NoteFirst NoteExpress
×
提示
您的信息不完整,为了账户安全,请先补充。
现在去补充
×
提示
您因"违规操作"
具体请查看互助需知
我知道了
×
提示
确定
请完成安全验证×
copy
已复制链接
快去分享给好友吧!
我知道了
右上角分享
点击右上角分享
0
联系我们:info@booksci.cn Book学术提供免费学术资源搜索服务,方便国内外学者检索中英文文献。致力于提供最便捷和优质的服务体验。 Copyright © 2023 布克学术 All rights reserved.
京ICP备2023020795号-1
ghs 京公网安备 11010802042870号
Book学术文献互助
Book学术文献互助群
群 号:604180095
Book学术官方微信