Acute phantosmia as the first manifestaton of brain metastases in a patient with breast cancer. Case report.

IF 2.5 Q2 MEDICINE, GENERAL & INTERNAL
BioMedicine-Taiwan Pub Date : 2025-03-01 eCollection Date: 2025-01-01 DOI:10.37796/2211-8039.1641
Georgios I Papageorgiou, Nikolaos Skouteris
{"title":"Acute phantosmia as the first manifestaton of brain metastases in a patient with breast cancer. Case report.","authors":"Georgios I Papageorgiou, Nikolaos Skouteris","doi":"10.37796/2211-8039.1641","DOIUrl":null,"url":null,"abstract":"<p><p>Phantosmia belongs to the group of olfactory dysfunctions. It is more commonly described in psychiatric conditions and some cases of viral infections, but it has been also rarely described in cancer patients who develop primary or metastatic central nervous system tumors; the early identification of this symptom in this population is crucial, as it could lead to timely diagnosis and treatment through a multidisciplinary approach. With the current report we present the case of a 60-year-old lady with metastatic breast cancer and without known preexisting brain metastases, who developed acute phantosmia without other neurological deficits; computed tomography of the brain revealed multiple brain metastases, which were attributed to the malignancy, and for which she was effectively treated with whole brain irradiation and antipsychotic as well as anticonvulsant medications. Furthermore, we underline the value of cooperation between the various specialties that could aid in diagnosis and management of this symptomatology. Phantosmia is an extremely rare symptom in cancer patients, and its appearance should alarm physicians to rapidly investigate a possible progression of disease in the central nervous system. Multidisciplinary approach is needed for the optimal management of these patients.</p>","PeriodicalId":51650,"journal":{"name":"BioMedicine-Taiwan","volume":"15 1","pages":"53-56"},"PeriodicalIF":2.5000,"publicationDate":"2025-03-01","publicationTypes":"Journal Article","fieldsOfStudy":null,"isOpenAccess":false,"openAccessPdf":"https://www.ncbi.nlm.nih.gov/pmc/articles/PMC11959957/pdf/","citationCount":"0","resultStr":null,"platform":"Semanticscholar","paperid":null,"PeriodicalName":"BioMedicine-Taiwan","FirstCategoryId":"1085","ListUrlMain":"https://doi.org/10.37796/2211-8039.1641","RegionNum":0,"RegionCategory":null,"ArticlePicture":[],"TitleCN":null,"AbstractTextCN":null,"PMCID":null,"EPubDate":"2025/1/1 0:00:00","PubModel":"eCollection","JCR":"Q2","JCRName":"MEDICINE, GENERAL & INTERNAL","Score":null,"Total":0}
引用次数: 0

Abstract

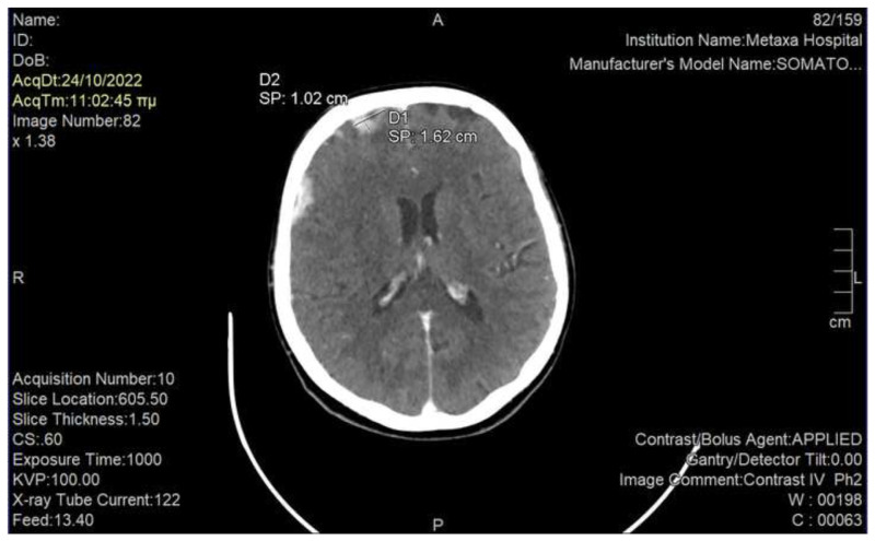
Phantosmia belongs to the group of olfactory dysfunctions. It is more commonly described in psychiatric conditions and some cases of viral infections, but it has been also rarely described in cancer patients who develop primary or metastatic central nervous system tumors; the early identification of this symptom in this population is crucial, as it could lead to timely diagnosis and treatment through a multidisciplinary approach. With the current report we present the case of a 60-year-old lady with metastatic breast cancer and without known preexisting brain metastases, who developed acute phantosmia without other neurological deficits; computed tomography of the brain revealed multiple brain metastases, which were attributed to the malignancy, and for which she was effectively treated with whole brain irradiation and antipsychotic as well as anticonvulsant medications. Furthermore, we underline the value of cooperation between the various specialties that could aid in diagnosis and management of this symptomatology. Phantosmia is an extremely rare symptom in cancer patients, and its appearance should alarm physicians to rapidly investigate a possible progression of disease in the central nervous system. Multidisciplinary approach is needed for the optimal management of these patients.

Abstract Image

Abstract Image

急性幻影症是乳腺癌患者脑转移的第一个表现。病例报告。
幻视属于嗅觉功能障碍。这种症状在精神疾病和某些病毒感染病例中较为常见,但在罹患原发性或转移性中枢神经系统肿瘤的癌症患者中也很少见;在这类人群中尽早发现这种症状至关重要,因为这可以通过多学科方法进行及时诊断和治疗。在本报告中,我们介绍了一位患有转移性乳腺癌的 60 岁女士的病例,她在没有其他神经功能障碍的情况下出现了急性幻视;脑部计算机断层扫描显示她有多个脑转移灶,这些转移灶与恶性肿瘤有关,她接受了全脑照射、抗精神病药物和抗惊厥药物的有效治疗。此外,我们还强调了各专科之间合作的价值,这有助于诊断和治疗这种症状。幻视是癌症患者极为罕见的症状,它的出现应引起医生的警觉,迅速调查中枢神经系统疾病的可能进展。需要采用多学科方法对这些患者进行最佳治疗。
本文章由计算机程序翻译,如有差异,请以英文原文为准。
求助全文
约1分钟内获得全文 求助全文
来源期刊
BioMedicine-Taiwan
BioMedicine-Taiwan MEDICINE, GENERAL & INTERNAL-
CiteScore
2.80
自引率
5.90%
发文量
21
审稿时长
24 weeks
×
引用
GB/T 7714-2015
复制
MLA
复制
APA
复制
导出至
BibTeX EndNote RefMan NoteFirst NoteExpress
×
提示
您的信息不完整,为了账户安全,请先补充。
现在去补充
×
提示
您因"违规操作"
具体请查看互助需知
我知道了
×
提示
确定
请完成安全验证×
copy
已复制链接
快去分享给好友吧!
我知道了
右上角分享
点击右上角分享
0
联系我们:info@booksci.cn Book学术提供免费学术资源搜索服务,方便国内外学者检索中英文文献。致力于提供最便捷和优质的服务体验。 Copyright © 2023 布克学术 All rights reserved.
京ICP备2023020795号-1
ghs 京公网安备 11010802042870号
Book学术文献互助
Book学术文献互助群
群 号:604180095
Book学术官方微信