A case of endovascular treatment for acute portal vein thrombosis following portal vein resection and hepatectomy for hilar cholangiocarcinoma.

IF 0.5 Q4 RADIOLOGY, NUCLEAR MEDICINE & MEDICAL IMAGING
BJR Case Reports Pub Date : 2025-03-20 eCollection Date: 2025-03-01 DOI:10.1093/bjrcr/uaaf017
Sukru Oguz, Hakan Küçükaslan, Gokalp Altun, Dilek Basar, Serdar Topaloglu, Adnan Calik
{"title":"A case of endovascular treatment for acute portal vein thrombosis following portal vein resection and hepatectomy for hilar cholangiocarcinoma.","authors":"Sukru Oguz, Hakan Küçükaslan, Gokalp Altun, Dilek Basar, Serdar Topaloglu, Adnan Calik","doi":"10.1093/bjrcr/uaaf017","DOIUrl":null,"url":null,"abstract":"<p><p>Currently, portal vein (PV) resection is performed in 10%-40% of liver resections performed for hilar cholangiocarcinoma (HC). The defect is generally repaired with a patch of an autologous vein graft or end-to-end anastomosis after complete separation of the main PV trunk and the left PV. Postoperative PV thrombosis is a severe complication occurring in 2%-9% of patients requiring PV reconstruction. Here in, we presented a 55-year-old man with abdominal pain without hyperbilirubinaemia who was diagnosed with HC. The patient underwent right hepatectomy, extrahepatic biliary resection, and PV resection. The PV defect was repaired with autologous umbilical vein graft. Following the operation, acute PV thrombosis was encountered postoperative day 1. We conducted the treatment of the early acute PV thrombosis by intraportal tPA and PV stenting with endovascular approach.</p>","PeriodicalId":45216,"journal":{"name":"BJR Case Reports","volume":"11 2","pages":"uaaf017"},"PeriodicalIF":0.5000,"publicationDate":"2025-03-20","publicationTypes":"Journal Article","fieldsOfStudy":null,"isOpenAccess":false,"openAccessPdf":"https://www.ncbi.nlm.nih.gov/pmc/articles/PMC11964485/pdf/","citationCount":"0","resultStr":null,"platform":"Semanticscholar","paperid":null,"PeriodicalName":"BJR Case Reports","FirstCategoryId":"1085","ListUrlMain":"https://doi.org/10.1093/bjrcr/uaaf017","RegionNum":0,"RegionCategory":null,"ArticlePicture":[],"TitleCN":null,"AbstractTextCN":null,"PMCID":null,"EPubDate":"2025/3/1 0:00:00","PubModel":"eCollection","JCR":"Q4","JCRName":"RADIOLOGY, NUCLEAR MEDICINE & MEDICAL IMAGING","Score":null,"Total":0}
引用次数: 0

Abstract

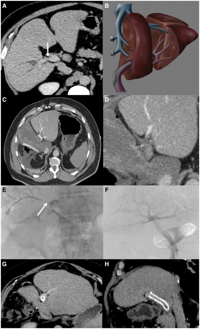
Currently, portal vein (PV) resection is performed in 10%-40% of liver resections performed for hilar cholangiocarcinoma (HC). The defect is generally repaired with a patch of an autologous vein graft or end-to-end anastomosis after complete separation of the main PV trunk and the left PV. Postoperative PV thrombosis is a severe complication occurring in 2%-9% of patients requiring PV reconstruction. Here in, we presented a 55-year-old man with abdominal pain without hyperbilirubinaemia who was diagnosed with HC. The patient underwent right hepatectomy, extrahepatic biliary resection, and PV resection. The PV defect was repaired with autologous umbilical vein graft. Following the operation, acute PV thrombosis was encountered postoperative day 1. We conducted the treatment of the early acute PV thrombosis by intraportal tPA and PV stenting with endovascular approach.

Abstract Image

Abstract Image

肝门部胆管癌门静脉切除及肝切除术后急性门静脉血栓的血管内治疗一例。
目前,门静脉(PV)切除术在肝门部胆管癌(HC)肝切除术中占10%-40%。在PV主干与左侧PV完全分离后,通常采用自体静脉移植补片或端到端吻合修复缺损。术后PV血栓形成是一个严重的并发症,发生在2%-9%需要PV重建的患者中。在这里,我们提出了一个55岁的男性腹痛没有高胆红素血症谁被诊断为HC。患者行右肝切除术、肝外胆道切除术和PV切除术。采用自体脐静脉移植修复PV缺损。术后第1天出现急性PV血栓形成。我们采用门静脉内tPA和血管内入路门静脉支架治疗早期急性静脉血栓形成。
本文章由计算机程序翻译,如有差异,请以英文原文为准。
求助全文
约1分钟内获得全文 求助全文
来源期刊
BJR Case Reports
BJR Case Reports RADIOLOGY, NUCLEAR MEDICINE & MEDICAL IMAGING-
自引率
0.00%
发文量
77
审稿时长
11 weeks
×
引用
GB/T 7714-2015
复制
MLA
复制
APA
复制
导出至
BibTeX EndNote RefMan NoteFirst NoteExpress
×
提示
您的信息不完整,为了账户安全,请先补充。
现在去补充
×
提示
您因"违规操作"
具体请查看互助需知
我知道了
×
提示
确定
请完成安全验证×
copy
已复制链接
快去分享给好友吧!
我知道了
右上角分享
点击右上角分享
0
联系我们:info@booksci.cn Book学术提供免费学术资源搜索服务,方便国内外学者检索中英文文献。致力于提供最便捷和优质的服务体验。 Copyright © 2023 布克学术 All rights reserved.
京ICP备2023020795号-1
ghs 京公网安备 11010802042870号
Book学术文献互助
Book学术文献互助群
群 号:604180095
Book学术官方微信