Aorto‑esophageal Fistula following Botox Injection.

IF 1.3 4区 医学 Q4 RADIOLOGY, NUCLEAR MEDICINE & MEDICAL IMAGING
Journal of the Belgian Society of Radiology Pub Date : 2025-03-25 eCollection Date: 2025-01-01 DOI:10.5334/jbsr.3868
Thomas Saliba, Denis Tack
{"title":"Aorto‑esophageal Fistula following Botox Injection.","authors":"Thomas Saliba, Denis Tack","doi":"10.5334/jbsr.3868","DOIUrl":null,"url":null,"abstract":"<p><p>Aorto‑esophageal fistulas (AEF) are rare, often fatal connections between the thoracic aorta and esophagus, arising from aortic disease, esophageal conditions, or iatrogenic causes. <i>Case:</i> A 76‑year‑old woman, treated for esophageal nutcracker syndrome with endoscopic injection of botox, developed chest pain and esophageal hemorrhage. Computed tomography (CT) confirmed an AEF from an aortic pseudoaneurysm. She succumbed to circulatory collapse before treatment. <i>Discussion:</i> Endoscopic botox injections are a rare cause of AEF. The diagnosis relies on imaging and endoscopy, with surgery often required. <i>Teaching point:</i> Aorto‑esophageal fistulas are rare, life‑threatening complications, particularly after iatrogenic procedures. Early diagnosis is crucial, but prognosis remains poor.</p>","PeriodicalId":55987,"journal":{"name":"Journal of the Belgian Society of Radiology","volume":"109 1","pages":"14"},"PeriodicalIF":1.3000,"publicationDate":"2025-03-25","publicationTypes":"Journal Article","fieldsOfStudy":null,"isOpenAccess":false,"openAccessPdf":"https://www.ncbi.nlm.nih.gov/pmc/articles/PMC11951977/pdf/","citationCount":"0","resultStr":null,"platform":"Semanticscholar","paperid":null,"PeriodicalName":"Journal of the Belgian Society of Radiology","FirstCategoryId":"3","ListUrlMain":"https://doi.org/10.5334/jbsr.3868","RegionNum":4,"RegionCategory":"医学","ArticlePicture":[],"TitleCN":null,"AbstractTextCN":null,"PMCID":null,"EPubDate":"2025/1/1 0:00:00","PubModel":"eCollection","JCR":"Q4","JCRName":"RADIOLOGY, NUCLEAR MEDICINE & MEDICAL IMAGING","Score":null,"Total":0}
引用次数: 0

Abstract

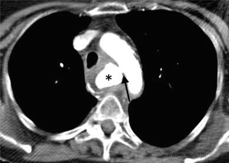
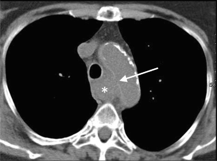
Aorto‑esophageal fistulas (AEF) are rare, often fatal connections between the thoracic aorta and esophagus, arising from aortic disease, esophageal conditions, or iatrogenic causes. Case: A 76‑year‑old woman, treated for esophageal nutcracker syndrome with endoscopic injection of botox, developed chest pain and esophageal hemorrhage. Computed tomography (CT) confirmed an AEF from an aortic pseudoaneurysm. She succumbed to circulatory collapse before treatment. Discussion: Endoscopic botox injections are a rare cause of AEF. The diagnosis relies on imaging and endoscopy, with surgery often required. Teaching point: Aorto‑esophageal fistulas are rare, life‑threatening complications, particularly after iatrogenic procedures. Early diagnosis is crucial, but prognosis remains poor.

Abstract Image

Abstract Image

Abstract Image

肉毒杆菌注射后主动脉食管瘘。
主动脉-食管瘘(AEF)是罕见的,通常是由主动脉疾病、食管疾病或医源性原因引起的胸主动脉和食管之间的致命连接。病例:一名76岁女性,在内镜下注射肉毒杆菌治疗食管胡桃钳综合征,出现胸痛和食管出血。计算机断层扫描(CT)证实了主动脉假性动脉瘤引起的AEF。她在治疗前死于循环系统衰竭。讨论:内窥镜注射肉毒杆菌是一种罕见的AEF的原因。诊断依赖于影像学和内窥镜检查,通常需要手术。教学要点:主动脉-食管瘘是罕见的危及生命的并发症,特别是在医源性手术后。早期诊断至关重要,但预后仍然很差。
本文章由计算机程序翻译,如有差异,请以英文原文为准。
求助全文
约1分钟内获得全文 求助全文
来源期刊
Journal of the Belgian Society of Radiology
Journal of the Belgian Society of Radiology Medicine-Radiology, Nuclear Medicine and Imaging
CiteScore
0.70
自引率
5.00%
发文量
96
期刊介绍: The purpose of the Journal of the Belgian Society of Radiology is the publication of articles dealing with diagnostic and interventional radiology, related imaging techniques, allied sciences, and continuing education.
×
引用
GB/T 7714-2015
复制
MLA
复制
APA
复制
导出至
BibTeX EndNote RefMan NoteFirst NoteExpress
×
提示
您的信息不完整,为了账户安全,请先补充。
现在去补充
×
提示
您因"违规操作"
具体请查看互助需知
我知道了
×
提示
确定
请完成安全验证×
copy
已复制链接
快去分享给好友吧!
我知道了
右上角分享
点击右上角分享
0
联系我们:info@booksci.cn Book学术提供免费学术资源搜索服务,方便国内外学者检索中英文文献。致力于提供最便捷和优质的服务体验。 Copyright © 2023 布克学术 All rights reserved.
京ICP备2023020795号-1
ghs 京公网安备 11010802042870号
Book学术文献互助
Book学术文献互助群
群 号:604180095
Book学术官方微信