Case-based learning: a case of maturity-onset diabetes of the young 5 (MODY5) due to 17q12 microdeletion with a diminished plasma glucagon level.

IF 1.2 Q4 ENDOCRINOLOGY & METABOLISM
Diabetology International Pub Date : 2025-02-17 eCollection Date: 2025-04-01 DOI:10.1007/s13340-025-00804-2
Yoko Sugano, Motohiro Sekiya, Yuki Murayama, Yoshinori Osaki, Hitoshi Iwasaki, Hiroaki Suzuki, Hiroko Fukushima, Hisato Suzuki, Emiko Noguchi, Hitoshi Shimano
{"title":"Case-based learning: a case of maturity-onset diabetes of the young 5 (MODY5) due to 17q12 microdeletion with a diminished plasma glucagon level.","authors":"Yoko Sugano, Motohiro Sekiya, Yuki Murayama, Yoshinori Osaki, Hitoshi Iwasaki, Hiroaki Suzuki, Hiroko Fukushima, Hisato Suzuki, Emiko Noguchi, Hitoshi Shimano","doi":"10.1007/s13340-025-00804-2","DOIUrl":null,"url":null,"abstract":"<p><p>Maturity-onset diabetes of the young type 5 (MODY5), causally associated with loss-of-function of the <i>HNF1B</i> gene, is a rare form of monogenic diabetes that has been underdiagnosed in part because microdeletions of chromosome 17q12 encompassing the <i>HNF1B</i> gene cannot be detected by sequencing-based approaches, which accounts for about 50% of MODY5 cases. We herein describe a 37-year-old Japanese woman who manifested diabetic ketosis at the onset. The coexistence of features associated with MODY5, including abnormal renal function, impaired insulin secretion, pancreatic hypoplasia and hypomagnesemia, prompted us to decode her genomic information using whole-exome sequencing, where we were not able to identify any pathogenic <i>HNF1B</i> gene mutations. We further examined her genomic integrity using multiplex ligation probe amplification (MLPA) analysis, leading to identification of the 17q12 microdeletion which was further supported by array comparative genomic hybridization (array-CGH). Her insulin secretory capacity was insufficient, whereas her total daily dose of insulin was 11 U/day (0.25 U/Kg/day), indicating that she was relatively sensitive to insulin. As a possible explanation, we found that her plasma glucagon level was below the detection limit. Since inactivation of acetyl-CoA carboxylase 1 (<i>ACACA</i>), encoded in close proximity to the <i>HNF1B</i> gene, was reported to blunt glucagon secretion, the concurrent deletion of the <i>ACACA</i> gene may be in part responsible for this manifestation. In conclusion, the genetic analyses of MODY5 cases require the judicious use of appropriate genetic technologies. In addition, alpha-cell dysfunction may at least in part account for the variable clinical manifestations of MODY5.</p><p><strong>Supplementary information: </strong>The online version contains supplementary material available at 10.1007/s13340-025-00804-2.</p>","PeriodicalId":11340,"journal":{"name":"Diabetology International","volume":"16 2","pages":"432-438"},"PeriodicalIF":1.2000,"publicationDate":"2025-02-17","publicationTypes":"Journal Article","fieldsOfStudy":null,"isOpenAccess":false,"openAccessPdf":"https://www.ncbi.nlm.nih.gov/pmc/articles/PMC11954765/pdf/","citationCount":"0","resultStr":null,"platform":"Semanticscholar","paperid":null,"PeriodicalName":"Diabetology International","FirstCategoryId":"1085","ListUrlMain":"https://doi.org/10.1007/s13340-025-00804-2","RegionNum":0,"RegionCategory":null,"ArticlePicture":[],"TitleCN":null,"AbstractTextCN":null,"PMCID":null,"EPubDate":"2025/4/1 0:00:00","PubModel":"eCollection","JCR":"Q4","JCRName":"ENDOCRINOLOGY & METABOLISM","Score":null,"Total":0}
引用次数: 0

Abstract

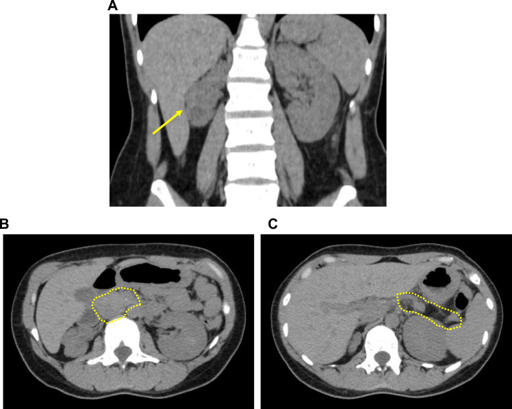
Maturity-onset diabetes of the young type 5 (MODY5), causally associated with loss-of-function of the HNF1B gene, is a rare form of monogenic diabetes that has been underdiagnosed in part because microdeletions of chromosome 17q12 encompassing the HNF1B gene cannot be detected by sequencing-based approaches, which accounts for about 50% of MODY5 cases. We herein describe a 37-year-old Japanese woman who manifested diabetic ketosis at the onset. The coexistence of features associated with MODY5, including abnormal renal function, impaired insulin secretion, pancreatic hypoplasia and hypomagnesemia, prompted us to decode her genomic information using whole-exome sequencing, where we were not able to identify any pathogenic HNF1B gene mutations. We further examined her genomic integrity using multiplex ligation probe amplification (MLPA) analysis, leading to identification of the 17q12 microdeletion which was further supported by array comparative genomic hybridization (array-CGH). Her insulin secretory capacity was insufficient, whereas her total daily dose of insulin was 11 U/day (0.25 U/Kg/day), indicating that she was relatively sensitive to insulin. As a possible explanation, we found that her plasma glucagon level was below the detection limit. Since inactivation of acetyl-CoA carboxylase 1 (ACACA), encoded in close proximity to the HNF1B gene, was reported to blunt glucagon secretion, the concurrent deletion of the ACACA gene may be in part responsible for this manifestation. In conclusion, the genetic analyses of MODY5 cases require the judicious use of appropriate genetic technologies. In addition, alpha-cell dysfunction may at least in part account for the variable clinical manifestations of MODY5.

Supplementary information: The online version contains supplementary material available at 10.1007/s13340-025-00804-2.

Abstract Image

Abstract Image

基于案例的学习:一例由于17q12微缺失导致血浆胰高血糖素水平降低的5岁儿童成熟型糖尿病(MODY5)。
成熟-发病型青年糖尿病 5 型(MODY5)与 HNF1B 基因功能缺失有因果关系,是一种罕见的单基因糖尿病,部分原因是基于测序的方法无法检测到包含 HNF1B 基因的 17q12 染色体的微缺失,而这种微缺失约占 MODY5 病例的 50%,因此该病一直未得到充分诊断。我们在本文中描述了一名 37 岁的日本女性,她在发病时表现为糖尿病酮症。她同时具有与 MODY5 相关的特征,包括肾功能异常、胰岛素分泌受损、胰腺功能减退和低镁血症,这促使我们使用全外显子组测序技术对她的基因组信息进行解码,但未能发现任何致病性 HNF1B 基因突变。我们使用多重连接探针扩增(MLPA)分析法进一步检查了她的基因组完整性,从而确定了 17q12 微缺失,并通过阵列比较基因组杂交(array-CGH)进一步证实了这一点。她的胰岛素分泌能力不足,而她每天的胰岛素总剂量为 11 U/天(0.25 U/Kg/天),这表明她对胰岛素相对敏感。作为一种可能的解释,我们发现她的血浆胰高血糖素水平低于检测限。据报道,与 HNF1B 基因相近的乙酰-CoA 羧化酶 1(ACACA)的失活会抑制胰高血糖素的分泌,因此 ACACA 基因的同时缺失可能是导致这种表现的部分原因。总之,对 MODY5 病例进行基因分析需要明智地使用适当的基因技术。此外,α-细胞功能障碍可能至少是MODY5临床表现多变的部分原因:在线版本包含补充材料,可查阅 10.1007/s13340-025-00804-2。
本文章由计算机程序翻译,如有差异,请以英文原文为准。
求助全文
约1分钟内获得全文 求助全文
来源期刊
Diabetology International
Diabetology International ENDOCRINOLOGY & METABOLISM-
CiteScore
3.90
自引率
4.50%
发文量
42
期刊介绍: Diabetology International, the official journal of the Japan Diabetes Society, publishes original research articles about experimental research and clinical studies in diabetes and related areas. The journal also presents editorials, reviews, commentaries, reports of expert committees, and case reports on any aspect of diabetes. Diabetology International welcomes submissions from researchers, clinicians, and health professionals throughout the world who are interested in research, treatment, and care of patients with diabetes. All manuscripts are peer-reviewed to assure that high-quality information in the field of diabetes is made available to readers. Manuscripts are reviewed with due respect for the author''s confidentiality. At the same time, reviewers also have rights to confidentiality, which are respected by the editors. The journal follows a single-blind review procedure, where the reviewers are aware of the names and affiliations of the authors, but the reviewer reports provided to authors are anonymous. Single-blind peer review is the traditional model of peer review that many reviewers are comfortable with, and it facilitates a dispassionate critique of a manuscript.
×
引用
GB/T 7714-2015
复制
MLA
复制
APA
复制
导出至
BibTeX EndNote RefMan NoteFirst NoteExpress
×
提示
您的信息不完整,为了账户安全,请先补充。
现在去补充
×
提示
您因"违规操作"
具体请查看互助需知
我知道了
×
提示
确定
请完成安全验证×
copy
已复制链接
快去分享给好友吧!
我知道了
右上角分享
点击右上角分享
0
联系我们:info@booksci.cn Book学术提供免费学术资源搜索服务,方便国内外学者检索中英文文献。致力于提供最便捷和优质的服务体验。 Copyright © 2023 布克学术 All rights reserved.
京ICP备2023020795号-1
ghs 京公网安备 11010802042870号
Book学术文献互助
Book学术文献互助群
群 号:604180095
Book学术官方微信