Acute Internal Pelvic Hernia: A Complex Diagnostic Challenge.

CRSLS : MIS case reports from SLS Pub Date : 2025-03-25 eCollection Date: 2025-01-01 DOI:10.4293/CRSLS.2024.00074
Ahmad Kaleem, Deema Othman, Carlos Yanez, Jody Miller
{"title":"Acute Internal Pelvic Hernia: A Complex Diagnostic Challenge.","authors":"Ahmad Kaleem, Deema Othman, Carlos Yanez, Jody Miller","doi":"10.4293/CRSLS.2024.00074","DOIUrl":null,"url":null,"abstract":"<p><strong>Introduction: </strong>Internal abdominopelvic hernias, whether congenital or acquired, are a rare cause of acute small bowel obstruction. Symptoms range from recurrent abdominal pain to acute obstruction, which can lead to severe complications like bowel ischemia, perforation, or death if untreated. Diagnosis is often difficult due to variable symptoms, but prompt surgical intervention is crucial to prevent life-threatening outcomes.</p><p><strong>Case description: </strong>We treated a 42-year-old female airline cabin crew member who presented with colicky abdominal pain, bilious vomiting, and lower abdominal tenderness. Her abdominal computed tomography (CT) scan showed small bowel obstruction with loops of small bowel predominantly in the left lower abdomen. She had a history of a single episode of similar abdominal pain many years prior, which resolved spontaneously. The rest of her history was unremarkable. She received nonoperative management initially, but due to persistent abdominal pain and vomiting, a diagnostic laparoscopy was done. The diagnostic laparoscopy showed congested but viable small bowel herniating into a peritoneal defect through the lateral part of left broad ligament at the lateral pelvic wall into the retroperitoneum. The hernia was reduced, and the defect was repaired. Postoperatively, she had an uncomplicated recovery.</p><p><strong>Discussion: </strong>Internal hernia is an important differential diagnosis in patients presenting with an acute abdomen, especially with a history of recurrent small bowel obstructions, regardless of surgical history. Physicians need to have a high index of suspicion to diagnose and treat this condition without delay, preventing morbidity and mortality in this patient group.</p>","PeriodicalId":72723,"journal":{"name":"CRSLS : MIS case reports from SLS","volume":"12 1","pages":""},"PeriodicalIF":0.0000,"publicationDate":"2025-03-25","publicationTypes":"Journal Article","fieldsOfStudy":null,"isOpenAccess":false,"openAccessPdf":"https://www.ncbi.nlm.nih.gov/pmc/articles/PMC11938174/pdf/","citationCount":"0","resultStr":null,"platform":"Semanticscholar","paperid":null,"PeriodicalName":"CRSLS : MIS case reports from SLS","FirstCategoryId":"1085","ListUrlMain":"https://doi.org/10.4293/CRSLS.2024.00074","RegionNum":0,"RegionCategory":null,"ArticlePicture":[],"TitleCN":null,"AbstractTextCN":null,"PMCID":null,"EPubDate":"2025/1/1 0:00:00","PubModel":"eCollection","JCR":"","JCRName":"","Score":null,"Total":0}
引用次数: 0

Abstract

Introduction: Internal abdominopelvic hernias, whether congenital or acquired, are a rare cause of acute small bowel obstruction. Symptoms range from recurrent abdominal pain to acute obstruction, which can lead to severe complications like bowel ischemia, perforation, or death if untreated. Diagnosis is often difficult due to variable symptoms, but prompt surgical intervention is crucial to prevent life-threatening outcomes.

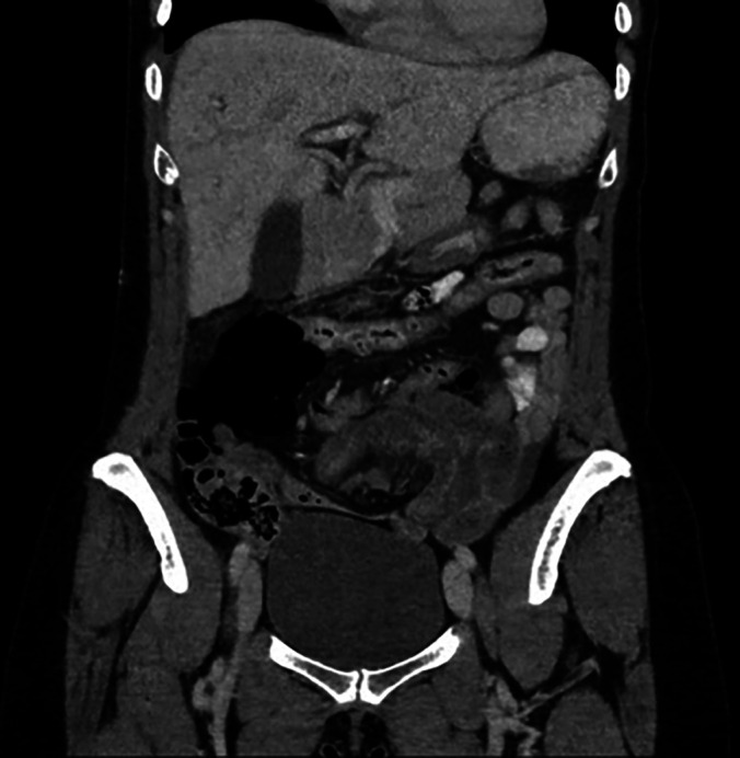
Case description: We treated a 42-year-old female airline cabin crew member who presented with colicky abdominal pain, bilious vomiting, and lower abdominal tenderness. Her abdominal computed tomography (CT) scan showed small bowel obstruction with loops of small bowel predominantly in the left lower abdomen. She had a history of a single episode of similar abdominal pain many years prior, which resolved spontaneously. The rest of her history was unremarkable. She received nonoperative management initially, but due to persistent abdominal pain and vomiting, a diagnostic laparoscopy was done. The diagnostic laparoscopy showed congested but viable small bowel herniating into a peritoneal defect through the lateral part of left broad ligament at the lateral pelvic wall into the retroperitoneum. The hernia was reduced, and the defect was repaired. Postoperatively, she had an uncomplicated recovery.

Discussion: Internal hernia is an important differential diagnosis in patients presenting with an acute abdomen, especially with a history of recurrent small bowel obstructions, regardless of surgical history. Physicians need to have a high index of suspicion to diagnose and treat this condition without delay, preventing morbidity and mortality in this patient group.

Abstract Image

Abstract Image

Abstract Image

急性盆腔内疝:一个复杂的诊断挑战。
腹腔内疝,无论是先天性的还是后天的,都是一种罕见的急性小肠梗阻的原因。症状范围从反复腹痛到急性梗阻,如果不治疗,可能导致严重的并发症,如肠缺血、穿孔或死亡。由于症状多变,诊断往往很困难,但及时的手术干预对于防止危及生命的结果至关重要。病例描述:我们治疗了一名42岁的女性航空公司空乘人员,她表现为腹痛、胆汁性呕吐和下腹部压痛。腹部计算机断层扫描(CT)显示小肠梗阻,小肠袢主要位于左下腹。多年前,她曾有过一次类似的腹痛,后来自行消退。她之后的经历平淡无奇。她最初接受非手术治疗,但由于持续腹痛和呕吐,进行了腹腔镜诊断。诊断性腹腔镜检查显示充血但存活的小肠通过左侧骨盆壁宽韧带外侧部分进入腹膜后,进入腹膜缺损。疝缩小,缺损修复。术后,她恢复得很顺利。讨论:腹内疝是急腹症患者的重要鉴别诊断,尤其是有复发性小肠梗阻病史的患者,与手术史无关。医生需要有高度的怀疑指数来诊断和治疗这种情况,不延误,防止发病率和死亡率在这一患者群体。
本文章由计算机程序翻译,如有差异,请以英文原文为准。
求助全文
约1分钟内获得全文 求助全文
来源期刊
自引率
0.00%
发文量
0
×
引用
GB/T 7714-2015
复制
MLA
复制
APA
复制
导出至
BibTeX EndNote RefMan NoteFirst NoteExpress
×
提示
您的信息不完整,为了账户安全,请先补充。
现在去补充
×
提示
您因"违规操作"
具体请查看互助需知
我知道了
×
提示
确定
请完成安全验证×
copy
已复制链接
快去分享给好友吧!
我知道了
右上角分享
点击右上角分享
0
联系我们:info@booksci.cn Book学术提供免费学术资源搜索服务,方便国内外学者检索中英文文献。致力于提供最便捷和优质的服务体验。 Copyright © 2023 布克学术 All rights reserved.
京ICP备2023020795号-1
ghs 京公网安备 11010802042870号
Book学术文献互助
Book学术文献互助群
群 号:604180095
Book学术官方微信