Liver Transplantation in 3 Cholestatic Infants With History of COVID Exposure.

IF 1.3 4区 医学 Q3 PATHOLOGY
Shruti Sakhuja, Kalyani R Patel, Matthew Goss, Flor M Munoz, Garrett Wortham, Megan Crawford, John A Goss, Nhu Thao Galvan
{"title":"Liver Transplantation in 3 Cholestatic Infants With History of COVID Exposure.","authors":"Shruti Sakhuja, Kalyani R Patel, Matthew Goss, Flor M Munoz, Garrett Wortham, Megan Crawford, John A Goss, Nhu Thao Galvan","doi":"10.1177/10935266251325335","DOIUrl":null,"url":null,"abstract":"<p><p>The COVID-19 pandemic presents several challenges during pregnancy including thromboembolic complications, direct placental infection, transplacental transmission, and systemic hyperinflammatory state. The liver is the second most commonly affected organ in SARS-CoV-2 infection after the lungs. Mechanisms of liver injury in COVID-19 patients can include: direct viral cytopathic effect, worsening of underlying liver disease, cytokine storm, hypoxic ischemic injury, and cholangiopathy leading to persistent marked cholestasis. Here we describe 3 infants at Texas Children's Hospital with perinatal SARS-CoV-2 exposure with persistent cholestasis and histologic evidence of extrahepatic biliary obstruction suggesting underlying biliary atresia (BA) with some atypical features possibly exacerbated by SARS-CoV-2 infection. All 3 patients described in this case series developed liver failure in the setting of low GGT cholestasis, and all 3 required liver transplantation within the first year of life. Though post-COVID cholangiopathy is described in adults in the literature, none of the infants in our series had moderate or severe COVID infection but still progressed to advanced liver disease. Instead it is very likely that the patients in our series had underlying BA with some atypical features, with the commonality of having been exposed perinatally to SARS-CoV-2 Though further studies are needed to determine causality, our case series raises the question of if the timing of exposure/infection plays a role in prognosis.</p>","PeriodicalId":54634,"journal":{"name":"Pediatric and Developmental Pathology","volume":" ","pages":"10935266251325335"},"PeriodicalIF":1.3000,"publicationDate":"2025-03-28","publicationTypes":"Journal Article","fieldsOfStudy":null,"isOpenAccess":false,"openAccessPdf":"https://www.ncbi.nlm.nih.gov/pmc/articles/PMC12241674/pdf/","citationCount":"0","resultStr":null,"platform":"Semanticscholar","paperid":null,"PeriodicalName":"Pediatric and Developmental Pathology","FirstCategoryId":"3","ListUrlMain":"https://doi.org/10.1177/10935266251325335","RegionNum":4,"RegionCategory":"医学","ArticlePicture":[],"TitleCN":null,"AbstractTextCN":null,"PMCID":null,"EPubDate":"","PubModel":"","JCR":"Q3","JCRName":"PATHOLOGY","Score":null,"Total":0}
引用次数: 0

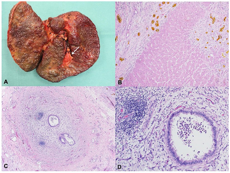
Abstract

The COVID-19 pandemic presents several challenges during pregnancy including thromboembolic complications, direct placental infection, transplacental transmission, and systemic hyperinflammatory state. The liver is the second most commonly affected organ in SARS-CoV-2 infection after the lungs. Mechanisms of liver injury in COVID-19 patients can include: direct viral cytopathic effect, worsening of underlying liver disease, cytokine storm, hypoxic ischemic injury, and cholangiopathy leading to persistent marked cholestasis. Here we describe 3 infants at Texas Children's Hospital with perinatal SARS-CoV-2 exposure with persistent cholestasis and histologic evidence of extrahepatic biliary obstruction suggesting underlying biliary atresia (BA) with some atypical features possibly exacerbated by SARS-CoV-2 infection. All 3 patients described in this case series developed liver failure in the setting of low GGT cholestasis, and all 3 required liver transplantation within the first year of life. Though post-COVID cholangiopathy is described in adults in the literature, none of the infants in our series had moderate or severe COVID infection but still progressed to advanced liver disease. Instead it is very likely that the patients in our series had underlying BA with some atypical features, with the commonality of having been exposed perinatally to SARS-CoV-2 Though further studies are needed to determine causality, our case series raises the question of if the timing of exposure/infection plays a role in prognosis.

Abstract Image

Abstract Image

Abstract Image

3例有COVID暴露史的胆汁淤积婴儿的肝移植
COVID-19大流行给妊娠期带来了一些挑战,包括血栓栓塞并发症、胎盘直接感染、经胎盘传播和全身性高炎症状态。在SARS-CoV-2感染中,肝脏是仅次于肺部的第二个最常受影响的器官。COVID-19患者肝损伤的机制包括:直接的病毒细胞病变作用、肝脏基础疾病恶化、细胞因子风暴、缺氧缺血性损伤、胆管病变导致持续明显的胆汁淤积。在这里,我们描述了德克萨斯州儿童医院的3名围产期暴露于SARS-CoV-2的婴儿,他们有持续性胆汁淤积和肝外胆道梗阻的组织学证据,表明潜在的胆道闭锁(BA)具有一些不典型特征,可能因SARS-CoV-2感染而加剧。在本病例系列中描述的所有3例患者在低GGT胆汁淤积的情况下都发生了肝衰竭,并且所有3例患者在出生后的第一年都需要肝移植。虽然在文献中描述了成人的COVID后胆管病,但在我们的系列研究中,没有婴儿出现中度或重度COVID感染,但仍进展为晚期肝病。相反,我们系列中的患者很可能具有潜在的BA,具有一些非典型特征,其共性是围产期暴露于SARS-CoV-2,尽管需要进一步的研究来确定因果关系,但我们的病例系列提出了暴露/感染时间是否在预后中起作用的问题。
本文章由计算机程序翻译,如有差异,请以英文原文为准。
求助全文
约1分钟内获得全文 求助全文
来源期刊
CiteScore
3.70
自引率
5.30%
发文量
59
审稿时长
6-12 weeks
期刊介绍: The Journal covers the spectrum of disorders of early development (including embryology, placentology, and teratology), gestational and perinatal diseases, and all diseases of childhood. Studies may be in any field of experimental, anatomic, or clinical pathology, including molecular pathology. Case reports are published only if they provide new insights into disease mechanisms or new information.
×
引用
GB/T 7714-2015
复制
MLA
复制
APA
复制
导出至
BibTeX EndNote RefMan NoteFirst NoteExpress
×
提示
您的信息不完整,为了账户安全,请先补充。
现在去补充
×
提示
您因"违规操作"
具体请查看互助需知
我知道了
×
提示
确定
请完成安全验证×
copy
已复制链接
快去分享给好友吧!
我知道了
右上角分享
点击右上角分享
0
联系我们:info@booksci.cn Book学术提供免费学术资源搜索服务,方便国内外学者检索中英文文献。致力于提供最便捷和优质的服务体验。 Copyright © 2023 布克学术 All rights reserved.
京ICP备2023020795号-1
ghs 京公网安备 11010802042870号
Book学术文献互助
Book学术文献互助群
群 号:604180095
Book学术官方微信