Management of subepithelial esophageal tumors.

IF 1.2 Q2 SURGERY
Innovative Surgical Sciences Pub Date : 2024-08-20 eCollection Date: 2025-03-01 DOI:10.1515/iss-2023-0011
Marcel A Schneider, Diana Vetter, Christian A Gutschow
{"title":"Management of subepithelial esophageal tumors.","authors":"Marcel A Schneider, Diana Vetter, Christian A Gutschow","doi":"10.1515/iss-2023-0011","DOIUrl":null,"url":null,"abstract":"<p><p>Subepithelial esophageal tumors (SET) are normally benign intramural esophageal lesions of mesenchymal origin. Although rare, the incidence of SET has increased in recent decades due to the more widespread use of endoscopy and diagnostic imaging. The current review aims to provide an overview of the histopathologic spectrum and the most frequent entities including leiomyoma and gastrointestinal stromal tumor (GIST), diagnostic workup, and multidisciplinary treatment options. Staging for SET should include endoscopy, endoscopic ultrasonography (EUS), and tissue sampling. Current consensus guidelines recommend that SET suggestive of gastrointestinal stromal tumor (GIST) larger than 20 mm or lesions with high-risk stigmata should undergo tissue sampling. Most SET have an excellent long-term outcome, but malignancy may be present in certain subtypes. Asymptomatic SET without high-risk stigmata discovered incidentally usually do not require specific treatment. However, depending on the size and location of the lesion symptoms may occur. Therapeutic interventions range from endoscopic interventional resections to major surgical procedures. Enucleation via minimally invasive or robotic-assisted access remains the standard of care for most SET sub-entities.</p>","PeriodicalId":44186,"journal":{"name":"Innovative Surgical Sciences","volume":"10 1","pages":"21-30"},"PeriodicalIF":1.2000,"publicationDate":"2024-08-20","publicationTypes":"Journal Article","fieldsOfStudy":null,"isOpenAccess":false,"openAccessPdf":"https://www.ncbi.nlm.nih.gov/pmc/articles/PMC11934943/pdf/","citationCount":"0","resultStr":null,"platform":"Semanticscholar","paperid":null,"PeriodicalName":"Innovative Surgical Sciences","FirstCategoryId":"1085","ListUrlMain":"https://doi.org/10.1515/iss-2023-0011","RegionNum":0,"RegionCategory":null,"ArticlePicture":[],"TitleCN":null,"AbstractTextCN":null,"PMCID":null,"EPubDate":"2025/3/1 0:00:00","PubModel":"eCollection","JCR":"Q2","JCRName":"SURGERY","Score":null,"Total":0}
引用次数: 0

Abstract

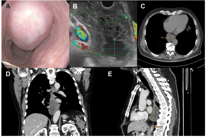
Subepithelial esophageal tumors (SET) are normally benign intramural esophageal lesions of mesenchymal origin. Although rare, the incidence of SET has increased in recent decades due to the more widespread use of endoscopy and diagnostic imaging. The current review aims to provide an overview of the histopathologic spectrum and the most frequent entities including leiomyoma and gastrointestinal stromal tumor (GIST), diagnostic workup, and multidisciplinary treatment options. Staging for SET should include endoscopy, endoscopic ultrasonography (EUS), and tissue sampling. Current consensus guidelines recommend that SET suggestive of gastrointestinal stromal tumor (GIST) larger than 20 mm or lesions with high-risk stigmata should undergo tissue sampling. Most SET have an excellent long-term outcome, but malignancy may be present in certain subtypes. Asymptomatic SET without high-risk stigmata discovered incidentally usually do not require specific treatment. However, depending on the size and location of the lesion symptoms may occur. Therapeutic interventions range from endoscopic interventional resections to major surgical procedures. Enucleation via minimally invasive or robotic-assisted access remains the standard of care for most SET sub-entities.

Abstract Image

Abstract Image

Abstract Image

食管上皮下肿瘤的治疗。
食管上皮下肿瘤(SET)通常是良性食管壁内的间质病变。虽然罕见,但近几十年来,由于内窥镜检查和诊断成像的广泛应用,SET的发病率有所增加。本综述旨在提供组织病理学谱和最常见的实体,包括平滑肌瘤和胃肠道间质瘤(GIST),诊断检查和多学科治疗方案的概述。SET的分期应包括内窥镜检查、内窥镜超声检查和组织取样。目前的共识指南建议,当胃肠道间质瘤(GIST)大于20 mm或病变伴有高危红斑时,应进行组织采样。大多数SET有良好的长期预后,但某些亚型可能存在恶性肿瘤。偶然发现的无症状且无高危柱头的SET通常不需要特殊治疗。然而,根据病变的大小和位置,可能会出现症状。治疗干预措施范围从内窥镜介入切除到主要外科手术。通过微创或机器人辅助摘除眼球仍然是大多数SET亚实体的标准治疗方法。
本文章由计算机程序翻译,如有差异,请以英文原文为准。
求助全文
约1分钟内获得全文 求助全文
来源期刊
CiteScore
5.40
自引率
0.00%
发文量
29
审稿时长
11 weeks
×
引用
GB/T 7714-2015
复制
MLA
复制
APA
复制
导出至
BibTeX EndNote RefMan NoteFirst NoteExpress
×
提示
您的信息不完整,为了账户安全,请先补充。
现在去补充
×
提示
您因"违规操作"
具体请查看互助需知
我知道了
×
提示
确定
请完成安全验证×
copy
已复制链接
快去分享给好友吧!
我知道了
右上角分享
点击右上角分享
0
联系我们:info@booksci.cn Book学术提供免费学术资源搜索服务,方便国内外学者检索中英文文献。致力于提供最便捷和优质的服务体验。 Copyright © 2023 布克学术 All rights reserved.
京ICP备2023020795号-1
ghs 京公网安备 11010802042870号
Book学术文献互助
Book学术文献互助群
群 号:604180095
Book学术官方微信