Mending the Valve, Burdening the Kidney: A Case of Renal Hemosiderosis With Mitral Valve Repair.

Case Reports in Nephrology Pub Date : 2025-03-19 eCollection Date: 2025-01-01 DOI:10.1155/crin/2777348
Sadikshya Bhandari, Tenzin Tamdin, Raymond Raut
{"title":"Mending the Valve, Burdening the Kidney: A Case of Renal Hemosiderosis With Mitral Valve Repair.","authors":"Sadikshya Bhandari, Tenzin Tamdin, Raymond Raut","doi":"10.1155/crin/2777348","DOIUrl":null,"url":null,"abstract":"<p><p>Renal hemosiderosis, marked by the buildup of hemosiderin in the renal cortex due to chronic intravascular hemolysis, can lead to acute kidney injury. Iron deposited may exacerbate renal damage through processes like lipid peroxidation and free radical formation, impacting cellular function and precipitating renal disease. Although seen commonly with chronic intravascular hemolysis in the setting of sickle cell anemia, thalassemia, and in the setting of prosthetic cardiac valves. While acute renal failure following prosthetic cardiac valve placement is relatively uncommon, some cases of renal injury in the setting of mechanical hemolysis have been reported, in the postsurgical period, typically within 2 weeks. In this case report, we present a 67-year-old male patient, following mitral valve repair, who developed anemia within 2 weeks of the repair. Evaluation with echocardiography did not initially show findings of worsening mitral regurgitation, however, his anemia and kidney function worsened over the next 6 months. Further evaluation, during that time showed worsening mitral valve regurgitation in repeated echocardiography, with renal hemosiderosis confirmed via kidney biopsy, revealing glomerulosclerosis with hemosiderin deposits. Due to persisting anemia and worsening kidney function, the patient is being planned for a mitral valve replacement. The potential recovery of renal function remains uncertain. Despite the common occurrence of intravascular hemolysis following prosthetic valve placement or valve repair, only a few cases of acute renal failure have been reported. In these cases, severe hemolytic anemia developed shortly after surgery, within 2 weeks, with increased levels of creatinine, even reported as high as 8.2 mg/dL and renal biopsy revealed acute tubular injury and widespread tubular hemosiderosis, resembling the findings in the index case. Diagnosis depends on the evaluation of anemia, showing signs of hemolysis, with echocardiology findings of worsening valvular abnormalities, and kidney biopsy findings showing hemosiderin deposits. Treatment strategies encompass the management of anemia alongside considerations for either mitral valve replacement or repair. This case underscores the importance of considering the possibility of renal hemosiderosis, associated with mitral valve repair. The delay in diagnosis observed in this case is not uncommon, and timely recognition becomes pertinent to prevent irreversible renal injury and improve long-term outcomes.</p>","PeriodicalId":9604,"journal":{"name":"Case Reports in Nephrology","volume":"2025 ","pages":"2777348"},"PeriodicalIF":0.0000,"publicationDate":"2025-03-19","publicationTypes":"Journal Article","fieldsOfStudy":null,"isOpenAccess":false,"openAccessPdf":"https://www.ncbi.nlm.nih.gov/pmc/articles/PMC11944868/pdf/","citationCount":"0","resultStr":null,"platform":"Semanticscholar","paperid":null,"PeriodicalName":"Case Reports in Nephrology","FirstCategoryId":"1085","ListUrlMain":"https://doi.org/10.1155/crin/2777348","RegionNum":0,"RegionCategory":null,"ArticlePicture":[],"TitleCN":null,"AbstractTextCN":null,"PMCID":null,"EPubDate":"2025/1/1 0:00:00","PubModel":"eCollection","JCR":"","JCRName":"","Score":null,"Total":0}
引用次数: 0

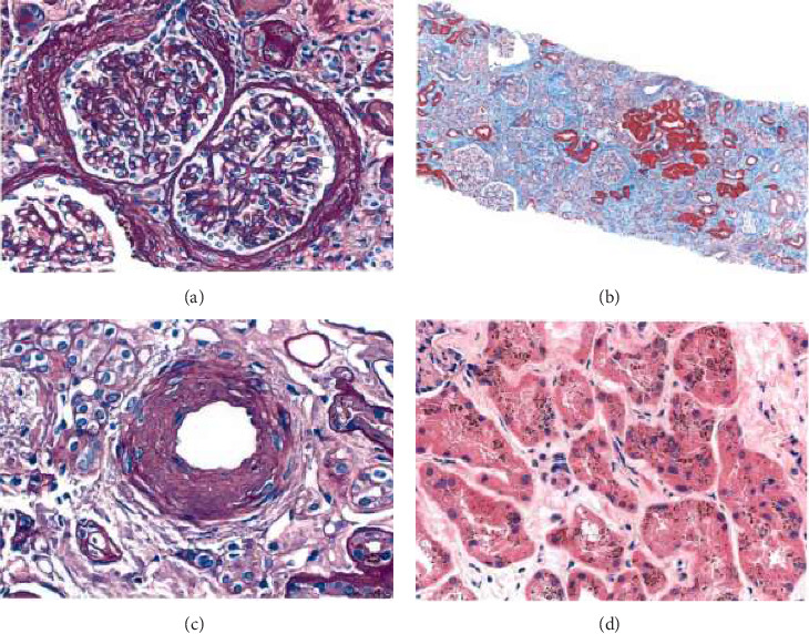
Abstract

Renal hemosiderosis, marked by the buildup of hemosiderin in the renal cortex due to chronic intravascular hemolysis, can lead to acute kidney injury. Iron deposited may exacerbate renal damage through processes like lipid peroxidation and free radical formation, impacting cellular function and precipitating renal disease. Although seen commonly with chronic intravascular hemolysis in the setting of sickle cell anemia, thalassemia, and in the setting of prosthetic cardiac valves. While acute renal failure following prosthetic cardiac valve placement is relatively uncommon, some cases of renal injury in the setting of mechanical hemolysis have been reported, in the postsurgical period, typically within 2 weeks. In this case report, we present a 67-year-old male patient, following mitral valve repair, who developed anemia within 2 weeks of the repair. Evaluation with echocardiography did not initially show findings of worsening mitral regurgitation, however, his anemia and kidney function worsened over the next 6 months. Further evaluation, during that time showed worsening mitral valve regurgitation in repeated echocardiography, with renal hemosiderosis confirmed via kidney biopsy, revealing glomerulosclerosis with hemosiderin deposits. Due to persisting anemia and worsening kidney function, the patient is being planned for a mitral valve replacement. The potential recovery of renal function remains uncertain. Despite the common occurrence of intravascular hemolysis following prosthetic valve placement or valve repair, only a few cases of acute renal failure have been reported. In these cases, severe hemolytic anemia developed shortly after surgery, within 2 weeks, with increased levels of creatinine, even reported as high as 8.2 mg/dL and renal biopsy revealed acute tubular injury and widespread tubular hemosiderosis, resembling the findings in the index case. Diagnosis depends on the evaluation of anemia, showing signs of hemolysis, with echocardiology findings of worsening valvular abnormalities, and kidney biopsy findings showing hemosiderin deposits. Treatment strategies encompass the management of anemia alongside considerations for either mitral valve replacement or repair. This case underscores the importance of considering the possibility of renal hemosiderosis, associated with mitral valve repair. The delay in diagnosis observed in this case is not uncommon, and timely recognition becomes pertinent to prevent irreversible renal injury and improve long-term outcomes.

Abstract Image

Abstract Image

修补瓣膜加重肾脏负担:二尖瓣修复肾性含铁血黄素沉着1例。
肾含铁血黄素沉着症,以慢性血管内溶血导致肾皮质含铁血黄素积聚为特征,可导致急性肾损伤。铁沉积可通过脂质过氧化和自由基形成等过程加重肾脏损害,影响细胞功能并诱发肾脏疾病。虽然常见于镰状细胞性贫血、地中海贫血和人工心脏瓣膜的慢性血管内溶血。虽然人工心脏瓣膜置换术后的急性肾功能衰竭相对罕见,但有一些机械性溶血导致肾损伤的病例报道,通常发生在术后2周内。在这个病例报告中,我们报告了一位67岁的男性患者,在二尖瓣修复后2周内出现贫血。超声心动图评估最初未显示二尖瓣返流恶化,然而,在接下来的6个月里,他的贫血和肾功能恶化。进一步的评估显示,在此期间,反复超声心动图显示二尖瓣反流恶化,肾活检证实肾含铁血黄素沉着,显示肾小球硬化伴含铁血黄素沉积。由于持续贫血和肾功能恶化,患者正计划进行二尖瓣置换术。肾功能恢复的可能性仍不确定。尽管在人工瓣膜置放或瓣膜修复后血管内溶血是常见的,但只有少数急性肾功能衰竭的病例被报道。在这些病例中,术后2周内出现严重溶血性贫血,肌酐水平升高,甚至高达8.2 mg/dL,肾活检显示急性肾小管损伤和广泛的肾小管含铁血黄素沉着,与上述病例相似。诊断依赖于贫血的评估,有溶血迹象,超声心动图显示瓣膜异常恶化,肾活检显示含铁血黄素沉积。治疗策略包括贫血的管理以及二尖瓣置换或修复的考虑。本病例强调考虑与二尖瓣修复相关的肾含铁血黄素沉着的可能性的重要性。在本病例中观察到的诊断延迟并不罕见,及时识别对于预防不可逆肾损伤和改善长期预后至关重要。
本文章由计算机程序翻译,如有差异,请以英文原文为准。
求助全文
约1分钟内获得全文 求助全文
来源期刊
Case Reports in Nephrology
Case Reports in Nephrology Medicine-Nephrology
CiteScore
1.70
自引率
0.00%
发文量
32
×
引用
GB/T 7714-2015
复制
MLA
复制
APA
复制
导出至
BibTeX EndNote RefMan NoteFirst NoteExpress
×
提示
您的信息不完整,为了账户安全,请先补充。
现在去补充
×
提示
您因"违规操作"
具体请查看互助需知
我知道了
×
提示
确定
请完成安全验证×
copy
已复制链接
快去分享给好友吧!
我知道了
右上角分享
点击右上角分享
0
联系我们:info@booksci.cn Book学术提供免费学术资源搜索服务,方便国内外学者检索中英文文献。致力于提供最便捷和优质的服务体验。 Copyright © 2023 布克学术 All rights reserved.
京ICP备2023020795号-1
ghs 京公网安备 11010802042870号
Book学术文献互助
Book学术文献互助群
群 号:604180095
Book学术官方微信