Pseudogout of the temporomandibular joint: a case report with systematic literature review.

IF 2.4 3区 医学 Q2 DENTISTRY, ORAL SURGERY & MEDICINE
Journal of Oral & Facial Pain and Headache Pub Date : 2025-03-01 Epub Date: 2025-03-12 DOI:10.22514/jofph.2025.004
Matteo Val, Mirko Ragazzo, Anna Colonna, Marco Ferrari, Edoardo Ferrari Cagidiaco, Daniele Manfredini, Luca Guarda Nardini
{"title":"Pseudogout of the temporomandibular joint: a case report with systematic literature review.","authors":"Matteo Val, Mirko Ragazzo, Anna Colonna, Marco Ferrari, Edoardo Ferrari Cagidiaco, Daniele Manfredini, Luca Guarda Nardini","doi":"10.22514/jofph.2025.004","DOIUrl":null,"url":null,"abstract":"<p><strong>Background: </strong>Calcium pyrophosphate dihydrate deposition disease (CPPD) is a metabolic disease resulting in acute arthritis. CPPD often affects joints containing fibrocartilage. The purpose of this review is to examine the clinical presentations, prevalence, and treatment modalities associated with CPPD when it affects the temporomandibular joint (TMJ).</p><p><strong>Methods: </strong>A search, following PRISMA guideline, was conducted in various electronic databases (PubMed, Scopus, Web of Science) to find relevant studies about CPPD in the temporomandibular joint. The search spanned from 01 January 1980, to 31 January 2024. A case report was also presented.</p><p><strong>Results: </strong>A systematic review of literature identified 64 papers, reaching a total of 74 cases of CPPD of the temporomandibular joint TMJ. CPPD is a condition that typically affects middle-aged or older patients, with an average age of around 60 at the time of diagnosis. Females are affected more frequently than males. Most cases involve unilateral TMJ involvement, and common symptoms include pain, reduced mouth opening, and swelling. Different papers also describe severe stages of the invasion of muscles, parotid gland, and even brain structure. Surgery has the preferred treatment option for most Authors and is mandatory for late-stage lesions. The recurrence rate is extremely low.</p><p><strong>Conclusions: </strong>CPPD is an uncommon, locally invasive, and typically benign condition that rarely affects the TMJ. Distinguishing CPDD in the TMJ from other neoplasms poses diagnostic challenges. A definitive diagnosis necessitates histological examination and quantitative microanalysis. In our patient, successful excision of CPDD in the TMJ was achieved using an external approach.</p><p><strong>The prospero registration: </strong>PROSPERO number is CRD42024558402.</p>","PeriodicalId":48800,"journal":{"name":"Journal of Oral & Facial Pain and Headache","volume":"39 1","pages":"49-69"},"PeriodicalIF":2.4000,"publicationDate":"2025-03-01","publicationTypes":"Journal Article","fieldsOfStudy":null,"isOpenAccess":false,"openAccessPdf":"https://www.ncbi.nlm.nih.gov/pmc/articles/PMC11934741/pdf/","citationCount":"0","resultStr":null,"platform":"Semanticscholar","paperid":null,"PeriodicalName":"Journal of Oral & Facial Pain and Headache","FirstCategoryId":"3","ListUrlMain":"https://doi.org/10.22514/jofph.2025.004","RegionNum":3,"RegionCategory":"医学","ArticlePicture":[],"TitleCN":null,"AbstractTextCN":null,"PMCID":null,"EPubDate":"2025/3/12 0:00:00","PubModel":"Epub","JCR":"Q2","JCRName":"DENTISTRY, ORAL SURGERY & MEDICINE","Score":null,"Total":0}
引用次数: 0

Abstract

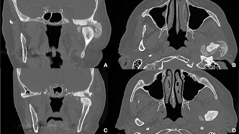
Background: Calcium pyrophosphate dihydrate deposition disease (CPPD) is a metabolic disease resulting in acute arthritis. CPPD often affects joints containing fibrocartilage. The purpose of this review is to examine the clinical presentations, prevalence, and treatment modalities associated with CPPD when it affects the temporomandibular joint (TMJ).

Methods: A search, following PRISMA guideline, was conducted in various electronic databases (PubMed, Scopus, Web of Science) to find relevant studies about CPPD in the temporomandibular joint. The search spanned from 01 January 1980, to 31 January 2024. A case report was also presented.

Results: A systematic review of literature identified 64 papers, reaching a total of 74 cases of CPPD of the temporomandibular joint TMJ. CPPD is a condition that typically affects middle-aged or older patients, with an average age of around 60 at the time of diagnosis. Females are affected more frequently than males. Most cases involve unilateral TMJ involvement, and common symptoms include pain, reduced mouth opening, and swelling. Different papers also describe severe stages of the invasion of muscles, parotid gland, and even brain structure. Surgery has the preferred treatment option for most Authors and is mandatory for late-stage lesions. The recurrence rate is extremely low.

Conclusions: CPPD is an uncommon, locally invasive, and typically benign condition that rarely affects the TMJ. Distinguishing CPDD in the TMJ from other neoplasms poses diagnostic challenges. A definitive diagnosis necessitates histological examination and quantitative microanalysis. In our patient, successful excision of CPDD in the TMJ was achieved using an external approach.

The prospero registration: PROSPERO number is CRD42024558402.

Abstract Image

Abstract Image

Abstract Image

假性颞下颌关节脱位1例并系统文献复习。
背景:焦磷酸钙二水合物沉积病(CPPD)是一种导致急性关节炎的代谢性疾病。CPPD常影响含纤维软骨的关节。本综述的目的是研究CPPD影响颞下颌关节(TMJ)时的临床表现、患病率和治疗方式。方法:按照PRISMA指南,在PubMed、Scopus、Web of Science等电子数据库中检索有关颞下颌关节CPPD的相关研究。搜寻时间为1980年1月1日至2024年1月31日。还提出了一份病例报告。结果:系统回顾文献64篇,共发现74例颞下颌关节的CPPD。CPPD通常影响中年或老年患者,诊断时的平均年龄约为60岁。女性比男性更容易受到影响。大多数病例涉及单侧颞下颌关节受累,常见症状包括疼痛、开口缩小和肿胀。不同的论文也描述了严重阶段的肌肉,腮腺,甚至大脑结构的入侵。手术是大多数作者首选的治疗选择,对于晚期病变是强制性的。复发率极低。结论:CPPD是一种罕见的、局部侵袭性的、典型的良性疾病,很少影响TMJ。将颞下颌关节的CPDD与其他肿瘤区分开来是诊断上的挑战。明确的诊断需要组织学检查和定量微量分析。本例患者采用外入路成功切除颞下颌关节CPDD。普洛斯彼罗注册:普洛斯彼罗号码为CRD42024558402。
本文章由计算机程序翻译,如有差异,请以英文原文为准。
求助全文
约1分钟内获得全文 求助全文
来源期刊
Journal of Oral & Facial Pain and Headache
Journal of Oral & Facial Pain and Headache DENTISTRY, ORAL SURGERY & MEDICINE-
CiteScore
5.10
自引率
4.00%
发文量
18
期刊介绍: Founded upon sound scientific principles, this journal continues to make important contributions that strongly influence the work of dental and medical professionals involved in treating oral and facial pain, including temporomandibular disorders, and headache. In addition to providing timely scientific research and clinical articles, the journal presents diagnostic techniques and treatment therapies for oral and facial pain, headache, mandibular dysfunction, and occlusion and covers pharmacology, physical therapy, surgery, and other pain-management methods.
×
引用
GB/T 7714-2015
复制
MLA
复制
APA
复制
导出至
BibTeX EndNote RefMan NoteFirst NoteExpress
×
提示
您的信息不完整,为了账户安全,请先补充。
现在去补充
×
提示
您因"违规操作"
具体请查看互助需知
我知道了
×
提示
确定
请完成安全验证×
copy
已复制链接
快去分享给好友吧!
我知道了
右上角分享
点击右上角分享
0
联系我们:info@booksci.cn Book学术提供免费学术资源搜索服务,方便国内外学者检索中英文文献。致力于提供最便捷和优质的服务体验。 Copyright © 2023 布克学术 All rights reserved.
京ICP备2023020795号-1
ghs 京公网安备 11010802042870号
Book学术文献互助
Book学术文献互助群
群 号:604180095
Book学术官方微信