Computed tomography-guided percutaneous biopsy in diagnosis of suspected metastatic renal cell carcinoma: which location is the most suitable?

IF 1.9 4区 医学 Q2 SURGERY
Videosurgery and Other Miniinvasive Techniques Pub Date : 2024-07-31 eCollection Date: 2024-10-16 DOI:10.20452/wiitm.2024.17894
Petr Hoffmann, Michal Balik, Martina Hoffmannova, Jindrich Kopecky, Pavel Ryska, Jana Draganovicova, Petr Dvorak
{"title":"Computed tomography-guided percutaneous biopsy in diagnosis of suspected metastatic renal cell carcinoma: which location is the most suitable?","authors":"Petr Hoffmann, Michal Balik, Martina Hoffmannova, Jindrich Kopecky, Pavel Ryska, Jana Draganovicova, Petr Dvorak","doi":"10.20452/wiitm.2024.17894","DOIUrl":null,"url":null,"abstract":"<p><strong>Introduction: </strong>Systemic targeted therapy options are commonly used in patients with metastatic renal cell carcinoma (mRCC). Histological verification is crucial for treatment of mRCC.</p><p><strong>Aim: </strong>Our aim was to evaluate an optimal location for percutaneous computed tomography‑guided biopsy in a diagnosis of suspected mRCC.</p><p><strong>Materials and methods: </strong>A total of 138 percutaneous biopsies for tumors ranging from 21 to 133 mm in diameter (median, 72 mm) were carried out in 134 patients with suspected mRCC over a 5‑year period. The biopsy location was variable, with kidney biopsy performed in 77 cases (55.8%), and other localizations (retroperitoneum, peritoneal cavity, liver, pelvis, pleural space, lung, mediastinum, chest or abdominal wall, and pancreas) in 61 cases (44.2%).</p><p><strong>Results: </strong>As many as 288 biopsies (97.1%), yielded truepositive results, and 4 procedures (2.9%) yielded histologically falsenegative results that required confirmation through extended rebiopsy. RCC was the most common individual diagnosis (85.5%), with non‑RCC histology verified in 14.5% of cases. In total, 32 complications (23.2%) were confirmed, 2 of which were pneumothoraces, 29 were minor bleeding that needed only conservative management, and 1 case required angiography and embolization for hemorrhage treatment. While no significant relationship between the biopsy success and lesion localization (renal vs other) was found (P = 0.13), the relationship between complication rate and biopsy localization (renal vs other) was significant (P = 0.01).</p><p><strong>Conclusions: </strong>Lesion localization (renal vs other) was not relevant to histological accuracy of the biop‑ sies performed in patients with suspected mRCC. However, the biopsies of lesions outside the kidney had a lower complication rate.</p>","PeriodicalId":49361,"journal":{"name":"Videosurgery and Other Miniinvasive Techniques","volume":"19 3","pages":"361-369"},"PeriodicalIF":1.9000,"publicationDate":"2024-07-31","publicationTypes":"Journal Article","fieldsOfStudy":null,"isOpenAccess":false,"openAccessPdf":"https://www.ncbi.nlm.nih.gov/pmc/articles/PMC11927550/pdf/","citationCount":"0","resultStr":null,"platform":"Semanticscholar","paperid":null,"PeriodicalName":"Videosurgery and Other Miniinvasive Techniques","FirstCategoryId":"3","ListUrlMain":"https://doi.org/10.20452/wiitm.2024.17894","RegionNum":4,"RegionCategory":"医学","ArticlePicture":[],"TitleCN":null,"AbstractTextCN":null,"PMCID":null,"EPubDate":"2024/10/16 0:00:00","PubModel":"eCollection","JCR":"Q2","JCRName":"SURGERY","Score":null,"Total":0}
引用次数: 0

Abstract

Introduction: Systemic targeted therapy options are commonly used in patients with metastatic renal cell carcinoma (mRCC). Histological verification is crucial for treatment of mRCC.

Aim: Our aim was to evaluate an optimal location for percutaneous computed tomography‑guided biopsy in a diagnosis of suspected mRCC.

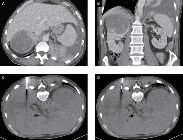
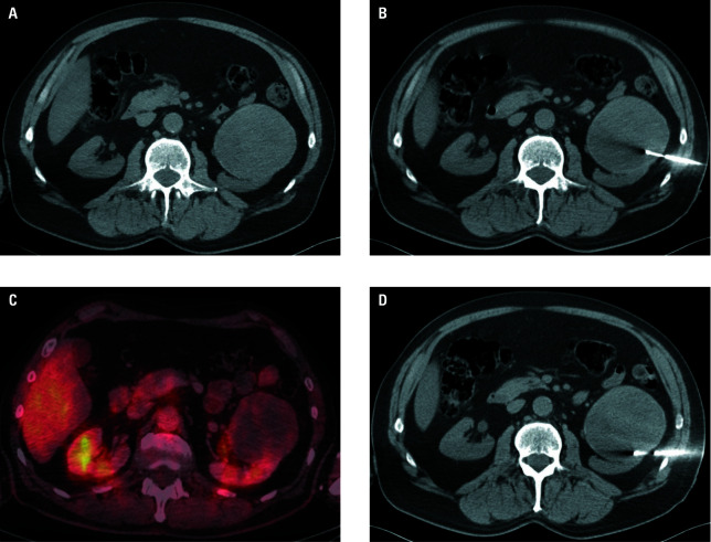
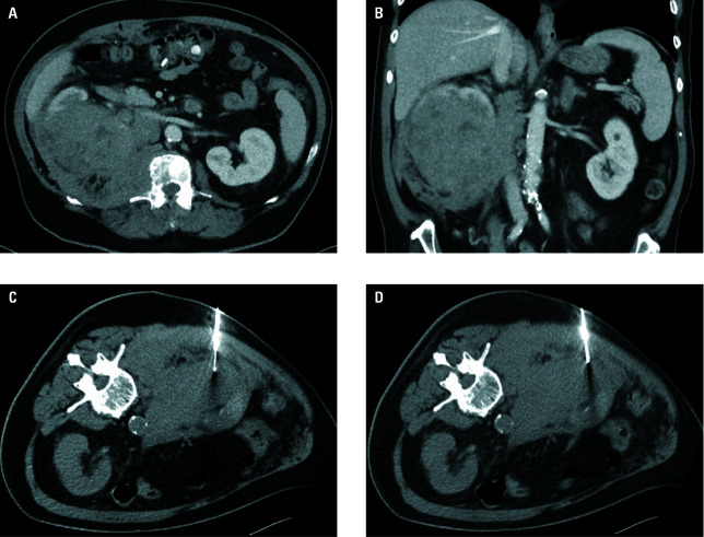
Materials and methods: A total of 138 percutaneous biopsies for tumors ranging from 21 to 133 mm in diameter (median, 72 mm) were carried out in 134 patients with suspected mRCC over a 5‑year period. The biopsy location was variable, with kidney biopsy performed in 77 cases (55.8%), and other localizations (retroperitoneum, peritoneal cavity, liver, pelvis, pleural space, lung, mediastinum, chest or abdominal wall, and pancreas) in 61 cases (44.2%).

Results: As many as 288 biopsies (97.1%), yielded truepositive results, and 4 procedures (2.9%) yielded histologically falsenegative results that required confirmation through extended rebiopsy. RCC was the most common individual diagnosis (85.5%), with non‑RCC histology verified in 14.5% of cases. In total, 32 complications (23.2%) were confirmed, 2 of which were pneumothoraces, 29 were minor bleeding that needed only conservative management, and 1 case required angiography and embolization for hemorrhage treatment. While no significant relationship between the biopsy success and lesion localization (renal vs other) was found (P = 0.13), the relationship between complication rate and biopsy localization (renal vs other) was significant (P = 0.01).

Conclusions: Lesion localization (renal vs other) was not relevant to histological accuracy of the biop‑ sies performed in patients with suspected mRCC. However, the biopsies of lesions outside the kidney had a lower complication rate.

Abstract Image

Abstract Image

Abstract Image

计算机断层扫描引导下经皮活检诊断疑似转移性肾细胞癌:哪个部位最合适?
系统性靶向治疗方案通常用于转移性肾细胞癌(mRCC)患者。组织学验证对于mRCC的治疗至关重要。目的:我们的目的是评估经皮计算机断层扫描引导活检诊断疑似mRCC的最佳位置。材料和方法:在5年的时间里,134例疑似mRCC患者共进行了138次经皮活检,肿瘤直径从21到133毫米(中位数为72毫米)。活检位置不同,肾活检77例(55.8%),其他定位(腹膜后、腹膜腔、肝脏、骨盆、胸膜间隙、肺、纵隔、胸或腹壁、胰腺)61例(44.2%)。结果:288例(97.1%)活检结果为真阳性,4例(2.9%)活检结果为组织学假阴性,需再次活检确认。RCC是最常见的个体诊断(85.5%),14.5%的病例证实非RCC组织学。共确诊并发症32例(23.2%),其中气胸2例,轻度出血29例,只需保守处理,1例需要血管造影及栓塞治疗出血。活检成功率与病变定位(肾脏与其他)无显著相关性(P = 0.13),并发症发生率与活检定位(肾脏与其他)有显著相关性(P = 0.01)。结论:病变定位(肾脏或其他)与疑似mRCC患者活检的组织学准确性无关。然而,肾外病变活检的并发症发生率较低。
本文章由计算机程序翻译,如有差异,请以英文原文为准。
求助全文
约1分钟内获得全文 求助全文
来源期刊
CiteScore
2.80
自引率
23.50%
发文量
48
审稿时长
12 weeks
期刊介绍: Videosurgery and other miniinvasive techniques serves as a forum for exchange of multidisciplinary experiences in fields such as: surgery, gynaecology, urology, gastroenterology, neurosurgery, ENT surgery, cardiac surgery, anaesthesiology and radiology, as well as other branches of medicine dealing with miniinvasive techniques.
×
引用
GB/T 7714-2015
复制
MLA
复制
APA
复制
导出至
BibTeX EndNote RefMan NoteFirst NoteExpress
×
提示
您的信息不完整,为了账户安全,请先补充。
现在去补充
×
提示
您因"违规操作"
具体请查看互助需知
我知道了
×
提示
确定
请完成安全验证×
copy
已复制链接
快去分享给好友吧!
我知道了
右上角分享
点击右上角分享
0
联系我们:info@booksci.cn Book学术提供免费学术资源搜索服务,方便国内外学者检索中英文文献。致力于提供最便捷和优质的服务体验。 Copyright © 2023 布克学术 All rights reserved.
京ICP备2023020795号-1
ghs 京公网安备 11010802042870号
Book学术文献互助
Book学术文献互助群
群 号:604180095
Book学术官方微信