Papillary thyroid carcinoma in a branchial cleft cyst.

IF 0.7 Q4 ENDOCRINOLOGY & METABOLISM
Luke Vroegindewey, John Kim, Dennis J Joseph
{"title":"Papillary thyroid carcinoma in a branchial cleft cyst.","authors":"Luke Vroegindewey, John Kim, Dennis J Joseph","doi":"10.1530/EDM-24-0136","DOIUrl":null,"url":null,"abstract":"<p><strong>Summary: </strong>Papillary thyroid carcinoma (PTC) in a branchial cleft cyst (BCC) is exceedingly rare. This case report describes a 53-year-old male with a BCC containing PTC. Despite normal preoperative thyroid imaging, total thyroidectomy revealed multifocal bilateral micropapillary thyroid carcinoma with a contralateral metastatic lymph node, suggesting an aggressive disease course. This finding supports the likelihood that thyroid gland carcinoma metastasized to the BCC. However, the possibility of a primary tumor arising from ectopic thyroid tissue within the cyst cannot be excluded. To our knowledge, this is the 11th reported case of papillary thyroid cancer noted in a BCC. The patient underwent successful treatment, including radioiodine ablation, highlighting the importance of thorough diagnostic evaluation and management in such rare presentations.</p><p><strong>Learning points: </strong>While most BCCs are benign, PTC can very rarely present within BCC. Metastatic PTC with a necrotic lymph node is often misdiagnosed as BCC, both radiographically and histologically. Since PTC arising as a primary tumor from ectopic thyroid tissue within a BCC is extremely rare, total thyroidectomy should be considered even in patients with radiographically normal thyroid to rule out micropapillary primary thyroid tumors. A thyroglobulin assay from the needle washout of a fine-needle aspiration of a BCC may help preoperatively identify differentiated thyroid cancers. Micropapillary thyroid cancers (<1 cm) are usually indolent, but some may show nodal metastases and clinical progression.</p>","PeriodicalId":37467,"journal":{"name":"Endocrinology, Diabetes and Metabolism Case Reports","volume":"2025 1","pages":""},"PeriodicalIF":0.7000,"publicationDate":"2025-03-24","publicationTypes":"Journal Article","fieldsOfStudy":null,"isOpenAccess":false,"openAccessPdf":"https://www.ncbi.nlm.nih.gov/pmc/articles/PMC11964585/pdf/","citationCount":"0","resultStr":null,"platform":"Semanticscholar","paperid":null,"PeriodicalName":"Endocrinology, Diabetes and Metabolism Case Reports","FirstCategoryId":"1085","ListUrlMain":"https://doi.org/10.1530/EDM-24-0136","RegionNum":0,"RegionCategory":null,"ArticlePicture":[],"TitleCN":null,"AbstractTextCN":null,"PMCID":null,"EPubDate":"2025/1/1 0:00:00","PubModel":"Print","JCR":"Q4","JCRName":"ENDOCRINOLOGY & METABOLISM","Score":null,"Total":0}
引用次数: 0

Abstract

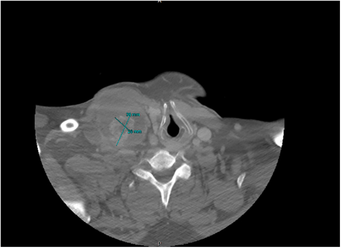
Summary: Papillary thyroid carcinoma (PTC) in a branchial cleft cyst (BCC) is exceedingly rare. This case report describes a 53-year-old male with a BCC containing PTC. Despite normal preoperative thyroid imaging, total thyroidectomy revealed multifocal bilateral micropapillary thyroid carcinoma with a contralateral metastatic lymph node, suggesting an aggressive disease course. This finding supports the likelihood that thyroid gland carcinoma metastasized to the BCC. However, the possibility of a primary tumor arising from ectopic thyroid tissue within the cyst cannot be excluded. To our knowledge, this is the 11th reported case of papillary thyroid cancer noted in a BCC. The patient underwent successful treatment, including radioiodine ablation, highlighting the importance of thorough diagnostic evaluation and management in such rare presentations.

Learning points: While most BCCs are benign, PTC can very rarely present within BCC. Metastatic PTC with a necrotic lymph node is often misdiagnosed as BCC, both radiographically and histologically. Since PTC arising as a primary tumor from ectopic thyroid tissue within a BCC is extremely rare, total thyroidectomy should be considered even in patients with radiographically normal thyroid to rule out micropapillary primary thyroid tumors. A thyroglobulin assay from the needle washout of a fine-needle aspiration of a BCC may help preoperatively identify differentiated thyroid cancers. Micropapillary thyroid cancers (<1 cm) are usually indolent, but some may show nodal metastases and clinical progression.

Abstract Image

Abstract Image

Abstract Image

鳃裂囊肿中的甲状腺乳头状癌。
摘要:鳃裂囊肿合并甲状腺乳头状癌(PTC)极为罕见。这个病例报告描述了一个53岁的男性BCC含有PTC。尽管术前甲状腺成像正常,但全甲状腺切除术显示多灶性双侧微乳头状甲状腺癌伴对侧转移淋巴结,提示病程侵袭性。这一发现支持了甲状腺癌转移至基底细胞癌的可能性。然而,不能排除囊肿内异位甲状腺组织引起原发性肿瘤的可能性。据我们所知,这是第11例报告的乳头状甲状腺癌在BCC注意到。患者接受了成功的治疗,包括放射性碘消融术,强调了在这种罕见的表现中进行彻底诊断评估和管理的重要性。学习要点:虽然大多数BCC是良性的,但PTC很少出现在BCC中。伴有坏死淋巴结的转移性PTC在影像学和组织学上常被误诊为BCC。由于PTC作为原发性肿瘤起源于BCC内异位甲状腺组织极为罕见,因此即使在放射学上甲状腺正常的患者中,也应考虑全甲状腺切除术,以排除微乳头状原发性甲状腺肿瘤。从细针穿刺BCC的针冲洗中进行甲状腺球蛋白测定可能有助于术前识别分化的甲状腺癌。甲状腺微乳头状癌(
本文章由计算机程序翻译,如有差异,请以英文原文为准。
求助全文
约1分钟内获得全文 求助全文
来源期刊
CiteScore
1.50
自引率
0.00%
发文量
142
审稿时长
9 weeks
期刊介绍: Endocrinology, Diabetes & Metabolism Case Reports publishes case reports on common and rare conditions in all areas of clinical endocrinology, diabetes and metabolism. Articles should include clear learning points which readers can use to inform medical education or clinical practice. The types of cases of interest to Endocrinology, Diabetes & Metabolism Case Reports include: -Insight into disease pathogenesis or mechanism of therapy - Novel diagnostic procedure - Novel treatment - Unique/unexpected symptoms or presentations of a disease - New disease or syndrome: presentations/diagnosis/management - Unusual effects of medical treatment - Error in diagnosis/pitfalls and caveats
×
引用
GB/T 7714-2015
复制
MLA
复制
APA
复制
导出至
BibTeX EndNote RefMan NoteFirst NoteExpress
×
提示
您的信息不完整,为了账户安全,请先补充。
现在去补充
×
提示
您因"违规操作"
具体请查看互助需知
我知道了
×
提示
确定
请完成安全验证×
copy
已复制链接
快去分享给好友吧!
我知道了
右上角分享
点击右上角分享
0
联系我们:info@booksci.cn Book学术提供免费学术资源搜索服务,方便国内外学者检索中英文文献。致力于提供最便捷和优质的服务体验。 Copyright © 2023 布克学术 All rights reserved.
京ICP备2023020795号-1
ghs 京公网安备 11010802042870号
Book学术文献互助
Book学术文献互助群
群 号:604180095
Book学术官方微信