Following Multiple Failed Reconstructions of a Distal Femur Fracture, Osseous Union Achieved After Superficial Femoral Artery Endarterectomy.

IF 1.2 Q2 MEDICINE, GENERAL & INTERNAL
Shane Johns, William Curtis, Rick Gehlert
{"title":"Following Multiple Failed Reconstructions of a Distal Femur Fracture, Osseous Union Achieved After Superficial Femoral Artery Endarterectomy.","authors":"Shane Johns, William Curtis, Rick Gehlert","doi":"10.31486/toj.24.0058","DOIUrl":null,"url":null,"abstract":"<p><strong>Background: </strong>Nonunion of a distal femur fracture is a serious complication in which bone healing ceases or fails to resolve, often necessitating further surgical intervention. Poor blood supply and unstable fixation have been identified as contributing factors to osseous nonunion. In this case, we highlight a challenging femur fracture that achieved osseous union only after resolution of a superficial femoral artery occlusion via endarterectomy that improved blood flow to the fracture site.</p><p><strong>Case report: </strong>A 54-year-old male was involved in a high-speed motor vehicle accident that resulted in a left distal femur fracture. The patient underwent multiple reconstructive procedures that were complicated by hardware failure and recurrent nonunion. Prior to the sixth reconstruction, a superficial femoral artery occlusion was discovered and addressed with endarterectomy. The sixth and final procedure resulted in osseous union and stable fixation of the femur fracture.</p><p><strong>Conclusion: </strong>A missed superficial femoral artery occlusion likely contributed to the delay in achieving osseous union of a traumatic comminuted distal femur fracture.</p>","PeriodicalId":47600,"journal":{"name":"Ochsner Journal","volume":"25 1","pages":"54-58"},"PeriodicalIF":1.2000,"publicationDate":"2025-01-01","publicationTypes":"Journal Article","fieldsOfStudy":null,"isOpenAccess":false,"openAccessPdf":"https://www.ncbi.nlm.nih.gov/pmc/articles/PMC11924971/pdf/","citationCount":"0","resultStr":null,"platform":"Semanticscholar","paperid":null,"PeriodicalName":"Ochsner Journal","FirstCategoryId":"1085","ListUrlMain":"https://doi.org/10.31486/toj.24.0058","RegionNum":0,"RegionCategory":null,"ArticlePicture":[],"TitleCN":null,"AbstractTextCN":null,"PMCID":null,"EPubDate":"","PubModel":"","JCR":"Q2","JCRName":"MEDICINE, GENERAL & INTERNAL","Score":null,"Total":0}
引用次数: 0

Abstract

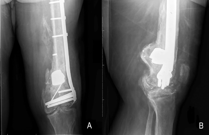
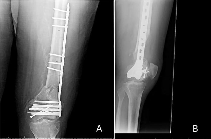
Background: Nonunion of a distal femur fracture is a serious complication in which bone healing ceases or fails to resolve, often necessitating further surgical intervention. Poor blood supply and unstable fixation have been identified as contributing factors to osseous nonunion. In this case, we highlight a challenging femur fracture that achieved osseous union only after resolution of a superficial femoral artery occlusion via endarterectomy that improved blood flow to the fracture site.

Case report: A 54-year-old male was involved in a high-speed motor vehicle accident that resulted in a left distal femur fracture. The patient underwent multiple reconstructive procedures that were complicated by hardware failure and recurrent nonunion. Prior to the sixth reconstruction, a superficial femoral artery occlusion was discovered and addressed with endarterectomy. The sixth and final procedure resulted in osseous union and stable fixation of the femur fracture.

Conclusion: A missed superficial femoral artery occlusion likely contributed to the delay in achieving osseous union of a traumatic comminuted distal femur fracture.

Abstract Image

Abstract Image

Abstract Image

在多次股骨远端骨折重建失败后,在股浅动脉内膜切除术后实现骨愈合。
背景:股骨远端骨折不愈合是骨愈合停止或无法愈合的严重并发症,通常需要进一步的手术干预。血液供应不足和不稳定的固定已被确定为骨不愈合的因素。在本病例中,我们强调了一个具有挑战性的股骨骨折,只有在通过动脉内膜切除术解决股浅动脉闭塞后才能实现骨愈合,从而改善骨折部位的血流量。病例报告:一名54岁男性因高速机动车事故导致左侧股骨远端骨折。患者接受了多次重建手术,由于硬件故障和复发性骨不连而变得复杂。在第六次重建之前,发现了股浅动脉闭塞,并进行了动脉内膜切除术。第六次也是最后一次手术实现了骨愈合和股骨骨折的稳定固定。结论:漏诊股浅动脉闭塞可能导致外伤性股骨远端粉碎性骨折骨愈合延迟。
本文章由计算机程序翻译,如有差异,请以英文原文为准。
求助全文
约1分钟内获得全文 求助全文
来源期刊
Ochsner Journal
Ochsner Journal MEDICINE, GENERAL & INTERNAL-
CiteScore
2.10
自引率
0.00%
发文量
71
审稿时长
24 weeks
期刊介绍: The Ochsner Journal is a quarterly publication designed to support Ochsner"s mission to improve the health of our community through a commitment to innovation in healthcare, medical research, and education. The Ochsner Journal provides an active dialogue on practice standards in today"s changing healthcare environment. Emphasis will be given to topics of great societal and medical significance.
×
引用
GB/T 7714-2015
复制
MLA
复制
APA
复制
导出至
BibTeX EndNote RefMan NoteFirst NoteExpress
×
提示
您的信息不完整,为了账户安全,请先补充。
现在去补充
×
提示
您因"违规操作"
具体请查看互助需知
我知道了
×
提示
确定
请完成安全验证×
copy
已复制链接
快去分享给好友吧!
我知道了
右上角分享
点击右上角分享
0
联系我们:info@booksci.cn Book学术提供免费学术资源搜索服务,方便国内外学者检索中英文文献。致力于提供最便捷和优质的服务体验。 Copyright © 2023 布克学术 All rights reserved.
京ICP备2023020795号-1
ghs 京公网安备 11010802042870号
Book学术文献互助
Book学术文献互助群
群 号:604180095
Book学术官方微信