Pure White Cell Aplasia, an Exceedingly Rare Complication of a Thymoma, and Immune Reconstitution Following Bone Marrow Recovery.

IF 1.2 Q4 HEMATOLOGY
Giby V George, J C Uy, John L Mariano, Marisa Jacob-Leonce, Chauncey R Syposs
{"title":"Pure White Cell Aplasia, an Exceedingly Rare Complication of a Thymoma, and Immune Reconstitution Following Bone Marrow Recovery.","authors":"Giby V George, J C Uy, John L Mariano, Marisa Jacob-Leonce, Chauncey R Syposs","doi":"10.3390/hematolrep17020014","DOIUrl":null,"url":null,"abstract":"<p><strong>Background: </strong>Thymoma-associated pure white cell aplasia (PWCA), characterized by agranulocytosis with absent myeloid precursors in the bone marrow in the setting of preserved erythropoiesis and megakaryopoiesis, is exceedingly rare, with only a few cases reported in the literature. We present a case of type-B2-thymoma-associated PWCA and immune reconstitution following marrow recovery.</p><p><strong>Case presentation: </strong>A 75-year-old woman was incidentally found to have a concomitant mediastinal mass and peripheral leukopenia with absent granulocytes and monocytes. Bone marrow assessment was notable for a hypocellular marrow (<10%) with absent granulopoiesis and monopoiesis. Chest CT demonstrated a large lobulated anterior mediastinal mass, for which the patient underwent a video-assisted thoracoscopic thymectomy. Pathological evaluation of the mediastinal mass specimen revealed a type B2 thymoma. A tentative diagnosis of thymoma-associated PWCA was made, and the patient was started on cyclosporine/granulocyte-colony stimulating factor (G-CSF)/filgrastim therapy. Despite promising marrow recovery, she developed several comorbidities and had a leukemoid reaction, provoking concern for immune reconstitution following prolonged neutropenia and subsequent treatment. She passed away on post-operative day 15, and the results of a post-mortem bone marrow examination were consistent with granulocytic hyperplasia.</p><p><strong>Conclusions: </strong>This case of thymoma-associated PWCA heightens awareness regarding this entity, providing a note of caution regarding the possibility of immune reconstitution following treatment and marrow recovery.</p>","PeriodicalId":12829,"journal":{"name":"Hematology Reports","volume":"17 2","pages":""},"PeriodicalIF":1.2000,"publicationDate":"2025-03-21","publicationTypes":"Journal Article","fieldsOfStudy":null,"isOpenAccess":false,"openAccessPdf":"https://www.ncbi.nlm.nih.gov/pmc/articles/PMC11932284/pdf/","citationCount":"0","resultStr":null,"platform":"Semanticscholar","paperid":null,"PeriodicalName":"Hematology Reports","FirstCategoryId":"1085","ListUrlMain":"https://doi.org/10.3390/hematolrep17020014","RegionNum":0,"RegionCategory":null,"ArticlePicture":[],"TitleCN":null,"AbstractTextCN":null,"PMCID":null,"EPubDate":"","PubModel":"","JCR":"Q4","JCRName":"HEMATOLOGY","Score":null,"Total":0}
引用次数: 0

Abstract

Background: Thymoma-associated pure white cell aplasia (PWCA), characterized by agranulocytosis with absent myeloid precursors in the bone marrow in the setting of preserved erythropoiesis and megakaryopoiesis, is exceedingly rare, with only a few cases reported in the literature. We present a case of type-B2-thymoma-associated PWCA and immune reconstitution following marrow recovery.

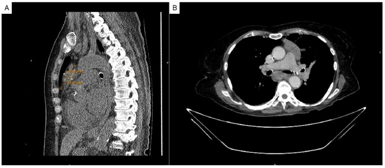
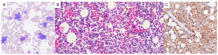
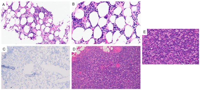
Case presentation: A 75-year-old woman was incidentally found to have a concomitant mediastinal mass and peripheral leukopenia with absent granulocytes and monocytes. Bone marrow assessment was notable for a hypocellular marrow (<10%) with absent granulopoiesis and monopoiesis. Chest CT demonstrated a large lobulated anterior mediastinal mass, for which the patient underwent a video-assisted thoracoscopic thymectomy. Pathological evaluation of the mediastinal mass specimen revealed a type B2 thymoma. A tentative diagnosis of thymoma-associated PWCA was made, and the patient was started on cyclosporine/granulocyte-colony stimulating factor (G-CSF)/filgrastim therapy. Despite promising marrow recovery, she developed several comorbidities and had a leukemoid reaction, provoking concern for immune reconstitution following prolonged neutropenia and subsequent treatment. She passed away on post-operative day 15, and the results of a post-mortem bone marrow examination were consistent with granulocytic hyperplasia.

Conclusions: This case of thymoma-associated PWCA heightens awareness regarding this entity, providing a note of caution regarding the possibility of immune reconstitution following treatment and marrow recovery.

Abstract Image

Abstract Image

Abstract Image

纯白细胞发育不全,一种极为罕见的胸腺瘤并发症,和骨髓恢复后的免疫重建。
背景:胸腺瘤相关的纯白细胞发育不全(PWCA),以红细胞和巨核增生保存的情况下骨髓中粒细胞缺乏症为特征,极为罕见,文献中只有少数病例报道。我们报告一例b2型胸腺瘤相关的PWCA和骨髓恢复后的免疫重建。病例介绍:一名75岁女性偶然发现有纵隔肿块和外周白细胞减少伴粒细胞和单核细胞缺失。结论:本例胸腺瘤相关PWCA提高了对该实体的认识,提供了治疗和骨髓恢复后免疫重建可能性的注意事项。
本文章由计算机程序翻译,如有差异,请以英文原文为准。
求助全文
约1分钟内获得全文 求助全文
来源期刊
Hematology Reports
Hematology Reports HEMATOLOGY-
CiteScore
0.90
自引率
0.00%
发文量
47
审稿时长
10 weeks
×
引用
GB/T 7714-2015
复制
MLA
复制
APA
复制
导出至
BibTeX EndNote RefMan NoteFirst NoteExpress
×
提示
您的信息不完整,为了账户安全,请先补充。
现在去补充
×
提示
您因"违规操作"
具体请查看互助需知
我知道了
×
提示
确定
请完成安全验证×
copy
已复制链接
快去分享给好友吧!
我知道了
右上角分享
点击右上角分享
0
联系我们:info@booksci.cn Book学术提供免费学术资源搜索服务,方便国内外学者检索中英文文献。致力于提供最便捷和优质的服务体验。 Copyright © 2023 布克学术 All rights reserved.
京ICP备2023020795号-1
ghs 京公网安备 11010802042870号
Book学术文献互助
Book学术文献互助群
群 号:604180095
Book学术官方微信