TRANSPLANTATION OF VIABLE ALLOGENEIC MITOCHONDRIA PROTECTS KIDNEY FUNCTION IN A MOUSE MODEL OF HEMORRHAGIC SHOCK AND RHABDOMYOLYSIS-INDUCED ACUTE RENAL INJURY.

IF 2.9 3区 医学 Q2 CRITICAL CARE MEDICINE
SHOCK Pub Date : 2025-06-01 Epub Date: 2025-03-21 DOI:10.1097/SHK.0000000000002579
Yu-Li Pang, Shi-Yuan Fang, Chien-Chi Huang, Ming-Wei Lin, Jun-Neng Roan, Kuen-Jer Tsai, Chen-Fuh Lam
{"title":"TRANSPLANTATION OF VIABLE ALLOGENEIC MITOCHONDRIA PROTECTS KIDNEY FUNCTION IN A MOUSE MODEL OF HEMORRHAGIC SHOCK AND RHABDOMYOLYSIS-INDUCED ACUTE RENAL INJURY.","authors":"Yu-Li Pang, Shi-Yuan Fang, Chien-Chi Huang, Ming-Wei Lin, Jun-Neng Roan, Kuen-Jer Tsai, Chen-Fuh Lam","doi":"10.1097/SHK.0000000000002579","DOIUrl":null,"url":null,"abstract":"<p><strong>Abstract: </strong>Background and Aims: Acute kidney injury (AKI) is independently associated with high mortality after major trauma. Because mitochondrial dysfunction in renal tubular cells is a critical early subcellular change in AKI, this study proposed that administration of freshly harvested viable mitochondria could ameliorate renal tubular injury in a mouse model of two-hit rhabdomyolysis-related AKI. Methods: Mice were subjected to acute hemorrhagic shock and rhabdomyolysis through blood withdrawal and intramuscular glycerol injection. Mitochondria (100 μg) were freshly isolated from the soleus muscles of naïve mice. Mitochondria or placebo solution was randomly delivered into arterial catheter 1 h after the induction of AKI. The mice were euthanized 36 h later, and blood samples and kidneys were collected for analysis. Results: IVIS imaging confirmed increased expression of fluorescence-labeled allogeneic mitochondrial accumulation in AKI kidneys. Mitochondrial transplantation significantly decreased the elevated serum levels of urea nitrogen, creatinine and potassium. The protein expression of endogenous antioxidant molecules (Nrf-2, heme oxygenase-1 and superoxide dismutases) was significantly increased. The BAX-to-Bcl-2 ratio and expression of cleaved caspace-3 were also reduced in the mitochondrial-transplanted animals, indicating the attenuation of mitochondrial-mediated apoptosis in the kidney tissues of AKI mice. Histopathological examination confirmed that degrees of renal tubular injury were improved following mitochondrial transplantation. Conclusions: Transplantation of freshly isolated mitochondria augments endogenous antioxidant capacity and ameliorates mitochondrial apoptosis in the injured kidney tissues after hemorrhagic shock and rhabdomyolysis-induced AKI. Allogeneic mitochondrial transplantation could be a potential and feasible therapeutic option for prevention and management of AKI secondary to major trauma.</p>","PeriodicalId":21667,"journal":{"name":"SHOCK","volume":" ","pages":"929-934"},"PeriodicalIF":2.9000,"publicationDate":"2025-06-01","publicationTypes":"Journal Article","fieldsOfStudy":null,"isOpenAccess":false,"openAccessPdf":"https://www.ncbi.nlm.nih.gov/pmc/articles/PMC12105965/pdf/","citationCount":"0","resultStr":null,"platform":"Semanticscholar","paperid":null,"PeriodicalName":"SHOCK","FirstCategoryId":"3","ListUrlMain":"https://doi.org/10.1097/SHK.0000000000002579","RegionNum":3,"RegionCategory":"医学","ArticlePicture":[],"TitleCN":null,"AbstractTextCN":null,"PMCID":null,"EPubDate":"2025/3/21 0:00:00","PubModel":"Epub","JCR":"Q2","JCRName":"CRITICAL CARE MEDICINE","Score":null,"Total":0}
引用次数: 0

Abstract

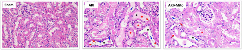
Abstract: Background and Aims: Acute kidney injury (AKI) is independently associated with high mortality after major trauma. Because mitochondrial dysfunction in renal tubular cells is a critical early subcellular change in AKI, this study proposed that administration of freshly harvested viable mitochondria could ameliorate renal tubular injury in a mouse model of two-hit rhabdomyolysis-related AKI. Methods: Mice were subjected to acute hemorrhagic shock and rhabdomyolysis through blood withdrawal and intramuscular glycerol injection. Mitochondria (100 μg) were freshly isolated from the soleus muscles of naïve mice. Mitochondria or placebo solution was randomly delivered into arterial catheter 1 h after the induction of AKI. The mice were euthanized 36 h later, and blood samples and kidneys were collected for analysis. Results: IVIS imaging confirmed increased expression of fluorescence-labeled allogeneic mitochondrial accumulation in AKI kidneys. Mitochondrial transplantation significantly decreased the elevated serum levels of urea nitrogen, creatinine and potassium. The protein expression of endogenous antioxidant molecules (Nrf-2, heme oxygenase-1 and superoxide dismutases) was significantly increased. The BAX-to-Bcl-2 ratio and expression of cleaved caspace-3 were also reduced in the mitochondrial-transplanted animals, indicating the attenuation of mitochondrial-mediated apoptosis in the kidney tissues of AKI mice. Histopathological examination confirmed that degrees of renal tubular injury were improved following mitochondrial transplantation. Conclusions: Transplantation of freshly isolated mitochondria augments endogenous antioxidant capacity and ameliorates mitochondrial apoptosis in the injured kidney tissues after hemorrhagic shock and rhabdomyolysis-induced AKI. Allogeneic mitochondrial transplantation could be a potential and feasible therapeutic option for prevention and management of AKI secondary to major trauma.

Abstract Image

Abstract Image

Abstract Image

活体异体线粒体移植保护出血性休克和横纹肌溶解急性肾损伤小鼠模型的肾功能。
方法:通过抽血和肌肉注射甘油使小鼠急性失血性休克和横纹肌溶解。从小鼠比目鱼肌中新鲜分离线粒体(100 μg)。诱导 AKI 1 小时后,将线粒体或安慰剂溶液随机注入动脉导管。36 小时后小鼠安乐死,收集血液样本和肾脏进行分析:IVIS成像证实,在AKI肾脏中,荧光标记的异体线粒体积聚表达增加。线粒体移植明显降低了血清中升高的尿素氮、肌酐和钾水平。内源性抗氧化分子(Nrf-2、血红素加氧酶-1 和超氧化物歧化酶)的蛋白表达明显增加。线粒体移植动物的 BAX 与 Bcl-2 的比值和裂解的 caspace-3 的表达也有所降低,表明线粒体介导的凋亡在 AKI 小鼠肾组织中有所减弱。组织病理学检查证实,线粒体移植后肾小管损伤程度得到改善:结论:移植新鲜分离的线粒体可增强内源性抗氧化能力,改善失血性休克和横纹肌溶解诱导的 AKI 后损伤肾组织中线粒体的凋亡。异体线粒体移植可能是预防和治疗重大创伤继发性 AKI 的一种潜在可行的治疗方案。
本文章由计算机程序翻译,如有差异,请以英文原文为准。
求助全文
约1分钟内获得全文 求助全文
来源期刊
SHOCK
SHOCK 医学-外科
CiteScore
6.20
自引率
3.20%
发文量
199
审稿时长
1 months
期刊介绍: SHOCK®: Injury, Inflammation, and Sepsis: Laboratory and Clinical Approaches includes studies of novel therapeutic approaches, such as immunomodulation, gene therapy, nutrition, and others. The mission of the Journal is to foster and promote multidisciplinary studies, both experimental and clinical in nature, that critically examine the etiology, mechanisms and novel therapeutics of shock-related pathophysiological conditions. Its purpose is to excel as a vehicle for timely publication in the areas of basic and clinical studies of shock, trauma, sepsis, inflammation, ischemia, and related pathobiological states, with particular emphasis on the biologic mechanisms that determine the response to such injury. Making such information available will ultimately facilitate improved care of the traumatized or septic individual.
×
引用
GB/T 7714-2015
复制
MLA
复制
APA
复制
导出至
BibTeX EndNote RefMan NoteFirst NoteExpress
×
提示
您的信息不完整,为了账户安全,请先补充。
现在去补充
×
提示
您因"违规操作"
具体请查看互助需知
我知道了
×
提示
确定
请完成安全验证×
copy
已复制链接
快去分享给好友吧!
我知道了
右上角分享
点击右上角分享
0
联系我们:info@booksci.cn Book学术提供免费学术资源搜索服务,方便国内外学者检索中英文文献。致力于提供最便捷和优质的服务体验。 Copyright © 2023 布克学术 All rights reserved.
京ICP备2023020795号-1
ghs 京公网安备 11010802042870号
Book学术文献互助
Book学术文献互助群
群 号:604180095
Book学术官方微信