Atypical presentation of H1N1-induced thrombotic microangiopathy with CD46 gene mutation
.

Clinical nephrology. Case studies Pub Date : 2025-03-14 eCollection Date: 2025-01-01 DOI:10.5414/CNCS111525
Aman Pal, Emmanuel Aydin-Ghormoz, Swati Mehta, M J Hajianpour, Emily Gaine, Muhammad Ali Zia, Elie Tannous, Andrea Lightle, Krishnakumar Hongalgi
{"title":"Atypical presentation of H1N1-induced thrombotic microangiopathy with CD46 gene mutation\u2029.","authors":"Aman Pal, Emmanuel Aydin-Ghormoz, Swati Mehta, M J Hajianpour, Emily Gaine, Muhammad Ali Zia, Elie Tannous, Andrea Lightle, Krishnakumar Hongalgi","doi":"10.5414/CNCS111525","DOIUrl":null,"url":null,"abstract":"<p><strong>Introduction: </strong>Thrombotic microangiopathy (TMA) is a pathological description which clinically presents with thrombocytopenia, microangiopathic hemolytic anemia (MAHA), and organ dysfunction. The etiology of TMA is broadly classified into four categories: primary hereditary, primary acquired, secondary, and infection associated. H1N1 influenza is a rare etiology of complement-mediated TMA (CM-TMA) with there being under 30 cases reported to date, and its odd presentation with hemoptysis making it a challenge to diagnose.</p><p><strong>Case presentation: </strong>We present a case of a Caucasian female in her 20s presenting to the hospital with a viral prodrome in setting of a new acute kidney injury (creatinine 8.2 mg/dL), thrombocytopenia (platelet count 14,000/mm<sup>3</sup>), and H1N1 influenza positive. She developed hemoptysis the next day, with no respiratory distress. Rheumatology work-up for antineutrophilic cytoplasmic antibodies (ANCA), anti-glomerular basement membrane (anti-GBM), and antiphospholipid syndrome (APS) antibodies was negative. CT chest was also negative for pulmonary hemorrhage. Plasma exchange was started empirically until ADAMTS13 activity returned normal (120%), and she was further commenced on eculizumab after an atypical hemolytic uremic syndrome (aHUS)/TMA/Complement 3 Glomerulopathy (C3G) gene panel was sent. Molecular studies revealed a splice site variant of MCP/CD46 gene, which was reiterated on a renal biopsy. The patient was counselled on the genetic results, including predisposition to future events and the importance of long-term eculizumab treatment.</p><p><strong>Discussion: </strong>CM-TMA is a consequence of alternative pathway dysregulation, commonly associated with genetic mutations which could phenotypically be unmasked by infections, such as influenza virus.</p><p><strong>Conclusion: </strong>Our case highlights the importance of keeping a broad differential beyond classic pulmonary-renal syndromes in patients presenting with hemoptysis and TMA, while understanding the pathophysiology of infections unmasking genetic mutations in CM-TMA.\u2029.</p>","PeriodicalId":510898,"journal":{"name":"Clinical nephrology. Case studies","volume":"13 ","pages":"28-36"},"PeriodicalIF":0.0000,"publicationDate":"2025-03-14","publicationTypes":"Journal Article","fieldsOfStudy":null,"isOpenAccess":false,"openAccessPdf":"https://www.ncbi.nlm.nih.gov/pmc/articles/PMC11924108/pdf/","citationCount":"0","resultStr":null,"platform":"Semanticscholar","paperid":null,"PeriodicalName":"Clinical nephrology. Case studies","FirstCategoryId":"1085","ListUrlMain":"https://doi.org/10.5414/CNCS111525","RegionNum":0,"RegionCategory":null,"ArticlePicture":[],"TitleCN":null,"AbstractTextCN":null,"PMCID":null,"EPubDate":"2025/1/1 0:00:00","PubModel":"eCollection","JCR":"","JCRName":"","Score":null,"Total":0}
引用次数: 0

Abstract

Introduction: Thrombotic microangiopathy (TMA) is a pathological description which clinically presents with thrombocytopenia, microangiopathic hemolytic anemia (MAHA), and organ dysfunction. The etiology of TMA is broadly classified into four categories: primary hereditary, primary acquired, secondary, and infection associated. H1N1 influenza is a rare etiology of complement-mediated TMA (CM-TMA) with there being under 30 cases reported to date, and its odd presentation with hemoptysis making it a challenge to diagnose.

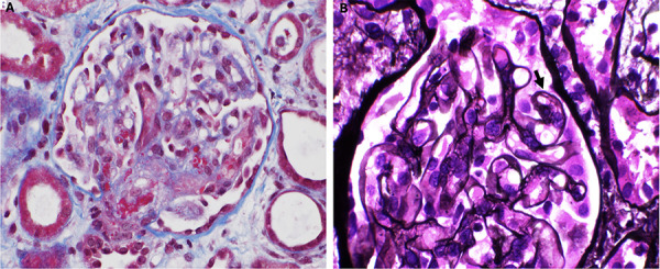
Case presentation: We present a case of a Caucasian female in her 20s presenting to the hospital with a viral prodrome in setting of a new acute kidney injury (creatinine 8.2 mg/dL), thrombocytopenia (platelet count 14,000/mm3), and H1N1 influenza positive. She developed hemoptysis the next day, with no respiratory distress. Rheumatology work-up for antineutrophilic cytoplasmic antibodies (ANCA), anti-glomerular basement membrane (anti-GBM), and antiphospholipid syndrome (APS) antibodies was negative. CT chest was also negative for pulmonary hemorrhage. Plasma exchange was started empirically until ADAMTS13 activity returned normal (120%), and she was further commenced on eculizumab after an atypical hemolytic uremic syndrome (aHUS)/TMA/Complement 3 Glomerulopathy (C3G) gene panel was sent. Molecular studies revealed a splice site variant of MCP/CD46 gene, which was reiterated on a renal biopsy. The patient was counselled on the genetic results, including predisposition to future events and the importance of long-term eculizumab treatment.

Discussion: CM-TMA is a consequence of alternative pathway dysregulation, commonly associated with genetic mutations which could phenotypically be unmasked by infections, such as influenza virus.

Conclusion: Our case highlights the importance of keeping a broad differential beyond classic pulmonary-renal syndromes in patients presenting with hemoptysis and TMA, while understanding the pathophysiology of infections unmasking genetic mutations in CM-TMA.
.

Abstract Image

Abstract Image

Abstract Image

非典型表现h1n1诱导的血栓性微血管病伴CD46基因突变
。
导言血栓性微血管病(TMA)是一种病理描述,临床表现为血小板减少、微血管病性溶血性贫血(MAHA)和器官功能障碍。TMA 的病因大致分为四类:原发性遗传、原发性获得性、继发性和感染相关性。甲型 H1N1 流感是补体介导的 TMA(CM-TMA)的一种罕见病因,迄今报道的病例不足 30 例,其咯血的奇特表现使其成为诊断的难题:我们介绍了一例 20 多岁的白种女性病例,她因病毒性前驱症状到医院就诊,当时新发急性肾损伤(肌酐 8.2 毫克/分升)、血小板减少(血小板计数 14,000 个/立方毫米)和甲型 H1N1 流感阳性。第二天,她出现咯血,但没有呼吸困难。风湿免疫科检查抗中性粒细胞胞浆抗体(ANCA)、抗肾小球基底膜抗体(anti-GBM)和抗磷脂综合征抗体(APS)均为阴性。胸部 CT 检查也未发现肺出血。在送检了非典型溶血性尿毒症(aHUS)/TMA/补体3肾小球病(C3G)基因面板后,她又开始使用依库珠单抗。分子研究显示,MCP/CD46 基因存在剪接位点变异,肾活检结果再次证实了这一点。患者接受了关于基因结果的咨询,包括未来事件的易感性和长期使用依库珠单抗治疗的重要性:讨论:CM-TMA 是替代途径失调的结果,通常与基因突变有关,而感染(如流感病毒)可能会揭示基因突变的表型:我们的病例强调了对出现咯血和TMA的患者进行广泛鉴别的重要性,不仅要鉴别典型的肺-肾综合征,还要了解感染揭示CM-TMA基因突变的病理生理学。.
本文章由计算机程序翻译,如有差异,请以英文原文为准。
求助全文
约1分钟内获得全文 求助全文
来源期刊
自引率
0.00%
发文量
0
×
引用
GB/T 7714-2015
复制
MLA
复制
APA
复制
导出至
BibTeX EndNote RefMan NoteFirst NoteExpress
×
提示
您的信息不完整,为了账户安全,请先补充。
现在去补充
×
提示
您因"违规操作"
具体请查看互助需知
我知道了
×
提示
确定
请完成安全验证×
copy
已复制链接
快去分享给好友吧!
我知道了
右上角分享
点击右上角分享
0
联系我们:info@booksci.cn Book学术提供免费学术资源搜索服务,方便国内外学者检索中英文文献。致力于提供最便捷和优质的服务体验。 Copyright © 2023 布克学术 All rights reserved.
京ICP备2023020795号-1
ghs 京公网安备 11010802042870号
Book学术文献互助
Book学术文献互助群
群 号:604180095
Book学术官方微信