Risk of malignancy in adult patients with congenital heart disease: a clinical practice review.

IF 2.1 3区 医学 Q3 CARDIAC & CARDIOVASCULAR SYSTEMS
Cardiovascular diagnosis and therapy Pub Date : 2025-02-28 Epub Date: 2025-02-25 DOI:10.21037/cdt-24-388
Fumie Takechi, Yasutaka Kawasoe, Shigeru Tateno, Ryota Ebata, Hiromichi Hamada, Koichiro Niwa
{"title":"Risk of malignancy in adult patients with congenital heart disease: a clinical practice review.","authors":"Fumie Takechi, Yasutaka Kawasoe, Shigeru Tateno, Ryota Ebata, Hiromichi Hamada, Koichiro Niwa","doi":"10.21037/cdt-24-388","DOIUrl":null,"url":null,"abstract":"<p><p>This paper presents case studies of adult patients with congenital heart disease (CHD) who developed cancer and also discusses relevant epidemiological studies, risk factors, and reports on early detection. Herein, we describe three cases: a 63-year-old man with an atrial septal defect and multiple myeloma; a 48-year-old man with tetralogy of Fallot and colorectal cancer; and a 25-year-old man with Fontan circulation and hepatocellular carcinoma (HCC). Previous studies have found that the incidence of cancer in adult patients with CHD is higher than that in the general population. The management of adult patients with CHD complicated by cancer requires careful attention because cancer treatment alone can affect the survival prognosis and quality of life, as well as the pathophysiology and treatment of underlying heart disease. Apart from known risk factors in the non-CHD population, specific risk factors have been reported, such as genetic abnormalities, low-dose ionizing radiation exposure, early thymectomy, Fontan-associated liver disease, and hypoxia. Encouraging patients to participate in cancer screening and avoid known risk factors is essential in daily practice for the early diagnosis and prevention of cancer. It is also important to be vigilant for initial signs that are indicative of cancer as well as avoidable risk factors.</p>","PeriodicalId":9592,"journal":{"name":"Cardiovascular diagnosis and therapy","volume":"15 1","pages":"195-206"},"PeriodicalIF":2.1000,"publicationDate":"2025-02-28","publicationTypes":"Journal Article","fieldsOfStudy":null,"isOpenAccess":false,"openAccessPdf":"https://www.ncbi.nlm.nih.gov/pmc/articles/PMC11921439/pdf/","citationCount":"0","resultStr":null,"platform":"Semanticscholar","paperid":null,"PeriodicalName":"Cardiovascular diagnosis and therapy","FirstCategoryId":"3","ListUrlMain":"https://doi.org/10.21037/cdt-24-388","RegionNum":3,"RegionCategory":"医学","ArticlePicture":[],"TitleCN":null,"AbstractTextCN":null,"PMCID":null,"EPubDate":"2025/2/25 0:00:00","PubModel":"Epub","JCR":"Q3","JCRName":"CARDIAC & CARDIOVASCULAR SYSTEMS","Score":null,"Total":0}
引用次数: 0

Abstract

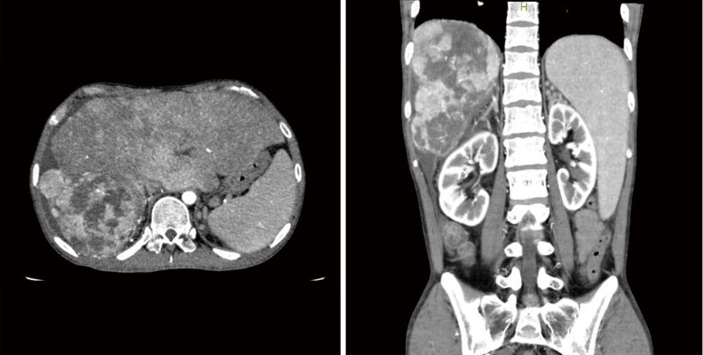
This paper presents case studies of adult patients with congenital heart disease (CHD) who developed cancer and also discusses relevant epidemiological studies, risk factors, and reports on early detection. Herein, we describe three cases: a 63-year-old man with an atrial septal defect and multiple myeloma; a 48-year-old man with tetralogy of Fallot and colorectal cancer; and a 25-year-old man with Fontan circulation and hepatocellular carcinoma (HCC). Previous studies have found that the incidence of cancer in adult patients with CHD is higher than that in the general population. The management of adult patients with CHD complicated by cancer requires careful attention because cancer treatment alone can affect the survival prognosis and quality of life, as well as the pathophysiology and treatment of underlying heart disease. Apart from known risk factors in the non-CHD population, specific risk factors have been reported, such as genetic abnormalities, low-dose ionizing radiation exposure, early thymectomy, Fontan-associated liver disease, and hypoxia. Encouraging patients to participate in cancer screening and avoid known risk factors is essential in daily practice for the early diagnosis and prevention of cancer. It is also important to be vigilant for initial signs that are indicative of cancer as well as avoidable risk factors.

Abstract Image

Abstract Image

Abstract Image

先天性心脏病成年患者的恶性肿瘤风险:临床实践回顾。
本文介绍了成人先天性心脏病(CHD)并发癌症的病例研究,并讨论了相关的流行病学研究、危险因素和早期发现的报告。在此,我们描述了三个病例:一个63岁的男性房间隔缺损和多发性骨髓瘤;48岁男性,法洛四联症合并结直肠癌;以及一名患有方丹循环和肝细胞癌(HCC)的25岁男性。既往研究发现,成年冠心病患者的癌症发病率高于普通人群。成年冠心病合并癌症患者的管理需要高度重视,因为单独的癌症治疗会影响生存预后和生活质量,以及潜在心脏病的病理生理和治疗。除了已知的非冠心病人群的危险因素外,还报道了特定的危险因素,如遗传异常、低剂量电离辐射暴露、早期胸腺切除术、丰坦相关肝病和缺氧。在日常实践中,鼓励患者参与癌症筛查,避免已知的危险因素,对癌症的早期诊断和预防至关重要。同样重要的是要警惕表明癌症的初步迹象以及可避免的风险因素。
本文章由计算机程序翻译,如有差异,请以英文原文为准。
求助全文
约1分钟内获得全文 求助全文
来源期刊
Cardiovascular diagnosis and therapy
Cardiovascular diagnosis and therapy Medicine-Cardiology and Cardiovascular Medicine
CiteScore
4.90
自引率
4.20%
发文量
45
期刊介绍: The journal ''Cardiovascular Diagnosis and Therapy'' (Print ISSN: 2223-3652; Online ISSN: 2223-3660) accepts basic and clinical science submissions related to Cardiovascular Medicine and Surgery. The mission of the journal is the rapid exchange of scientific information between clinicians and scientists worldwide. To reach this goal, the journal will focus on novel media, using a web-based, digital format in addition to traditional print-version. This includes on-line submission, review, publication, and distribution. The digital format will also allow submission of extensive supporting visual material, both images and video. The website www.thecdt.org will serve as the central hub and also allow posting of comments and on-line discussion. The web-site of the journal will be linked to a number of international web-sites (e.g. www.dxy.cn), which will significantly expand the distribution of its contents.
×
引用
GB/T 7714-2015
复制
MLA
复制
APA
复制
导出至
BibTeX EndNote RefMan NoteFirst NoteExpress
×
提示
您的信息不完整,为了账户安全,请先补充。
现在去补充
×
提示
您因"违规操作"
具体请查看互助需知
我知道了
×
提示
确定
请完成安全验证×
copy
已复制链接
快去分享给好友吧!
我知道了
右上角分享
点击右上角分享
0
联系我们:info@booksci.cn Book学术提供免费学术资源搜索服务,方便国内外学者检索中英文文献。致力于提供最便捷和优质的服务体验。 Copyright © 2023 布克学术 All rights reserved.
京ICP备2023020795号-1
ghs 京公网安备 11010802042870号
Book学术文献互助
Book学术文献互助群
群 号:604180095
Book学术官方微信