Penetrating Cardiac Injury: A 20-Year Retrospective Analysis at a High-Complexity University Center.

IF 1.2
Li Siyuan Wada, Paulo Roberto Barbosa Évora, Giovane Okarenski, Adilson Scorzoni, Mauricio Godinho, Sandro Scarpelini, Gabriel Bianco Giuliani, Danilo Tadao Wada, Fabio Luis-Silva, Alfredo José Rodrigues
{"title":"Penetrating Cardiac Injury: A 20-Year Retrospective Analysis at a High-Complexity University Center.","authors":"Li Siyuan Wada, Paulo Roberto Barbosa Évora, Giovane Okarenski, Adilson Scorzoni, Mauricio Godinho, Sandro Scarpelini, Gabriel Bianco Giuliani, Danilo Tadao Wada, Fabio Luis-Silva, Alfredo José Rodrigues","doi":"10.21470/1678-9741-2024-0049","DOIUrl":null,"url":null,"abstract":"<p><strong>Introduction: </strong>Penetrating cardiac injury, though infrequent, is associated with substantial mortality. In 2005, our research team conducted a comprehensive retrospective analysis of penetrating cardiac injuries managed at our facility from 1990 to 2003. Now, two decades later, we conducted the present study on penetrating cardiac injuries attended in our hospital over the last 20 years.</p><p><strong>Methods: </strong>This is a retrospective analysis of medical records and trauma database data, with a focus on survivors of penetrating cardiac trauma, excluding those deceased upon arrival.</p><p><strong>Results: </strong>Out of 1,093 cases, 25 had penetrating cardiac injuries with an overall mortality rate of 36%. Hemorrhage was the leading cause of death, and survival was correlated with higher systolic blood pressure upon admission and the level of consciousness.</p><p><strong>Conclusion: </strong>The study highlights the need for rapid intervention and emphasizes the importance of managing bleeding and supporting hemodynamics. It also points to areas for improvement in emergency care and the benefits of interdisciplinary collaboration.</p>","PeriodicalId":72457,"journal":{"name":"Brazilian journal of cardiovascular surgery","volume":"40 2","pages":"e20240049"},"PeriodicalIF":1.2000,"publicationDate":"2025-03-18","publicationTypes":"Journal Article","fieldsOfStudy":null,"isOpenAccess":false,"openAccessPdf":"https://www.ncbi.nlm.nih.gov/pmc/articles/PMC11924954/pdf/","citationCount":"0","resultStr":null,"platform":"Semanticscholar","paperid":null,"PeriodicalName":"Brazilian journal of cardiovascular surgery","FirstCategoryId":"1085","ListUrlMain":"https://doi.org/10.21470/1678-9741-2024-0049","RegionNum":0,"RegionCategory":null,"ArticlePicture":[],"TitleCN":null,"AbstractTextCN":null,"PMCID":null,"EPubDate":"","PubModel":"","JCR":"","JCRName":"","Score":null,"Total":0}
引用次数: 0

Abstract

Introduction: Penetrating cardiac injury, though infrequent, is associated with substantial mortality. In 2005, our research team conducted a comprehensive retrospective analysis of penetrating cardiac injuries managed at our facility from 1990 to 2003. Now, two decades later, we conducted the present study on penetrating cardiac injuries attended in our hospital over the last 20 years.

Methods: This is a retrospective analysis of medical records and trauma database data, with a focus on survivors of penetrating cardiac trauma, excluding those deceased upon arrival.

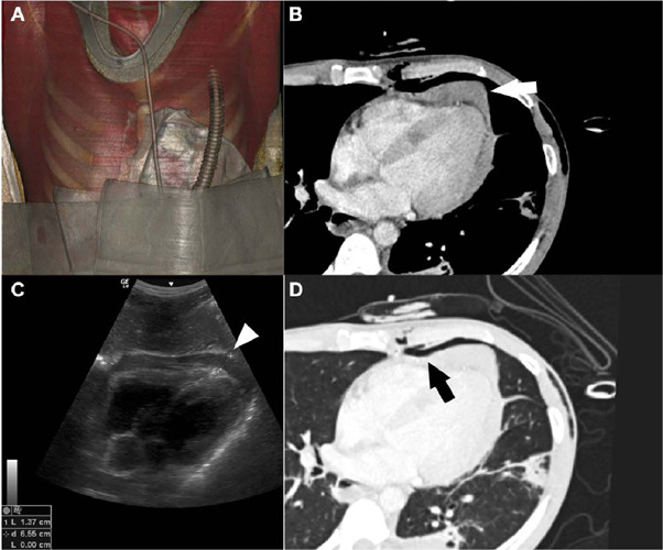
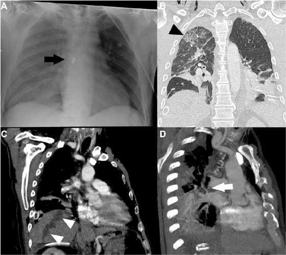
Results: Out of 1,093 cases, 25 had penetrating cardiac injuries with an overall mortality rate of 36%. Hemorrhage was the leading cause of death, and survival was correlated with higher systolic blood pressure upon admission and the level of consciousness.

Conclusion: The study highlights the need for rapid intervention and emphasizes the importance of managing bleeding and supporting hemodynamics. It also points to areas for improvement in emergency care and the benefits of interdisciplinary collaboration.

Abstract Image

Abstract Image

Abstract Image

穿透性心脏损伤:一个高复杂性大学中心20年回顾性分析。
导读:穿透性心脏损伤,虽然不常见,但与高死亡率相关。2005年,我们的研究小组对1990年至2003年在我们医院处理的穿透性心脏损伤进行了全面的回顾性分析。现在,二十年后,我们对过去二十年来在我们医院就诊的穿透性心脏损伤进行了目前的研究。方法:对医疗记录和创伤数据库数据进行回顾性分析,重点是穿透性心脏创伤的幸存者,不包括到达时死亡的患者。结果:1093例患者中有25例心脏穿透性损伤,总死亡率为36%。出血是死亡的主要原因,患者的生存与入院时较高的收缩压和意识水平相关。结论:该研究强调了快速干预的必要性,并强调了管理出血和支持血流动力学的重要性。它还指出了需要改进急诊护理的领域和跨学科合作的好处。
本文章由计算机程序翻译,如有差异,请以英文原文为准。
求助全文
约1分钟内获得全文 求助全文
来源期刊
自引率
0.00%
发文量
0
×
引用
GB/T 7714-2015
复制
MLA
复制
APA
复制
导出至
BibTeX EndNote RefMan NoteFirst NoteExpress
×
提示
您的信息不完整,为了账户安全,请先补充。
现在去补充
×
提示
您因"违规操作"
具体请查看互助需知
我知道了
×
提示
确定
请完成安全验证×
copy
已复制链接
快去分享给好友吧!
我知道了
右上角分享
点击右上角分享
0
联系我们:info@booksci.cn Book学术提供免费学术资源搜索服务,方便国内外学者检索中英文文献。致力于提供最便捷和优质的服务体验。 Copyright © 2023 布克学术 All rights reserved.
京ICP备2023020795号-1
ghs 京公网安备 11010802042870号
Book学术文献互助
Book学术文献互助群
群 号:604180095
Book学术官方微信