Malignant pleural mesothelioma associated with recurrent pneumothorax.

IF 3.4 Q2 RESPIRATORY SYSTEM
Breathe Pub Date : 2025-03-18 eCollection Date: 2025-01-01 DOI:10.1183/20734735.0226-2024
Leher Gumber, Cheng Hong Lim, Muhammad Hashim Naseer, Helen Wallace, Leah Taylor, Sean Parker, David Cooper, Karl Jackson, Joe Thekkudan, Ang Keng, Avinash Aujayeb
{"title":"Malignant pleural mesothelioma associated with recurrent pneumothorax.","authors":"Leher Gumber, Cheng Hong Lim, Muhammad Hashim Naseer, Helen Wallace, Leah Taylor, Sean Parker, David Cooper, Karl Jackson, Joe Thekkudan, Ang Keng, Avinash Aujayeb","doi":"10.1183/20734735.0226-2024","DOIUrl":null,"url":null,"abstract":"<p><p><b>Secondary pneumothoraces can be the first presentation of pleural malignancies and may also complicate their course. They are often associated with prolonged air leaks, and cardiothoracic intervention can be required.</b> https://bit.ly/3DEvPem.</p>","PeriodicalId":9292,"journal":{"name":"Breathe","volume":"21 1","pages":"240226"},"PeriodicalIF":3.4000,"publicationDate":"2025-03-18","publicationTypes":"Journal Article","fieldsOfStudy":null,"isOpenAccess":false,"openAccessPdf":"https://www.ncbi.nlm.nih.gov/pmc/articles/PMC11915129/pdf/","citationCount":"0","resultStr":null,"platform":"Semanticscholar","paperid":null,"PeriodicalName":"Breathe","FirstCategoryId":"1085","ListUrlMain":"https://doi.org/10.1183/20734735.0226-2024","RegionNum":0,"RegionCategory":null,"ArticlePicture":[],"TitleCN":null,"AbstractTextCN":null,"PMCID":null,"EPubDate":"2025/1/1 0:00:00","PubModel":"eCollection","JCR":"Q2","JCRName":"RESPIRATORY SYSTEM","Score":null,"Total":0}
引用次数: 0

Abstract

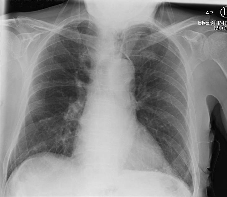
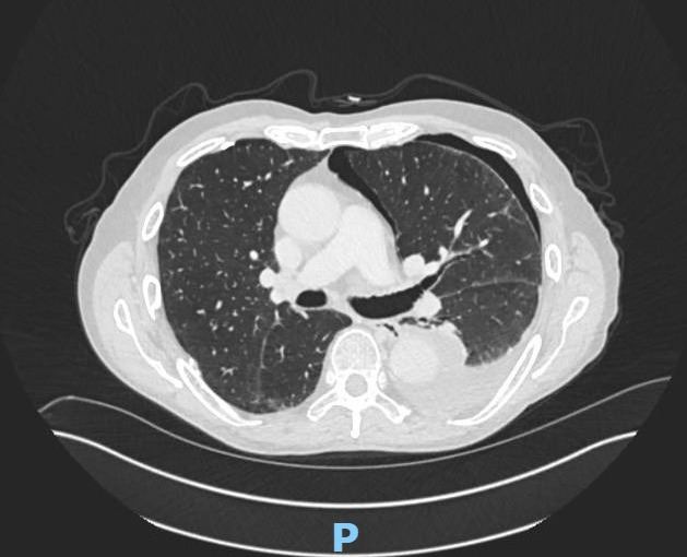
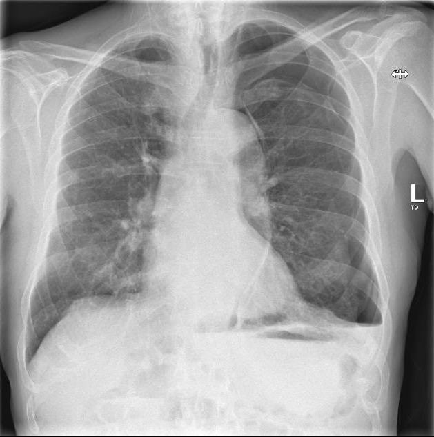
Secondary pneumothoraces can be the first presentation of pleural malignancies and may also complicate their course. They are often associated with prolonged air leaks, and cardiothoracic intervention can be required. https://bit.ly/3DEvPem.

Abstract Image

Abstract Image

Abstract Image

恶性胸膜间皮瘤伴复发性气胸。
继发性气胸可能是胸膜恶性肿瘤的首次表现,也可能使其病程复杂化。它们通常与长时间的空气泄漏有关,可能需要进行心胸干预。https://bit.ly/3DEvPem。
本文章由计算机程序翻译,如有差异,请以英文原文为准。
求助全文
约1分钟内获得全文 求助全文
来源期刊
Breathe
Breathe RESPIRATORY SYSTEM-
CiteScore
2.90
自引率
5.00%
发文量
51
审稿时长
12 weeks
×
引用
GB/T 7714-2015
复制
MLA
复制
APA
复制
导出至
BibTeX EndNote RefMan NoteFirst NoteExpress
×
提示
您的信息不完整,为了账户安全,请先补充。
现在去补充
×
提示
您因"违规操作"
具体请查看互助需知
我知道了
×
提示
确定
请完成安全验证×
copy
已复制链接
快去分享给好友吧!
我知道了
右上角分享
点击右上角分享
0
联系我们:info@booksci.cn Book学术提供免费学术资源搜索服务,方便国内外学者检索中英文文献。致力于提供最便捷和优质的服务体验。 Copyright © 2023 布克学术 All rights reserved.
京ICP备2023020795号-1
ghs 京公网安备 11010802042870号
Book学术文献互助
Book学术文献互助群
群 号:604180095
Book学术官方微信