Embolization of ruptured pancreaticoduodenal arcade aneurysms due to median arcuate ligament without celiac artery revascularization: a single-center experience and literature review.

IF 1.5 Q3 CARDIAC & CARDIOVASCULAR SYSTEMS
Rémi Grange, Nicolas Magand, Noémie Lutz, Bertrand Le Roy, Claire Boutet, Sylvain Grange
{"title":"Embolization of ruptured pancreaticoduodenal arcade aneurysms due to median arcuate ligament without celiac artery revascularization: a single-center experience and literature review.","authors":"Rémi Grange, Nicolas Magand, Noémie Lutz, Bertrand Le Roy, Claire Boutet, Sylvain Grange","doi":"10.1186/s42155-025-00534-1","DOIUrl":null,"url":null,"abstract":"<p><strong>Background: </strong>The aim of this single-center retrospective study is to evaluate the feasibility, complications, and outcomes of transarterial embolization (TAE) for ruptured pancreaticoduodenal arcades aneurysms (PDAAs) due to median arcuate ligament (MAL), without subsequent revascularization of celiac artery (CA) occlusion/stenosis.</p><p><strong>Methods: </strong>Between January 1<sup>st</sup> 2012 and June 1<sup>st</sup> 2024, all records from adult patients (≥ 18 years old) referred to our hospital for TAE due to ruptured PDAAs were retrospectively reviewed. All referrals were based on emergency clinical decisions and computed tomography. Procedure data included procedure, type of embolic agent and per-procedural complication. TAE technical success was defined as the cessation of aneurysm opacification immediately after the TAE, based on angiographic findings. Overall technical success was defined as the cessation of aneurysm opacification after TAE or percutaneous salvage approach during the same session. Then, we analyzed all published original articles published between January 2007 and December 2024 on emergency TAE of ruptured PDAAs due to MAL, without subsequent treatment of CA stenosis/occlusion.</p><p><strong>Results: </strong>Nine patients (4 males) were referred for TAE for ruptured PDAAs due to MAL in our center. TAE technical success was achieved in 7/9 patients, and overall technical success was achieved in all patients. There were no major complications. No patients had rebleeding during follow-up. We reviewed four retrospective studies including 29 patients treated for ruptured PDAAs due to MAL without subsequent treatment of CA stenosis/occlusion. No patient received additional treatment for CA stenosis/occlusion. No aneurysm recurrence was diagnosed during the reported follow-up periods ranging from 1 to 65 months.</p><p><strong>Conclusion: </strong>TAE for ruptured PDAAs without CA revascularization is safe and should be considered, although further studies are required to validate its validity and long-term outcomes.</p>","PeriodicalId":52351,"journal":{"name":"CVIR Endovascular","volume":"8 1","pages":"20"},"PeriodicalIF":1.5000,"publicationDate":"2025-03-17","publicationTypes":"Journal Article","fieldsOfStudy":null,"isOpenAccess":false,"openAccessPdf":"https://www.ncbi.nlm.nih.gov/pmc/articles/PMC11911276/pdf/","citationCount":"0","resultStr":null,"platform":"Semanticscholar","paperid":null,"PeriodicalName":"CVIR Endovascular","FirstCategoryId":"1085","ListUrlMain":"https://doi.org/10.1186/s42155-025-00534-1","RegionNum":0,"RegionCategory":null,"ArticlePicture":[],"TitleCN":null,"AbstractTextCN":null,"PMCID":null,"EPubDate":"","PubModel":"","JCR":"Q3","JCRName":"CARDIAC & CARDIOVASCULAR SYSTEMS","Score":null,"Total":0}
引用次数: 0

Abstract

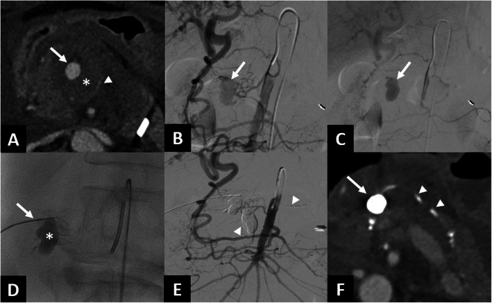
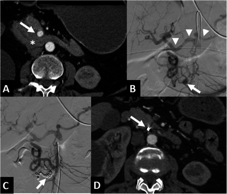
Background: The aim of this single-center retrospective study is to evaluate the feasibility, complications, and outcomes of transarterial embolization (TAE) for ruptured pancreaticoduodenal arcades aneurysms (PDAAs) due to median arcuate ligament (MAL), without subsequent revascularization of celiac artery (CA) occlusion/stenosis.

Methods: Between January 1st 2012 and June 1st 2024, all records from adult patients (≥ 18 years old) referred to our hospital for TAE due to ruptured PDAAs were retrospectively reviewed. All referrals were based on emergency clinical decisions and computed tomography. Procedure data included procedure, type of embolic agent and per-procedural complication. TAE technical success was defined as the cessation of aneurysm opacification immediately after the TAE, based on angiographic findings. Overall technical success was defined as the cessation of aneurysm opacification after TAE or percutaneous salvage approach during the same session. Then, we analyzed all published original articles published between January 2007 and December 2024 on emergency TAE of ruptured PDAAs due to MAL, without subsequent treatment of CA stenosis/occlusion.

Results: Nine patients (4 males) were referred for TAE for ruptured PDAAs due to MAL in our center. TAE technical success was achieved in 7/9 patients, and overall technical success was achieved in all patients. There were no major complications. No patients had rebleeding during follow-up. We reviewed four retrospective studies including 29 patients treated for ruptured PDAAs due to MAL without subsequent treatment of CA stenosis/occlusion. No patient received additional treatment for CA stenosis/occlusion. No aneurysm recurrence was diagnosed during the reported follow-up periods ranging from 1 to 65 months.

Conclusion: TAE for ruptured PDAAs without CA revascularization is safe and should be considered, although further studies are required to validate its validity and long-term outcomes.

Abstract Image

Abstract Image

无腹腔动脉血运重建术的正中弓状韧带所致破裂胰十二指肠动脉瘤栓塞术:单中心经验及文献回顾。
背景:本单中心回顾性研究的目的是评估经动脉栓塞(TAE)治疗由正中弓状韧带(MAL)引起的破裂胰十二指肠拱形动脉瘤(PDAAs)的可行性、并发症和结果,而不需要随后进行腹腔动脉(CA)闭塞/狭窄的血运重建。方法:回顾性分析2012年1月1日至2024年6月1日至我院因pdaa破裂行TAE的所有成年患者(≥18岁)的资料。所有转诊均基于紧急临床决定和计算机断层扫描。手术资料包括手术方式、栓剂类型和手术前并发症。根据血管造影结果,TAE技术成功定义为TAE术后立即停止动脉瘤混浊。总体技术成功定义为在同一疗程内TAE或经皮抢救入路后动脉瘤混浊停止。然后,我们分析了2007年1月至2024年12月期间发表的所有关于MAL导致的pdaa破裂的紧急TAE的原始文章,没有后续治疗CA狭窄/闭塞。结果:本中心9例患者(4例男性)因MAL致pdaa破裂行TAE治疗。7/9例患者获得TAE技术成功,所有患者均获得总体技术成功。没有重大并发症。随访期间无患者再出血。我们回顾了4项回顾性研究,包括29例因MAL导致的pdaa破裂而未进行CA狭窄/闭塞治疗的患者。没有患者因CA狭窄/闭塞接受额外治疗。在1至65个月的随访期间,未发现动脉瘤复发。结论:TAE治疗无CA血运重建术的pdaa破裂是安全的,值得考虑,但需要进一步的研究来验证其有效性和长期结果。
本文章由计算机程序翻译,如有差异,请以英文原文为准。
求助全文
约1分钟内获得全文 求助全文
来源期刊
CVIR Endovascular
CVIR Endovascular Medicine-Radiology, Nuclear Medicine and Imaging
CiteScore
2.30
自引率
0.00%
发文量
59
×
引用
GB/T 7714-2015
复制
MLA
复制
APA
复制
导出至
BibTeX EndNote RefMan NoteFirst NoteExpress
×
提示
您的信息不完整,为了账户安全,请先补充。
现在去补充
×
提示
您因"违规操作"
具体请查看互助需知
我知道了
×
提示
确定
请完成安全验证×
copy
已复制链接
快去分享给好友吧!
我知道了
右上角分享
点击右上角分享
0
联系我们:info@booksci.cn Book学术提供免费学术资源搜索服务,方便国内外学者检索中英文文献。致力于提供最便捷和优质的服务体验。 Copyright © 2023 布克学术 All rights reserved.
京ICP备2023020795号-1
ghs 京公网安备 11010802042870号
Book学术文献互助
Book学术文献互助群
群 号:604180095
Book学术官方微信