Malignant Pleural Mesothelioma CT Imaging: How to Measure It Correctly?

IF 2.6 4区 医学 Q3 ONCOLOGY
Cancer Control Pub Date : 2025-01-01 Epub Date: 2025-03-16 DOI:10.1177/10732748241301901
Carmine Picone, Annamaria Porto, Roberta Fusco, Vincenza Granata, Maria Chiara Brunese, Agnese Montanino, Giovanna Esposito, Raffaele Costanzo, Anna Manzo, Vincenzo Sforza, Claudia Sandomenico, Giuliano Palumbo, Edoardo Mercadante, Alessandro Ottaiano, Gianfranco Vallone, Ferdinando Caranci, Raffaella Mormile, Alessandro Morabito, Antonella Petrillo
{"title":"Malignant Pleural Mesothelioma CT Imaging: How to Measure It Correctly?","authors":"Carmine Picone, Annamaria Porto, Roberta Fusco, Vincenza Granata, Maria Chiara Brunese, Agnese Montanino, Giovanna Esposito, Raffaele Costanzo, Anna Manzo, Vincenzo Sforza, Claudia Sandomenico, Giuliano Palumbo, Edoardo Mercadante, Alessandro Ottaiano, Gianfranco Vallone, Ferdinando Caranci, Raffaella Mormile, Alessandro Morabito, Antonella Petrillo","doi":"10.1177/10732748241301901","DOIUrl":null,"url":null,"abstract":"<p><p><b>Background:</b> Malignant pleural mesothelioma is the most common primary tumor of the pleura. The unique growth pattern of malignant pleural mesothelioma makes it difficult to apply the Response Evaluation Criteria for Solid Tumors (RECIST). Hence the need to use modified RECIST (mRECIST) criteria, as they better fit the unique growth pattern of malignant pleural mesothelioma. The thickness of the tumor perpendicular to the chest wall or mediastinum is measured at 2 points at 3 separate levels at least 1 cm apart on chest CT scans, and summed to obtain a one-dimensional pleural measurement. The same criterion has also been used to assess response to treatment. RECIST 1.1 represents a further update, taking into account new concepts such as revised minimum dimensions for lymph nodes and an approach to lesions that become non-measurable. Based on experience and published literature, the hypothesis of merging the 2 above-mentioned criteria in mRECIST 1.1 for mesothelioma and the use of iRECIST for the application to immune-based therapies (iRECIST) was considered. <b>Purpose:</b> Support the importance of studying pleural mesothelioma in a reliable and reproducible way, through a scrupulous methodology, applying the mRECIST1.1 and iRECIST criteria. <b>Conclusions:</b> Adoption of a standardized study metodology can make the study of PM reproducible and correct.</p>","PeriodicalId":49093,"journal":{"name":"Cancer Control","volume":"32 ","pages":"10732748241301901"},"PeriodicalIF":2.6000,"publicationDate":"2025-01-01","publicationTypes":"Journal Article","fieldsOfStudy":null,"isOpenAccess":false,"openAccessPdf":"https://www.ncbi.nlm.nih.gov/pmc/articles/PMC11912172/pdf/","citationCount":"0","resultStr":null,"platform":"Semanticscholar","paperid":null,"PeriodicalName":"Cancer Control","FirstCategoryId":"3","ListUrlMain":"https://doi.org/10.1177/10732748241301901","RegionNum":4,"RegionCategory":"医学","ArticlePicture":[],"TitleCN":null,"AbstractTextCN":null,"PMCID":null,"EPubDate":"2025/3/16 0:00:00","PubModel":"Epub","JCR":"Q3","JCRName":"ONCOLOGY","Score":null,"Total":0}
引用次数: 0

Abstract

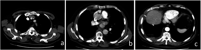
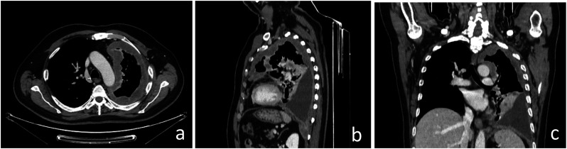
Background: Malignant pleural mesothelioma is the most common primary tumor of the pleura. The unique growth pattern of malignant pleural mesothelioma makes it difficult to apply the Response Evaluation Criteria for Solid Tumors (RECIST). Hence the need to use modified RECIST (mRECIST) criteria, as they better fit the unique growth pattern of malignant pleural mesothelioma. The thickness of the tumor perpendicular to the chest wall or mediastinum is measured at 2 points at 3 separate levels at least 1 cm apart on chest CT scans, and summed to obtain a one-dimensional pleural measurement. The same criterion has also been used to assess response to treatment. RECIST 1.1 represents a further update, taking into account new concepts such as revised minimum dimensions for lymph nodes and an approach to lesions that become non-measurable. Based on experience and published literature, the hypothesis of merging the 2 above-mentioned criteria in mRECIST 1.1 for mesothelioma and the use of iRECIST for the application to immune-based therapies (iRECIST) was considered. Purpose: Support the importance of studying pleural mesothelioma in a reliable and reproducible way, through a scrupulous methodology, applying the mRECIST1.1 and iRECIST criteria. Conclusions: Adoption of a standardized study metodology can make the study of PM reproducible and correct.

Abstract Image

Abstract Image

Abstract Image

恶性胸膜间皮瘤CT影像:如何正确测量?
背景:恶性胸膜间皮瘤是最常见的胸膜原发肿瘤。恶性胸膜间皮瘤独特的生长模式使得实体瘤反应评价标准(RECIST)难以应用。因此,需要使用改良的RECIST (mRECIST)标准,因为它们更适合恶性胸膜间皮瘤独特的生长模式。垂直于胸壁或纵隔的肿瘤的厚度在胸部CT扫描上分别在3个独立水平上的2点测量,间隔至少1cm,并求和,得到一维胸膜测量值。同样的标准也被用于评估对治疗的反应。RECIST 1.1代表了进一步的更新,考虑到新的概念,如修订的淋巴结最小尺寸和对不可测量的病变的方法。根据经验和已发表的文献,我们考虑将上述两个标准合并在间皮瘤的mRECIST 1.1中,并使用iRECIST用于免疫治疗(iRECIST)。目的:通过严谨的方法,应用mrecst1.1和iRECIST标准,支持以可靠和可重复的方式研究胸膜间皮瘤的重要性。结论:采用标准化的研究方法可以使PM的研究具有可重复性和正确性。
本文章由计算机程序翻译,如有差异,请以英文原文为准。
求助全文
约1分钟内获得全文 求助全文
来源期刊
Cancer Control
Cancer Control ONCOLOGY-
CiteScore
3.80
自引率
0.00%
发文量
148
审稿时长
>12 weeks
期刊介绍: Cancer Control is a JCR-ranked, peer-reviewed open access journal whose mission is to advance the prevention, detection, diagnosis, treatment, and palliative care of cancer by enabling researchers, doctors, policymakers, and other healthcare professionals to freely share research along the cancer control continuum. Our vision is a world where gold-standard cancer care is the norm, not the exception.
×
引用
GB/T 7714-2015
复制
MLA
复制
APA
复制
导出至
BibTeX EndNote RefMan NoteFirst NoteExpress
×
提示
您的信息不完整,为了账户安全,请先补充。
现在去补充
×
提示
您因"违规操作"
具体请查看互助需知
我知道了
×
提示
确定
请完成安全验证×
copy
已复制链接
快去分享给好友吧!
我知道了
右上角分享
点击右上角分享
0
联系我们:info@booksci.cn Book学术提供免费学术资源搜索服务,方便国内外学者检索中英文文献。致力于提供最便捷和优质的服务体验。 Copyright © 2023 布克学术 All rights reserved.
京ICP备2023020795号-1
ghs 京公网安备 11010802042870号
Book学术文献互助
Book学术文献互助群
群 号:604180095
Book学术官方微信