A potentially lethal interaction: Migraine, human immunodeficiency virus and ergotism - A primary care case report.

Q3 Nursing
Malaysian Family Physician Pub Date : 2025-02-08 eCollection Date: 2025-01-01 DOI:10.51866/cr.748
Ismail Ahmad Sahli Mahzuz, Ismail Shaiful Bahari, Lili Husniati Yaacob
{"title":"A potentially lethal interaction: Migraine, human immunodeficiency virus and ergotism - A primary care case report.","authors":"Ismail Ahmad Sahli Mahzuz, Ismail Shaiful Bahari, Lili Husniati Yaacob","doi":"10.51866/cr.748","DOIUrl":null,"url":null,"abstract":"<p><p>Ergotism is a rare but potentially serious condition characterised by peripheral vasospasm. Its diagnosis is challenging because the presentation varies depending on the type and location of the affected blood vessels. Ergot alkaloids, including ergotamine, are metabolised by the cytochrome P450 isoenzyme CYP3A4. Concurrent use of ergotamine with CYP3A4 inhibitors can significantly increase the risk of ergotism. However, this potentially dangerous drug interaction is often underestimated in general practice. Herein, we report the case of a middle- aged woman with a history of migraine headaches, who was treated with Cafergot (ergotamine tartrate and caffeine). After the initiation of human immunodeficiency virus therapy with Kaletra (lopinavir/ritonavir), she experienced recurrent episodes of bluish discoloration, livedo reticularis and tingling sensation in her upper and lower extremities over several years. Despite multiple hospital visits and extensive diagnostic workups, including normal blood investigations and biopsy, the correct diagnosis of ergotism-induced vasospasm due to ritonavir-ergotamine interaction was delayed. This diagnosis was supported by CT angiography, which demonstrated vasospasm of the femoral arteries. The patient's symptoms significantly resolved following ergotamine discontinuation. Ergotism is a self-limiting condition that can be fatal if not recognised and treated promptly. This case highlights the importance of awareness, particularly in primary care settings, on the potential drug interaction, principally in patients receiving drugs that inhibit CYP3A4, such as protease inhibitors. Clinicians should have a low threshold for suspecting ergotism in patients with recurrent or unexplained limb pain, numbness and skin changes, especially if they have a history of ergot alkaloid use.</p>","PeriodicalId":40017,"journal":{"name":"Malaysian Family Physician","volume":"20 ","pages":"7"},"PeriodicalIF":0.0000,"publicationDate":"2025-02-08","publicationTypes":"Journal Article","fieldsOfStudy":null,"isOpenAccess":false,"openAccessPdf":"https://www.ncbi.nlm.nih.gov/pmc/articles/PMC11910312/pdf/","citationCount":"0","resultStr":null,"platform":"Semanticscholar","paperid":null,"PeriodicalName":"Malaysian Family Physician","FirstCategoryId":"1085","ListUrlMain":"https://doi.org/10.51866/cr.748","RegionNum":0,"RegionCategory":null,"ArticlePicture":[],"TitleCN":null,"AbstractTextCN":null,"PMCID":null,"EPubDate":"2025/1/1 0:00:00","PubModel":"eCollection","JCR":"Q3","JCRName":"Nursing","Score":null,"Total":0}
引用次数: 0

Abstract

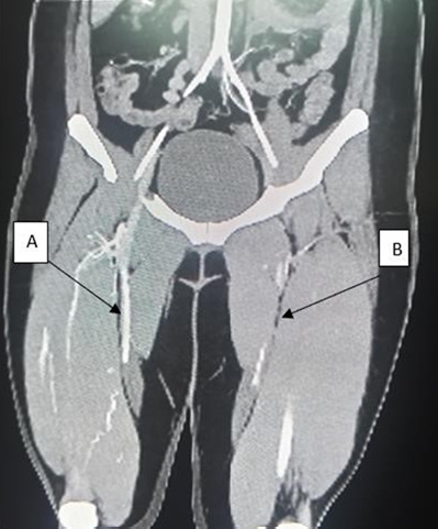
Ergotism is a rare but potentially serious condition characterised by peripheral vasospasm. Its diagnosis is challenging because the presentation varies depending on the type and location of the affected blood vessels. Ergot alkaloids, including ergotamine, are metabolised by the cytochrome P450 isoenzyme CYP3A4. Concurrent use of ergotamine with CYP3A4 inhibitors can significantly increase the risk of ergotism. However, this potentially dangerous drug interaction is often underestimated in general practice. Herein, we report the case of a middle- aged woman with a history of migraine headaches, who was treated with Cafergot (ergotamine tartrate and caffeine). After the initiation of human immunodeficiency virus therapy with Kaletra (lopinavir/ritonavir), she experienced recurrent episodes of bluish discoloration, livedo reticularis and tingling sensation in her upper and lower extremities over several years. Despite multiple hospital visits and extensive diagnostic workups, including normal blood investigations and biopsy, the correct diagnosis of ergotism-induced vasospasm due to ritonavir-ergotamine interaction was delayed. This diagnosis was supported by CT angiography, which demonstrated vasospasm of the femoral arteries. The patient's symptoms significantly resolved following ergotamine discontinuation. Ergotism is a self-limiting condition that can be fatal if not recognised and treated promptly. This case highlights the importance of awareness, particularly in primary care settings, on the potential drug interaction, principally in patients receiving drugs that inhibit CYP3A4, such as protease inhibitors. Clinicians should have a low threshold for suspecting ergotism in patients with recurrent or unexplained limb pain, numbness and skin changes, especially if they have a history of ergot alkaloid use.

Abstract Image

Abstract Image

潜在致命的相互作用:偏头痛、人类免疫缺陷病毒和麦角症——一份初级保健病例报告。
麦角症是一种罕见但潜在的严重疾病,其特征是周围血管痉挛。其诊断是具有挑战性的,因为其表现取决于受影响血管的类型和位置。麦角生物碱,包括麦角胺,由细胞色素P450同工酶CYP3A4代谢。麦角胺与CYP3A4抑制剂同时使用可显著增加麦角胺中毒的风险。然而,这种潜在危险的药物相互作用在一般实践中经常被低估。在此,我们报告一位有偏头痛病史的中年妇女,她接受了Cafergot(酒石酸麦角胺和咖啡因)的治疗。在开始用Kaletra(洛匹那韦/利托那韦)治疗人类免疫缺陷病毒后,她经历了多年来反复发作的蓝色变色,网状斑点和上肢和下肢刺痛感。尽管多次去医院就诊并进行了广泛的诊断检查,包括正常的血液检查和活检,但由于利托那韦-麦角胺相互作用导致的自噬诱导的血管痉挛的正确诊断被推迟了。该诊断得到了CT血管造影的支持,显示股动脉血管痉挛。停用麦角胺后,患者症状明显缓解。麦角症是一种自限性疾病,如果不及时发现和治疗,可能是致命的。该病例强调了意识的重要性,特别是在初级保健机构,对潜在的药物相互作用,主要是在患者接受药物抑制CYP3A4,如蛋白酶抑制剂。临床医生对于反复出现或无法解释的肢体疼痛、麻木和皮肤变化的患者,尤其是有麦角生物碱使用史的患者,应该有一个低阈值来怀疑麦角中毒。
本文章由计算机程序翻译,如有差异,请以英文原文为准。
求助全文
约1分钟内获得全文 求助全文
来源期刊
Malaysian Family Physician
Malaysian Family Physician Medicine-Family Practice
CiteScore
1.20
自引率
0.00%
发文量
41
审稿时长
24 weeks
期刊介绍: The Malaysian Family Physician is the official journal of the Academy of Family Physicians of Malaysia. It is published three times a year. Circulation: The journal is distributed free of charge to all members of the Academy of Family Physicians of Malaysia. Complimentary copies are also sent to other organizations that are members of the World Organization of Family Doctors (WONCA).
×
引用
GB/T 7714-2015
复制
MLA
复制
APA
复制
导出至
BibTeX EndNote RefMan NoteFirst NoteExpress
×
提示
您的信息不完整,为了账户安全,请先补充。
现在去补充
×
提示
您因"违规操作"
具体请查看互助需知
我知道了
×
提示
确定
请完成安全验证×
copy
已复制链接
快去分享给好友吧!
我知道了
右上角分享
点击右上角分享
0
联系我们:info@booksci.cn Book学术提供免费学术资源搜索服务,方便国内外学者检索中英文文献。致力于提供最便捷和优质的服务体验。 Copyright © 2023 布克学术 All rights reserved.
京ICP备2023020795号-1
ghs 京公网安备 11010802042870号
Book学术文献互助
Book学术文献互助群
群 号:604180095
Book学术官方微信