BRAF p.V600E-Negative Langerhans Cell Histiocytosis Associated with a Periapical Cyst: A Case Presentation with Broad Review of the Differential Diagnosis and Disease Pathophysiology.

IF 4.1 Q2 PATHOLOGY
Anneze Odendaal, Ashwin Kassan, Leon Janse van Rensburg, Amir H Afrogheh
{"title":"BRAF p.V600E-Negative Langerhans Cell Histiocytosis Associated with a Periapical Cyst: A Case Presentation with Broad Review of the Differential Diagnosis and Disease Pathophysiology.","authors":"Anneze Odendaal, Ashwin Kassan, Leon Janse van Rensburg, Amir H Afrogheh","doi":"10.1007/s12105-025-01763-5","DOIUrl":null,"url":null,"abstract":"<p><strong>Background: </strong>Langerhans cell histiocytosis (LCH) rarely presents in the oral and maxillofacial region, and while isolated and small collections of Langerhans-type cells have been found in periapical cysts, there have been no reported cases of LCH arising in periapical cysts.</p><p><strong>Methods: </strong>A 58-year-old female presented with isolated erythematous dry skin lesions and a radiolucent lesion of the anterior maxilla. Microscopic examination of the enucleation specimen revealed a periapical cyst with large collections of atypical cells with grooved folded nuclei with eosinophils consistent with LCH. Immunohistochemistry (IHC) was performed to confirm the diagnosis. BRAF mutation status was evaluated with the BRAF p. V600E antibody and the automated real-time PCR-based Idylla™ assay, capable of qualitative detection of 5 mutations in codon 600 of the BRAF gene.</p><p><strong>Results: </strong>The LCH cells were positive for S100, CD1a, and Langerin (CD 207) and negative for BRAF p. V600E mutations. Ki-67 was 45%.</p><p><strong>Conclusion: </strong>The association of LCH with a periapical cyst could be explained by the active surveillance and migration of neoplastic Langerhans-type cells in blood to the site of apical chronic inflammation, in a patient with LCH. Careful attention to morphologic features in conjunction with Langerin IHC, helps exclude other closely-related dendritic tumours. BRAF p. V600E testing, ideally with real-time PCR assays, can help identify patients who may benefit from BRAF inhibitor therapies. New generations of sequencing that cover a large panel of genetic alterations beyond the frequent BRAF p. V600E mutations (e.g. rare in-frame BRAF deletions), could provide valuable information about the extent, prognosis and treatment of LCH patients.</p>","PeriodicalId":47972,"journal":{"name":"Head & Neck Pathology","volume":"19 1","pages":"33"},"PeriodicalIF":4.1000,"publicationDate":"2025-03-15","publicationTypes":"Journal Article","fieldsOfStudy":null,"isOpenAccess":false,"openAccessPdf":"https://www.ncbi.nlm.nih.gov/pmc/articles/PMC11910447/pdf/","citationCount":"0","resultStr":null,"platform":"Semanticscholar","paperid":null,"PeriodicalName":"Head & Neck Pathology","FirstCategoryId":"1085","ListUrlMain":"https://doi.org/10.1007/s12105-025-01763-5","RegionNum":0,"RegionCategory":null,"ArticlePicture":[],"TitleCN":null,"AbstractTextCN":null,"PMCID":null,"EPubDate":"","PubModel":"","JCR":"Q2","JCRName":"PATHOLOGY","Score":null,"Total":0}
引用次数: 0

Abstract

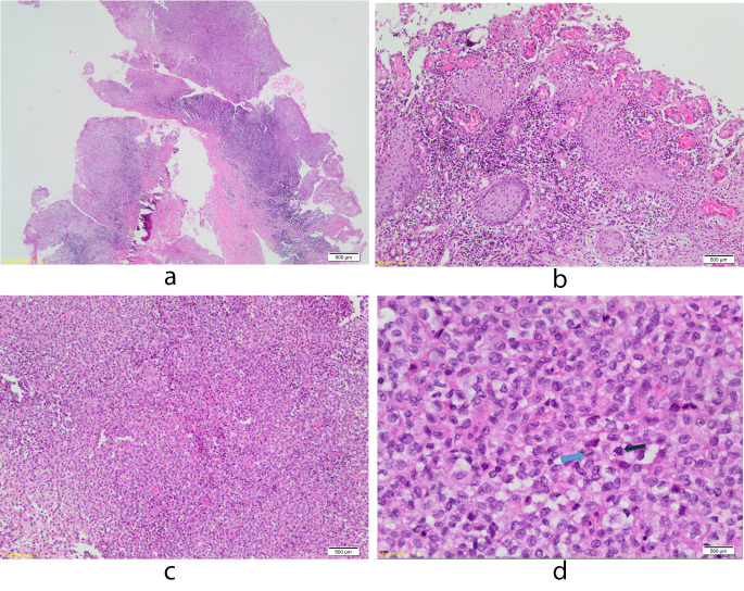
Background: Langerhans cell histiocytosis (LCH) rarely presents in the oral and maxillofacial region, and while isolated and small collections of Langerhans-type cells have been found in periapical cysts, there have been no reported cases of LCH arising in periapical cysts.

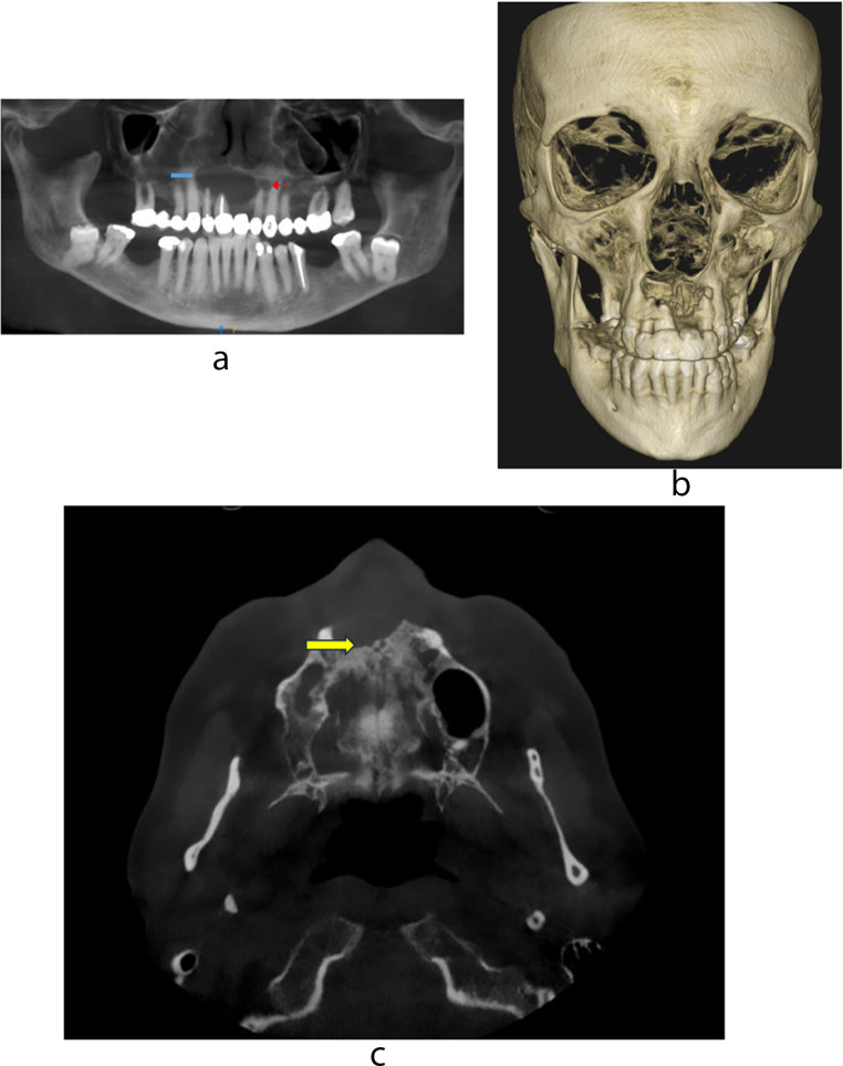
Methods: A 58-year-old female presented with isolated erythematous dry skin lesions and a radiolucent lesion of the anterior maxilla. Microscopic examination of the enucleation specimen revealed a periapical cyst with large collections of atypical cells with grooved folded nuclei with eosinophils consistent with LCH. Immunohistochemistry (IHC) was performed to confirm the diagnosis. BRAF mutation status was evaluated with the BRAF p. V600E antibody and the automated real-time PCR-based Idylla™ assay, capable of qualitative detection of 5 mutations in codon 600 of the BRAF gene.

Results: The LCH cells were positive for S100, CD1a, and Langerin (CD 207) and negative for BRAF p. V600E mutations. Ki-67 was 45%.

Conclusion: The association of LCH with a periapical cyst could be explained by the active surveillance and migration of neoplastic Langerhans-type cells in blood to the site of apical chronic inflammation, in a patient with LCH. Careful attention to morphologic features in conjunction with Langerin IHC, helps exclude other closely-related dendritic tumours. BRAF p. V600E testing, ideally with real-time PCR assays, can help identify patients who may benefit from BRAF inhibitor therapies. New generations of sequencing that cover a large panel of genetic alterations beyond the frequent BRAF p. V600E mutations (e.g. rare in-frame BRAF deletions), could provide valuable information about the extent, prognosis and treatment of LCH patients.

Abstract Image

Abstract Image

Abstract Image

BRAF p. v600e阴性朗格汉斯细胞组织细胞增多症与根尖周囊肿相关:一例病例的鉴别诊断和疾病病理生理学综述
背景:朗格汉斯细胞组织细胞增生症(LCH)很少出现在口腔和颌面区域,虽然在根尖周囊肿中发现了孤立的和小群的朗格汉斯型细胞,但在根尖周囊肿中出现LCH的病例尚未见报道。方法:一名58岁的女性,表现为孤立的红斑性干性皮肤病变和前上颌的放射性病变。去核标本的显微镜检查显示,尖周囊肿有大量非典型细胞,细胞核呈沟槽状折叠,嗜酸性粒细胞与LCH一致。采用免疫组化(IHC)证实诊断。使用BRAF p. V600E抗体和基于自动实时pcr的Idylla™检测来评估BRAF突变状态,能够定性检测BRAF基因密码子600的5个突变。结果:LCH细胞S100、CD1a和Langerin (cd207)阳性,BRAF p. V600E突变阴性。Ki-67为45%。结论:LCH与根尖周囊肿的关系可以通过LCH患者血液中肿瘤朗格汉斯型细胞向根尖慢性炎症部位的主动监测和迁移来解释。仔细注意形态学特征与Langerin IHC相结合,有助于排除其他密切相关的树突状肿瘤。BRAF p. V600E检测,理想情况下采用实时PCR检测,可以帮助识别可能受益于BRAF抑制剂治疗的患者。新一代的测序涵盖了除常见的BRAF p. V600E突变(例如罕见的框架内BRAF缺失)之外的大量遗传改变,可以提供有关LCH患者的程度、预后和治疗的有价值信息。
本文章由计算机程序翻译,如有差异,请以英文原文为准。
求助全文
约1分钟内获得全文 求助全文
来源期刊
CiteScore
5.70
自引率
9.50%
发文量
99
期刊介绍: Head & Neck Pathology presents scholarly papers, reviews and symposia that cover the spectrum of human surgical pathology within the anatomic zones of the oral cavity, sinonasal tract, larynx, hypopharynx, salivary gland, ear and temporal bone, and neck. The journal publishes rapid developments in new diagnostic criteria, intraoperative consultation, immunohistochemical studies, molecular techniques, genetic analyses, diagnostic aids, experimental pathology, cytology, radiographic imaging, and application of uniform terminology to allow practitioners to continue to maintain and expand their knowledge in the subspecialty of head and neck pathology. Coverage of practical application to daily clinical practice is supported with proceedings and symposia from international societies and academies devoted to this field. Single-blind peer review The journal follows a single-blind review procedure, where the reviewers are aware of the names and affiliations of the authors, but the reviewer reports provided to authors are anonymous. Single-blind peer review is the traditional model of peer review that many reviewers are comfortable with, and it facilitates a dispassionate critique of a manuscript.
×
引用
GB/T 7714-2015
复制
MLA
复制
APA
复制
导出至
BibTeX EndNote RefMan NoteFirst NoteExpress
×
提示
您的信息不完整,为了账户安全,请先补充。
现在去补充
×
提示
您因"违规操作"
具体请查看互助需知
我知道了
×
提示
确定
请完成安全验证×
copy
已复制链接
快去分享给好友吧!
我知道了
右上角分享
点击右上角分享
0
联系我们:info@booksci.cn Book学术提供免费学术资源搜索服务,方便国内外学者检索中英文文献。致力于提供最便捷和优质的服务体验。 Copyright © 2023 布克学术 All rights reserved.
京ICP备2023020795号-1
ghs 京公网安备 11010802042870号
Book学术文献互助
Book学术文献互助群
群 号:604180095
Book学术官方微信