Role of photon-counting computed tomography in pediatric cardiovascular imaging.

Arosh S Perera Molligoda Arachchige, Yash Verma
{"title":"Role of photon-counting computed tomography in pediatric cardiovascular imaging.","authors":"Arosh S Perera Molligoda Arachchige, Yash Verma","doi":"10.5409/wjcp.v14.i1.99288","DOIUrl":null,"url":null,"abstract":"<p><p>Photon-counting computed tomography (PCCT) represents a significant advancement in pediatric cardiovascular imaging. Traditional CT systems employ energy-integrating detectors that convert X-ray photons into visible light, whereas PCCT utilizes photon-counting detectors that directly transform X-ray photons into electric signals. This direct conversion allows photon-counting detectors to sort photons into discrete energy levels, thereby enhancing image quality through superior noise reduction, improved spatial and contrast resolution, and reduced artifacts. In pediatric applications, PCCT offers substantial benefits, including lower radiation doses, which may help reduce the risk of malignancy in pediatric patients, with perhaps greater potential to benefit those with repeated exposure from a young age. Enhanced spatial resolution facilitates better visualization of small structures, vital for diagnosing congenital heart defects. Additionally, PCCT's spectral capabilities improve tissue characterization and enable the creation of virtual monoenergetic images, which enhance soft-tissue contrast and potentially reduce contrast media doses. Initial clinical results indicate that PCCT provides superior image quality and diagnostic accuracy compared to conventional CT, particularly in challenging pediatric cardiovascular cases. As PCCT technology matures, further research and standardized protocols will be essential to fully integrate it into pediatric imaging practices, ensuring optimized diagnostic outcomes and patient safety.</p>","PeriodicalId":75338,"journal":{"name":"World journal of clinical pediatrics","volume":"14 1","pages":"99288"},"PeriodicalIF":0.0000,"publicationDate":"2025-03-09","publicationTypes":"Journal Article","fieldsOfStudy":null,"isOpenAccess":false,"openAccessPdf":"https://www.ncbi.nlm.nih.gov/pmc/articles/PMC11686577/pdf/","citationCount":"0","resultStr":null,"platform":"Semanticscholar","paperid":null,"PeriodicalName":"World journal of clinical pediatrics","FirstCategoryId":"1085","ListUrlMain":"https://doi.org/10.5409/wjcp.v14.i1.99288","RegionNum":0,"RegionCategory":null,"ArticlePicture":[],"TitleCN":null,"AbstractTextCN":null,"PMCID":null,"EPubDate":"","PubModel":"","JCR":"","JCRName":"","Score":null,"Total":0}
引用次数: 0

Abstract

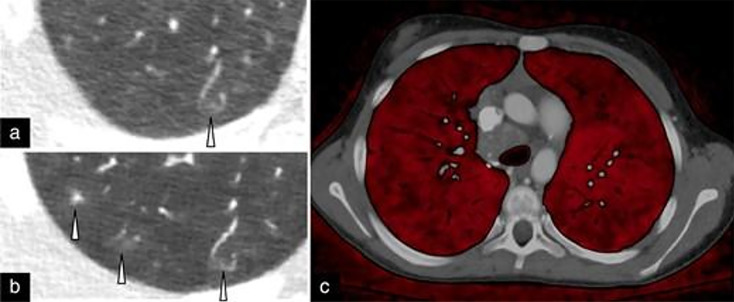
Photon-counting computed tomography (PCCT) represents a significant advancement in pediatric cardiovascular imaging. Traditional CT systems employ energy-integrating detectors that convert X-ray photons into visible light, whereas PCCT utilizes photon-counting detectors that directly transform X-ray photons into electric signals. This direct conversion allows photon-counting detectors to sort photons into discrete energy levels, thereby enhancing image quality through superior noise reduction, improved spatial and contrast resolution, and reduced artifacts. In pediatric applications, PCCT offers substantial benefits, including lower radiation doses, which may help reduce the risk of malignancy in pediatric patients, with perhaps greater potential to benefit those with repeated exposure from a young age. Enhanced spatial resolution facilitates better visualization of small structures, vital for diagnosing congenital heart defects. Additionally, PCCT's spectral capabilities improve tissue characterization and enable the creation of virtual monoenergetic images, which enhance soft-tissue contrast and potentially reduce contrast media doses. Initial clinical results indicate that PCCT provides superior image quality and diagnostic accuracy compared to conventional CT, particularly in challenging pediatric cardiovascular cases. As PCCT technology matures, further research and standardized protocols will be essential to fully integrate it into pediatric imaging practices, ensuring optimized diagnostic outcomes and patient safety.

Abstract Image

Abstract Image

Abstract Image

光子计数计算机断层扫描在儿童心血管成像中的作用。
光子计数计算机断层扫描(PCCT)代表了儿科心血管成像的重大进展。传统CT系统使用能量集成探测器将x射线光子转换为可见光,而PCCT使用光子计数探测器直接将x射线光子转换为电信号。这种直接转换允许光子计数探测器将光子分类到离散的能级,从而通过卓越的降噪、改进的空间和对比度分辨率以及减少伪影来提高图像质量。在儿科应用中,PCCT提供了实质性的好处,包括较低的辐射剂量,这可能有助于降低儿科患者恶性肿瘤的风险,可能更有可能使那些从小就反复接触的患者受益。增强的空间分辨率有助于更好地可视化小结构,这对诊断先天性心脏缺陷至关重要。此外,PCCT的光谱能力改善了组织表征,能够创建虚拟单能图像,从而增强软组织对比度,并可能减少造影剂剂量。初步临床结果表明,与传统CT相比,PCCT提供了更好的图像质量和诊断准确性,特别是在具有挑战性的儿科心血管病例中。随着PCCT技术的成熟,进一步的研究和标准化的协议对于将其完全整合到儿科成像实践中至关重要,以确保优化的诊断结果和患者安全。
本文章由计算机程序翻译,如有差异,请以英文原文为准。
求助全文
约1分钟内获得全文 求助全文
来源期刊
CiteScore
3.20
自引率
0.00%
发文量
0
×
引用
GB/T 7714-2015
复制
MLA
复制
APA
复制
导出至
BibTeX EndNote RefMan NoteFirst NoteExpress
×
提示
您的信息不完整,为了账户安全,请先补充。
现在去补充
×
提示
您因"违规操作"
具体请查看互助需知
我知道了
×
提示
确定
请完成安全验证×
copy
已复制链接
快去分享给好友吧!
我知道了
右上角分享
点击右上角分享
0
联系我们:info@booksci.cn Book学术提供免费学术资源搜索服务,方便国内外学者检索中英文文献。致力于提供最便捷和优质的服务体验。 Copyright © 2023 布克学术 All rights reserved.
京ICP备2023020795号-1
ghs 京公网安备 11010802042870号
Book学术文献互助
Book学术文献互助群
群 号:604180095
Book学术官方微信